Skip to main content

IMMP2L Antibody - BSA Free

Novus Biologicals, part of Bio-Techne | Catalog # NBP3-46482

Novus Biologicals, part of Bio-Techne
Catalog #
Availability
Size / Price
Qty
Loading...
NBP3-46482

Key Product Details

Species Reactivity

Human, Mouse, Rat

Applications

Immunohistochemistry, Western Blot, ELISA

Label

Unconjugated

Antibody Source

Polyclonal Rabbit IgG

Format

BSA Free

Concentration

Please see the vial label for concentration. If unlisted please contact technical services.

Product Specifications

Immunogen

IMP2 inner mitochondrial membrane peptidase-like. (Uniprot# Q96T52)

Clonality

Polyclonal

Host

Rabbit

Isotype

IgG

Theoretical MW

12 kDa.
Disclaimer note: The observed molecular weight of the protein may vary from the listed predicted molecular weight due to post translational modifications, post translation cleavages, relative charges, and other experimental factors.

Description

Novus Biologicals Rabbit IMMP2L Antibody - BSA Free (NBP3-46482) is a polyclonal antibody validated for use in IHC, WB and ELISA. All Novus Biologicals antibodies are covered by our 100% guarantee.

Scientific Data Images for IMMP2L Antibody - BSA Free

IMMP2L Antibody - BSA Free

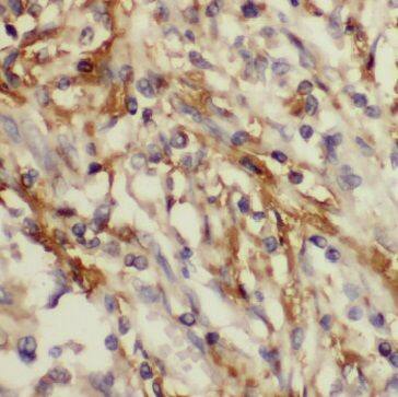
Immunohistochemistry: IMMP2L Antibody - BSA Free [NBP3-46482] -

Immunohistochemistry: IMMP2L Antibody - BSA Free [NBP3-46482] - Immunohistochemistry of paraffin-embedded human lung cancer using (IMMP2L antibody) at dilution of 1:100
IMMP2L Antibody - BSA Free

Western Blot: IMMP2L Antibody - BSA Free [NBP3-46482] -

Western Blot: IMMP2L Antibody - BSA Free [NBP3-46482] - Human kidney tissue were subjected to SDS PAGE followed by western blot with (IMMP2L antibody) at dilution of 1:500

Applications for IMMP2L Antibody - BSA Free

Application
Recommended Usage

Immunohistochemistry

1:20-1:200

Western Blot

1:500-1:2000

Formulation, Preparation, and Storage

Purification

Immunogen affinity purified

Formulation

PBS, 50% Glycerol, pH (7.3)

Format

BSA Free

Preservative

0.02% Sodium Azide

Concentration

Please see the vial label for concentration. If unlisted please contact technical services.

Shipping

The product is shipped with polar packs. Upon receipt, store it immediately at the temperature recommended below.

Stability & Storage

Store at -20C. Avoid freeze-thaw cycles.

Background: IMMP2L

IMMP2L is a gene that codes for a protein whose function is to catalyze the removal of transit peptides that are required in order to target protein from the mitochondrial matrix into the inter-membrane space in all tissues except the liver and lung. IMMP2L has a length of 175 amino acids and a weight of approximately 20 kDa, and it has a shorter isoform comprised of 110 amino acids with a weight of approximately 12 kDa. Current studies are being done on diseases and disorders related to this gene including Tourette syndrome and malaria. IMMP2L has also been shown to have interactions with ALDH1B1, GPX4, GUF1, HACL1, and IDO2 in pathways such as the protein export pathway.

Alternate Names

EC 3.4.21, EC 3.4.21.-, IMP2 inner mitochondrial membrane peptidase-like (S. cerevisiae), IMP2 inner mitochondrial membrane protease-like (S. cerevisiae), IMP2inner mitochondrial membrane peptidase 2 like, IMP2-LIKE, IMP2-like protein, mitochondrial inner membrane protease subunit 2

Gene Symbol

IMMP2L

Additional IMMP2L Products

Product Documents for IMMP2L Antibody - BSA Free

Certificate of Analysis

To download a Certificate of Analysis, please enter a lot number in the search box below.

Product Specific Notices for IMMP2L Antibody - BSA Free

This product is for research use only and is not approved for use in humans or in clinical diagnosis. Primary Antibodies are guaranteed for 1 year from date of receipt.

Loading...
Loading...
Loading...
Loading...