Skip to main content

Intron-Binding Protein Of 160 KDa Antibody - Azide and BSA Free

Novus Biologicals, part of Bio-Techne | Catalog # NBP3-03714

Novus Biologicals, part of Bio-Techne
Catalog #
Availability
Size / Price
Qty
Loading...
NBP3-03714-100ul
NBP3-03714-20ul

Key Product Details

Species Reactivity

Human, Mouse, Rat

Applications

Immunohistochemistry, Immunohistochemistry-Paraffin, Western Blot

Label

Unconjugated

Antibody Source

Polyclonal Rabbit IgG

Format

Azide and BSA Free

Concentration

Please see the vial label for concentration. If unlisted please contact technical services.

Product Specifications

Immunogen

Recombinant fusion protein containing a sequence corresponding to amino acids 400-700 of human Intron-Binding Protein Of 160 KDa (NP_055506.1). KEFLLELLVSRHERRISQIQQLNQMPLYPTEKIIWDENIVPTEYYSGEGCLALPKLNLQFLTLHDYLLRNFNLFRLESTYEIRQDIEDSVSRMKPWQSEYGGVVFGGWARMAQPIVAFTVVEVAKPNIGENWPTRVRADVTINLNVRDHIKDEWEGLRKHDVCFLITVRPTKPYGTKFDRRRPFIEQVGLVYVRGCEIQGMLDDKGRVIEDGPEPRPNLRGESRTFRVFLDPNQYQQDMTNTIQNGAEDVYETFNIIMRRKPKENNFKAVLETIRNLMNTDCVVPDWLHDIILGYGDPSSA

Clonality

Polyclonal

Host

Rabbit

Isotype

IgG

Theoretical MW

171 kDa.
Disclaimer note: The observed molecular weight of the protein may vary from the listed predicted molecular weight due to post translational modifications, post translation cleavages, relative charges, and other experimental factors.

Description

Novus Biologicals Rabbit Intron-Binding Protein Of 160 KDa Antibody - Azide and BSA Free (NBP3-03714) is a polyclonal antibody validated for use in IHC and WB. All Novus Biologicals antibodies are covered by our 100% guarantee.

Scientific Data Images for Intron-Binding Protein Of 160 KDa Antibody - Azide and BSA Free

Western Blot: Intron-Binding Protein Of 160 KDa AntibodyAzide and BSA Free [NBP3-03714]

Western Blot: Intron-Binding Protein Of 160 KDa AntibodyAzide and BSA Free [NBP3-03714]

Western Blot: Intron-Binding Protein Of 160 KDa Antibody [NBP3-03714] - Analysis of extracts of various cell lines, using Intron-Binding Protein Of 160 KDa antibody at 1:3000 dilution. Secondary antibody: HRP Goat Anti-Rabbit IgG (H+L) at 1:10000 dilution. Lysates/proteins: 25ug per lane. Blocking buffer: 3% nonfat dry milk in TBST.
Immunohistochemistry-Paraffin: Intron-Binding Protein Of 160 KDa Antibody - Azide and BSA Free [NBP3-03714]

Immunohistochemistry-Paraffin: Intron-Binding Protein Of 160 KDa Antibody - Azide and BSA Free [NBP3-03714]

Immunohistochemistry-Paraffin: Intron-Binding Protein Of 160 KDa Antibody [NBP3-03714] - Immunohistochemistry of paraffin-embedded rat spleen using Intron-Binding Protein Of 160 KDa antibody (NBP3-03714) at dilution of 1:100 (40x lens). Perform microwave antigen retrieval with 10 mM PBS buffer pH 7.2 before commencing with IHC staining protocol.
Immunohistochemistry-Paraffin: Intron-Binding Protein Of 160 KDa Antibody - Azide and BSA Free [NBP3-03714]

Immunohistochemistry-Paraffin: Intron-Binding Protein Of 160 KDa Antibody - Azide and BSA Free [NBP3-03714]

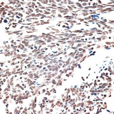
Immunohistochemistry-Paraffin: Intron-Binding Protein Of 160 KDa Antibody [NBP3-03714] - Paraffin-embedded human lung cancer using Intron-Binding Protein Of 160 KDa antibody at dilution of 1:100 (40x lens).

Applications for Intron-Binding Protein Of 160 KDa Antibody - Azide and BSA Free

Application
Recommended Usage

Immunohistochemistry

1:50-1:100

Western Blot

1:500-1:1000

Formulation, Preparation, and Storage

Purification

Affinity purified

Formulation

PBS (pH 7.3), 50% glycerol

Format

Azide and BSA Free

Preservative

0.01% Thimerosal

Concentration

Please see the vial label for concentration. If unlisted please contact technical services.

Shipping

The product is shipped with polar packs. Upon receipt, store it immediately at the temperature recommended below.

Stability & Storage

Store at -20C. Avoid freeze-thaw cycles.

Background: Intron-Binding Protein Of 160 KDa

Alternate Names

AQR, aquarius homolog (mouse), FSAP164, Functional Spliceosome-Associated Protein 164, IBP160, Intron-Binding Protein Aquarius

Gene Symbol

AQR

Additional Intron-Binding Protein Of 160 KDa Products

Product Documents for Intron-Binding Protein Of 160 KDa Antibody - Azide and BSA Free

Certificate of Analysis

To download a Certificate of Analysis, please enter a lot number in the search box below.

Product Specific Notices for Intron-Binding Protein Of 160 KDa Antibody - Azide and BSA Free

This product is for research use only and is not approved for use in humans or in clinical diagnosis. Primary Antibodies are guaranteed for 1 year from date of receipt.

Loading...
Loading...
Loading...
Loading...

⚠ WARNING: This product can expose you to chemicals including Methotrexate, which is known to the State of California to cause reproductive toxicity with developmental effects. For more information, go to www.P65Warnings.ca.gov