Skip to main content

IMPG2 Antibody - BSA Free

Novus Biologicals, part of Bio-Techne | Catalog # NBP2-54954

Novus Biologicals, part of Bio-Techne
Catalog #
Availability
Size / Price
Qty
Loading...
NBP2-54954-25ul
NBP2-54954

Key Product Details

Validated by

Independent Antibodies

Species Reactivity

Validated:

Human, Monkey

Cited:

Primate - Macaca mulatta (Rhesus Macaque)

Applications

Validated:

Immunohistochemistry, Immunohistochemistry-Paraffin, Immunohistochemistry-Frozen

Cited:

Immunohistochemistry-Frozen

Label

Unconjugated

Antibody Source

Polyclonal Rabbit IgG

Format

BSA Free

Concentration

Concentrations vary lot to lot. See vial label for concentration. If unlisted please contact technical services.

Product Specifications

Immunogen

This antibody was developed against a recombinant protein corresponding to the following amino acid sequence: FDGGLGSGSGQKVDLITWPWSETSSEKSAEPLSKPWLEDDDSLLPAEIEDKKLVLVDKMDSTDQISKHSKYEHDDRSTHFPEEEPLSGPAVPIFADTAAESASLTLPKHISEVPGVDDYSVTKA

Reactivity Notes

Use in Monkey reported in scientific literature (PMID:35024589) .

Clonality

Polyclonal

Host

Rabbit

Isotype

IgG

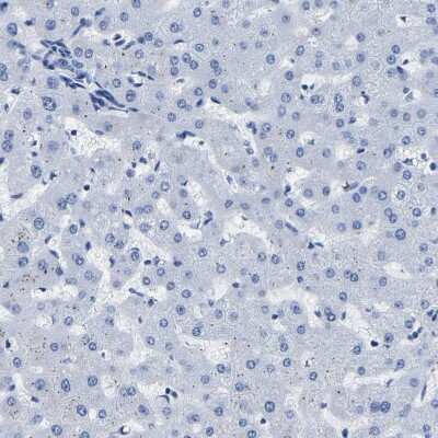
Scientific Data Images for IMPG2 Antibody - BSA Free

Immunohistochemistry-Paraffin: IMPG2 Antibody [NBP2-54954]

Immunohistochemistry-Paraffin: IMPG2 Antibody [NBP2-54954]

Immunohistochemistry-Paraffin: IMPG2 Antibody [NBP2-54954] - Staining of human eye, retina, kidney, liver and pancreas using Anti-IMPG2 antibody NBP2-54954 (A) shows similar protein distribution across tissues to independent antibody NBP2-58919 (B).
Immunohistochemistry-Paraffin: IMPG2 Antibody [NBP2-54954]

Immunohistochemistry-Paraffin: IMPG2 Antibody [NBP2-54954]

Immunohistochemistry-Paraffin: IMPG2 Antibody [NBP2-54954] - Staining of human pancreas shows no positivity in exocrine glandular cells as expected.
Immunohistochemistry-Paraffin: IMPG2 Antibody [NBP2-54954]

Immunohistochemistry-Paraffin: IMPG2 Antibody [NBP2-54954]

Immunohistochemistry-Paraffin: IMPG2 Antibody [NBP2-54954] - Staining of human eye retina shows strong cytoplasmic positivity in rodes and cones cells.

Applications for IMPG2 Antibody - BSA Free

Application
Recommended Usage

Immunohistochemistry

1:50 - 1:200

Immunohistochemistry-Frozen

Reported in scientific literature (PMID:35024589)

Immunohistochemistry-Paraffin

1:50 - 1:200
Application Notes
For IHC-Paraffin, HIER pH 6 retrieval is recommended..

Formulation, Preparation, and Storage

Purification

Affinity purified

Formulation

PBS (pH 7.2) and 40% Glycerol

Format

BSA Free

Preservative

0.02% Sodium Azide

Concentration

Concentrations vary lot to lot. See vial label for concentration. If unlisted please contact technical services.

Shipping

The product is shipped with polar packs. Upon receipt, store it immediately at the temperature recommended below.

Stability & Storage

Store at 4C short term. Aliquot and store at -20C long term. Avoid freeze-thaw cycles.

Background: IMPG2

Interphotoreceptor matrix proteoglycan-2 is part of an extracellular complex occupying the interface between photoreceptors and the retinal pigment epithelium in the fundus of the eye.[supplied by OMIM]

Alternate Names

interphotoreceptor matrix proteoglycan 2, interphotoreceptor matrix proteoglycan 200, Interphotoreceptor matrix proteoglycan of 200 kDa, IPM 200, IPM200SPACRCAN, RP56, Sialoprotein associated with cones and rods proteoglycan, Spacrcan

Gene Symbol

IMPG2

Additional IMPG2 Products

Product Documents for IMPG2 Antibody - BSA Free

Certificate of Analysis

To download a Certificate of Analysis, please enter a lot number in the search box below.

Product Specific Notices for IMPG2 Antibody - BSA Free

This product is for research use only and is not approved for use in humans or in clinical diagnosis. Primary Antibodies are guaranteed for 1 year from date of receipt.

Loading...
Loading...
Loading...
Loading...