IMP2/IGF2BP2 Antibody - BSA Free
Novus Biologicals, part of Bio-Techne | Catalog # NBP2-33992
Key Product Details
Species Reactivity
Human
Applications
Immunohistochemistry, Immunohistochemistry-Paraffin, Immunocytochemistry/ Immunofluorescence
Label
Unconjugated
Antibody Source
Polyclonal Rabbit IgG
Format
BSA Free
Concentration
Concentrations vary lot to lot. See vial label for concentration. If unlisted please contact technical services.
Product Specifications
Immunogen
This antibody was developed against a recombinant protein corresponding to amino acids: ITVKGTVEACASAEIEIMKKLREAFENDMLAVNTHSGYFSSLYPHHQFGPFPHHHSYPEQEIVNLFIPTQAV
Clonality
Polyclonal
Host
Rabbit
Isotype
IgG
Description
Novus Biologicals Rabbit IMP2/IGF2BP2 Antibody - BSA Free (NBP2-33992) is a polyclonal antibody validated for use in IHC and ICC/IF. All Novus Biologicals antibodies are covered by our 100% guarantee.
Scientific Data Images for IMP2/IGF2BP2 Antibody - BSA Free
Immunocytochemistry/ Immunofluorescence: IMP2/IGF2BP2 Antibody [NBP2-33992]
Immunocytochemistry/Immunofluorescence: IMP2/IGF2BP2 Antibody [NBP2-33992] - Immunofluorescent staining of human cell line A-431 shows localization to cytosol.Immunohistochemistry-Paraffin: IMP2/IGF2BP2 Antibody [NBP2-33992]
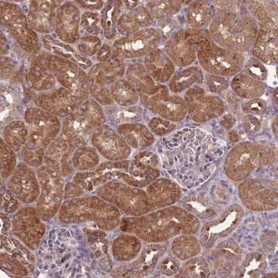
Immunohistochemistry-Paraffin: IMP2/IGF2BP2 Antibody [NBP2-33992] - Staining of human kidney shows strong cytoplasmic positivity in cells in tubules.Applications for IMP2/IGF2BP2 Antibody - BSA Free
Application
Recommended Usage
Immunocytochemistry/ Immunofluorescence
0.25-2 ug/ml
Immunohistochemistry
1:20 - 1:50
Immunohistochemistry-Paraffin
1:20 - 1:50
Application Notes
For IHC-Paraffin, HIER pH 6 retrieval is recommended. ICC/IF,Fixation Permeabilization: Use PFA/Triton X-100.
Formulation, Preparation, and Storage
Purification
Affinity purified
Formulation
PBS (pH 7.2) and 40% Glycerol
Format
BSA Free
Preservative
0.02% Sodium Azide
Concentration
Concentrations vary lot to lot. See vial label for concentration. If unlisted please contact technical services.
Shipping
The product is shipped with polar packs. Upon receipt, store it immediately at the temperature recommended below.
Stability & Storage
Store at 4C short term. Aliquot and store at -20C long term. Avoid freeze-thaw cycles.
Background: IMP2
Long Name
Insulin-like Growth Factor 2 mRNA Binding Protein 2
Alternate Names
IF2B2, IGF2BP2, VICKZ2
Gene Symbol
IGF2BP2
UniProt
Additional IMP2 Products
Product Documents for IMP2/IGF2BP2 Antibody - BSA Free
Product Specific Notices for IMP2/IGF2BP2 Antibody - BSA Free
This product is for research use only and is not approved for use in humans or in clinical diagnosis. Primary Antibodies are guaranteed for 1 year from date of receipt.
Loading...
Loading...
Loading...
Loading...