IFT20 Antibody - Azide and BSA Free
Novus Biologicals, part of Bio-Techne | Catalog # NBP2-99594
Conjugate
Catalog #
Key Product Details
Species Reactivity
Human
Applications
Immunohistochemistry-Paraffin
Label
Unconjugated
Antibody Source
Polyclonal Rabbit IgG
Format
Azide and BSA Free
Concentration
Please see the vial label for concentration. If unlisted please contact technical services.
Product Specifications
Immunogen
Produced in rabbits immunized with a synthetic peptide corresponding to the center region of the Human IFT20.
Clonality
Polyclonal
Host
Rabbit
Isotype
IgG
Description
This antibody can be stored at 2C to 8C for one month without detectable loss of activity. Antibody products are stable for twelve months from date of receipt when stored at -20C to -80C. Avoid repeated freeze-thaw cycles.
Scientific Data Images for IFT20 Antibody - Azide and BSA Free
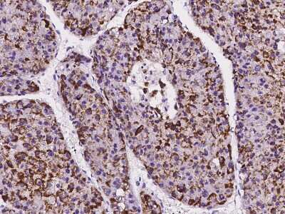
Immunohistochemistry-Paraffin: IFT20 Antibody [NBP2-99594]
Immunohistochemistry-Paraffin: IFT20 Antibody [NBP2-99594] - Immunochemical staining of human IFT20 in human adrenal gland with rabbit polyclonal antibody at 1:1000 dilution, formalin-fixed paraffin embedded sections.Immunohistochemistry-Paraffin: IFT20 Antibody [NBP2-99594]
Immunohistochemistry-Paraffin: IFT20 Antibody [NBP2-99594] - Immunochemical staining of human IFT20 in human hepatoma with rabbit polyclonal antibody at 1:1000 dilution, formalin-fixed paraffin embedded sections.Applications for IFT20 Antibody - Azide and BSA Free
Application
Recommended Usage
Immunohistochemistry-Paraffin
1:500-1:2000
Formulation, Preparation, and Storage
Purification
Antigen and protein A Affinity-purified
Formulation
0.2 um filtered solution in PBS
Format
Azide and BSA Free
Preservative
No Preservative
Concentration
Please see the vial label for concentration. If unlisted please contact technical services.
Shipping
The product is shipped with polar packs. Upon receipt, store it immediately at the temperature recommended below.
Stability & Storage
Store at 4C short term. Aliquot and store at -20C long term. Avoid freeze-thaw cycles.
Background: IFT20
Alternate Names
hIFT20, intraflagellar transport 20 homolog (Chlamydomonas), intraflagellar transport protein 20 homolog, intraflagellar transport protein IFT20
Gene Symbol
IFT20
Additional IFT20 Products
Product Documents for IFT20 Antibody - Azide and BSA Free
Product Specific Notices for IFT20 Antibody - Azide and BSA Free
This product is for research use only and is not approved for use in humans or in clinical diagnosis. Primary Antibodies are guaranteed for 1 year from date of receipt.
Loading...
Loading...
Loading...
Loading...