IDH2 Antibody - BSA Free
Novus Biologicals, part of Bio-Techne | Catalog # NBP3-29996
Key Product Details
Species Reactivity
Human, Mouse
Applications
Immunohistochemistry, Western Blot, Immunocytochemistry/ Immunofluorescence, Immunoprecipitation
Label
Unconjugated
Antibody Source
Polyclonal Rabbit IgG
Format
BSA Free
Concentration
Please see the vial label for concentration. If unlisted please contact technical services.
Product Specifications
Immunogen
Between 402 and 452
Clonality
Polyclonal
Host
Rabbit
Isotype
IgG
Description
Novus Biologicals Rabbit IDH2 Antibody - BSA Free (NBP3-29996) is a polyclonal antibody validated for use in IHC, WB, ICC/IF and IP. All Novus Biologicals antibodies are covered by our 100% guarantee.
Scientific Data Images for IDH2 Antibody - BSA Free
Immunocytochemistry/ Immunofluorescence;IDH2 Antibody[NBP3-29974]
Immunocytochemistry/ Immunofluorescence;IDH2 Antibody[NBP3-29974]Detection of human IDH2 by immunocytochemistry. Sample: Formaldehyde-fixed asynchronous HeLa cells. Antibody: Affinity purified rabbit anti-IDH2 used at a dilution of 1:1,000 . Detection: Red-fluorescent goat anti-rabbit IgG-heavy and light chain cross-adsorbed Antibody DyLight® 594 Conjugated used at a dilution of 1:100.Immunohistochemistry;IDH2 Antibody[NBP3-29975]
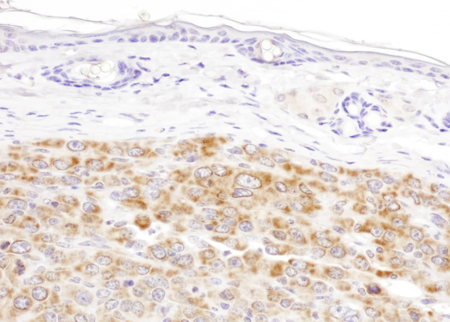
Immunohistochemistry;IDH2 Antibody[NBP3-29975]Detection of mouse IDH2 by immunohistochemistry. Samples: FFPE sections of mouse renal cell carcinoma. Antibody: Affinity purified rabbit anti-IDH2 used at a dilution of 1:1,000 . Detection: DABImmunohistochemistry;IDH2 Antibody[NBP3-29996]
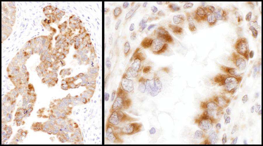
Immunohistochemistry;IDH2 Antibody[NBP3-29996]Detection of human IDH2 by immunohistochemistry. Samples: FFPE sections of human ovarian carcinoma and lung cancer . Antibody: Affinity purified rabbit anti-IDH2 used at a dilution of 1:1,000 . Detection: DABApplications for IDH2 Antibody - BSA Free
Application
Recommended Usage
Immunocytochemistry/ Immunofluorescence
Optimal dilutions of this antibody should be experimentally determined.
Immunohistochemistry
Optimal dilutions of this antibody should be experimentally determined.
Immunoprecipitation
Optimal dilutions of this antibody should be experimentally determined.
Western Blot
Optimal dilutions of this antibody should be experimentally determined.
Formulation, Preparation, and Storage
Purification
Affinity purified
Formulation
Tris-citrate/phosphate buffer, pH 7 to 8
Format
BSA Free
Preservative
0.09% Sodium Azide
Concentration
Please see the vial label for concentration. If unlisted please contact technical services.
Shipping
The product is shipped with polar packs. Upon receipt, store it immediately at the temperature recommended below.
Stability & Storage
Store at 4C. Do not freeze.
Background: IDH2
Alternate Names
D2HGA2, EC 1.1.1.42, ICD-M, IDH, IDHM, IDP, IDPM, isocitrate dehydrogenase [NADP], mitochondrial, isocitrate dehydrogenase 2 (NADP+), mitochondrial, mNADP-IDH, NADP(+)-specific ICDH, Oxalosuccinate decarboxylase
Gene Symbol
IDH2
Additional IDH2 Products
Product Specific Notices for IDH2 Antibody - BSA Free
This product is for research use only and is not approved for use in humans or in clinical diagnosis. Primary Antibodies are guaranteed for 1 year from date of receipt.
Loading...
Loading...
Loading...
Loading...