Skip to main content

Influenza A H5N8 Hemagglutinin Antibody (HL1550) - Azide and BSA Free

Novus Biologicals, part of Bio-Techne | Catalog # NBP3-25375

Recombinant Monoclonal Antibody
Novus Biologicals, part of Bio-Techne
Catalog #
Availability
Size / Price
Qty
Loading...
NBP3-25375

Key Product Details

Species Reactivity

Virus

Applications

Immunohistochemistry, Immunohistochemistry-Paraffin, Western Blot

Label

Unconjugated

Antibody Source

Recombinant Monoclonal Rabbit IgG Clone # HL1550 expressed in HEK293

Format

Azide and BSA Free

Concentration

Concentrations vary lot to lot. See vial label for concentration. If unlisted please contact technical services.

Product Specifications

Immunogen

Recombinant protein encompassing a sequence within the center region of Influenza A virus H5N8 HA (Hemagglutinin)(A/Astrakhan/3212/2020)). The exact sequence is proprietary.

Reactivity Notes

Influenza A H5N8

Clonality

Monoclonal

Host

Rabbit

Isotype

IgG

Description

Novus Biologicals Rabbit Influenza A H5N8 Hemagglutinin Antibody (HL1550) - Azide and BSA Free (NBP3-25375) is a recombinant monoclonal antibody validated for use in IHC and WB. All Novus Biologicals antibodies are covered by our 100% guarantee.

Scientific Data Images for Influenza A H5N8 Hemagglutinin Antibody (HL1550) - Azide and BSA Free

Influenza A H5N8 Hemagglutinin Antibody (HL1550) - Azide and BSA Free

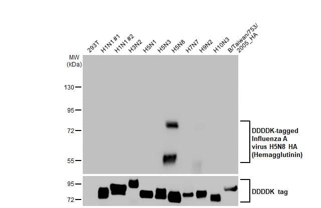
Western Blot: Influenza A H5N8 Hemagglutinin Antibody (HL1550) [NBP3-25375] -

Non-transfected and transfected 293T whole cell extracts were separated by 7.5% SDS-PAGE, and the membrane was blotted with Avian Influenza A virus H5N8 HA (Hemagglutinin) antibody [HL1550] (NBP3-25375) diluted at 1:5000. The HRP-conjugated anti-rabbit IgG antibody was used to detect the primary antibody.
Influenza A H5N8 Hemagglutinin Antibody (HL1550) - Azide and BSA Free

ELISA: Influenza A H5N8 Hemagglutinin Antibody (HL1550) [NBP3-25375] -

Indirect ELISA analysis was performed by coating the plate with recombinant HEK293 expressed, full-length Avian Influenza A virus HSN8 HA (Hemagglutinin) protein (63.49-0.99 nM). Coated protein was probed with Avian Influenza A virus H5N8 HA (Hemagglutinin) antibody [HL1550] (NBP3-25375) (1 ug/mL). Goat anti-rabbit IgG antibody (HRP) (1:10000) was used to detect the bound primary antibody.
Influenza A H5N8 Hemagglutinin Antibody (HL1550) - Azide and BSA Free

Western Blot: Influenza A H5N8 Hemagglutinin Antibody (HL1550) [NBP3-25375] -

Non-transfected (-) and transfected (+) 293T whole cell extracts (30 ug) were separated by 7.5% SDS-PAGE, and the membrane was blotted with Avian Influenza A virus H5N8 HA (Hemagglutinin) antibody [HL1550] (NBP3-25375) diluted at 1:100000. The HRP-conjugated anti-rabbit IgG antibody was used to detect the primary antibody.

Applications for Influenza A H5N8 Hemagglutinin Antibody (HL1550) - Azide and BSA Free

Application
Recommended Usage

Immunohistochemistry

Assay dependent

Immunohistochemistry-Paraffin

Assay dependent

Western Blot

Assay dependent

Formulation, Preparation, and Storage

Purification

Protein A purified

Formulation

PBS

Format

Azide and BSA Free

Preservative

No Preservative

Concentration

Concentrations vary lot to lot. See vial label for concentration. If unlisted please contact technical services.

Shipping

The product is shipped with polar packs. Upon receipt, store it immediately at the temperature recommended below.

Stability & Storage

Store at 4C short term. Aliquot and store at -20C long term. Avoid freeze-thaw cycles.

Background: Influenza A H5N8 Hemagglutinin

Alternate Names

Avian Influenza A H5N8 Hemagglutinin, Haemagglutinin, influenzavirus A, Influenza A H5N8 HA, Influenza A Haemagglutinin, Influenza A Hemagglutinin

Additional Influenza A H5N8 Hemagglutinin Products

Product Documents for Influenza A H5N8 Hemagglutinin Antibody (HL1550) - Azide and BSA Free

Certificate of Analysis

To download a Certificate of Analysis, please enter a lot number in the search box below.

Product Specific Notices for Influenza A H5N8 Hemagglutinin Antibody (HL1550) - Azide and BSA Free

This product is for research use only and is not approved for use in humans or in clinical diagnosis. Primary Antibodies are guaranteed for 1 year from date of receipt.

Loading...
Loading...
Loading...
Loading...