Skip to main content

Inhibin alpha Antibody (INHA/4266)

Novus Biologicals, part of Bio-Techne | Catalog # NBP3-07458

Novus Biologicals, part of Bio-Techne
Catalog #
Availability
Size / Price
Qty
Loading...
NBP3-07458-100ug
NBP3-07458-20ug

Key Product Details

Species Reactivity

Human

Applications

Immunohistochemistry-Paraffin

Label

Unconjugated

Antibody Source

Monoclonal Mouse IgG2A Clone # INHA/4266

Concentration

0.2 mg/ml

Product Specifications

Immunogen

A synthetic peptide (around aa73-96) of alpha-subunit of human Inhibin alpha protein (exact sequence is proprietary) (Uniprot: P05111 )

Localization

Nuclear and Cytoplasmic (secreted)

Marker

Gonadal Cell Marker

Clonality

Monoclonal

Host

Mouse

Isotype

IgG2A

Theoretical MW

47 kDa.
Disclaimer note: The observed molecular weight of the protein may vary from the listed predicted molecular weight due to post translational modifications, post translation cleavages, relative charges, and other experimental factors.

Description

200ug/ml of antibody purified from Bioreactor Concentrate by Protein A or G. Prepared in 1 mM PBS with 0.05% BSA & 0.05% azide. Also available WITHOUT BSA & azide at 1.0 mg/ml. (NBP3-08780)

Antibody with azide - store at 2 to 8C. Antibody without azide - store at -20 to -80 C.

Scientific Data Images for Inhibin alpha Antibody (INHA/4266)

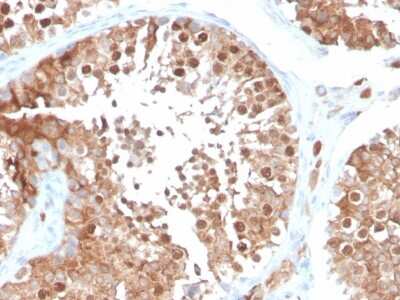
Immunohistochemistry-Paraffin: Inhibin alpha Antibody (INHA/4266) [NBP3-07458]

Immunohistochemistry-Paraffin: Inhibin alpha Antibody (INHA/4266) [NBP3-07458]

Immunohistochemistry-Paraffin: Inhibin alpha Antibody (INHA/4266) [NBP3-07458] - Formalin-fixed, paraffin-embedded human testis stained with Inhibin alpha Mouse Monoclonal Antibody (INHA/4266).
Immunohistochemistry-Paraffin: Inhibin alpha Antibody (INHA/4266) [NBP3-07458]

Immunohistochemistry-Paraffin: Inhibin alpha Antibody (INHA/4266) [NBP3-07458]

Immunohistochemistry-Paraffin: Inhibin alpha Antibody (INHA/4266) [NBP3-07458] - Formalin-fixed, paraffin-embedded human testis stained with Inhibin alpha Mouse Monoclonal Antibody (INHA/4266).

Applications for Inhibin alpha Antibody (INHA/4266)

Application
Recommended Usage

Immunohistochemistry-Paraffin

1-2 ug/ml
Application Notes
Immunohistochemistry (Formalin-fixed): 1-2ug/ml for 30 minutes at RT. Staining of formalin-fixed tissues requires heating tissue sections in 10mM Tris with 1mM EDTA, pH 9.0, for 45 min at 95C followed by cooling at RT for 20 minutes.
Optimal dilution for a specific application should be determined.

Formulation, Preparation, and Storage

Purification

Protein A or G purified

Formulation

1 mM PBS with 0.05% BSA

Preservative

0.05% Sodium Azide

Concentration

0.2 mg/ml

Shipping

The product is shipped with polar packs. Upon receipt, store it immediately at the temperature recommended below.

Stability & Storage

Store at 4C.

Background: Inhibin A

INHA(A-inhibin subunit precursor, inhibin alpha subunit ),also called inhibin(alpha) ,which is located on chromosome 2q33-q36. Inhibin is a gonadal protein that preferentially suppresses the secretion of pituitary follicle-stimulating hormone (FSH). Inhibin comprises of two subunits,Inhibin A and B. Inhibin has been shown to regulate gonadal stromal cell proliferation negatively and to have tumor suppressor activity. In addition, serum levels of inhibin have been shown to reflect the size of granulosa cell tumors and can therefore be used as a marker for primary as well as recurrent disease. In addition to their role in endocrine feedback in the reproductive sytem, inhibins subserve local regulatory roles in numerous extragonadal tissues, including brain, adrenal,bone marrow, placenta, and most notably anterior pituitary. Inhibin alpha subunit gene expression is down regulated in human prostate cancer, suggesting a tumor suppressive role.

Alternate Names

INHA, Inhibin A

Gene Symbol

INHA

UniProt

Additional Inhibin A Products

Product Documents for Inhibin alpha Antibody (INHA/4266)

Certificate of Analysis

To download a Certificate of Analysis, please enter a lot number in the search box below.

Product Specific Notices for Inhibin alpha Antibody (INHA/4266)

This product is for research use only and is not approved for use in humans or in clinical diagnosis. Primary Antibodies are guaranteed for 1 year from date of receipt.

Loading...
Loading...
Loading...
Loading...