IARS2 Antibody - BSA Free
Novus Biologicals, part of Bio-Techne | Catalog # NBP1-84639
Key Product Details
Validated by
Independent Antibodies
Species Reactivity
Human
Applications
Western Blot
Label
Unconjugated
Antibody Source
Polyclonal Rabbit IgG
Format
BSA Free
Concentration
Concentrations vary lot to lot. See vial label for concentration. If unlisted please contact technical services.
Product Specifications
Immunogen
This antibody was developed against Recombinant Protein corresponding to amino acids: NVIHPDVVVNGGQDQSKEPPYGADVLRWWVADSNVFTEVAIGPSVLNAARDDISKLRNTLRFLLGNVADFNPETDSIPVNDMYV
Reactivity Notes
Reactivity reported in scientific literature (PMID: 21945886)
Clonality
Polyclonal
Host
Rabbit
Isotype
IgG
Scientific Data Images for IARS2 Antibody - BSA Free
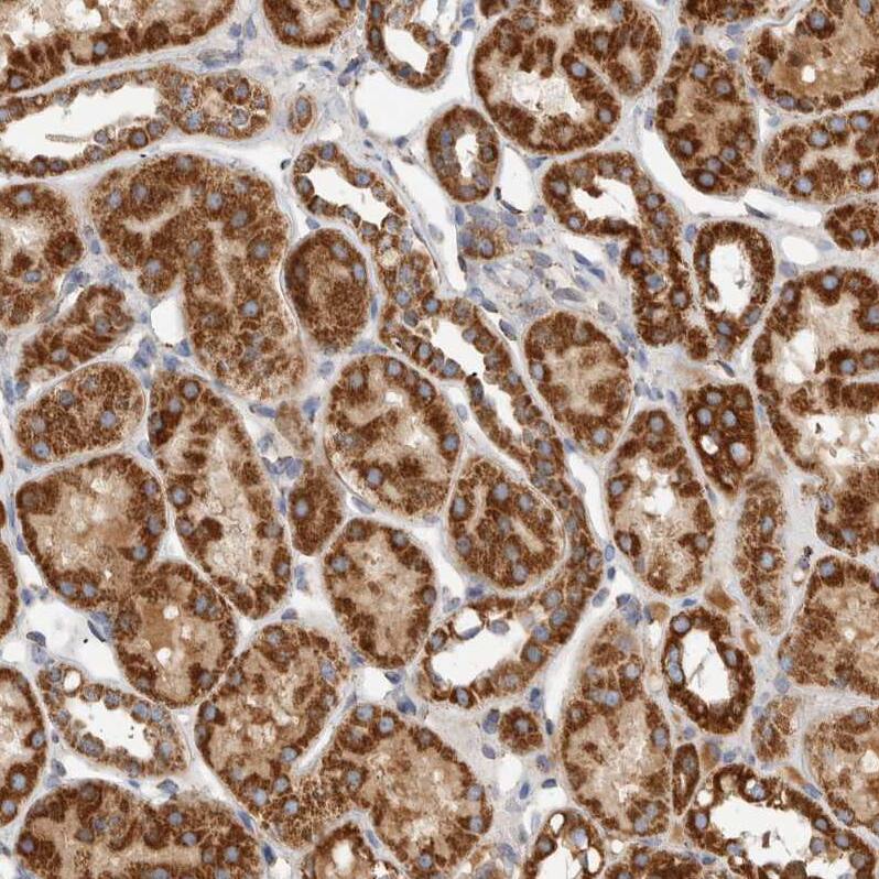
Immunohistochemistry-Paraffin: IARS2 Antibody - BSA Free [NBP1-84639]
Staining of human placenta shows strong granular cytoplasmic positivity in trophoblastic cells.Staining of human kidney, lower gastrointestinal, placenta and testis using Anti-IARS2 antibody NBP1-84639 (A) shows similar protein distribution across tissues to independent antibody HPA024594 (B).
Analysis using Anti-IARS2 antibody HPA024212 (A) shows similar pattern to independent antibody HPA024594 (B).Immunohistochemistry-Paraffin: IARS2 Antibody - BSA Free [NBP1-84639]
Staining of human testis shows moderate granular cytoplasmic positivity in cells in seminiferous ducts.Applications for IARS2 Antibody - BSA Free
Application
Recommended Usage
Western Blot
0.04-0.4 ug/ml
Formulation, Preparation, and Storage
Purification
Affinity purified
Formulation
PBS (pH 7.2) and 40% Glycerol
Format
BSA Free
Preservative
0.02% Sodium Azide
Concentration
Concentrations vary lot to lot. See vial label for concentration. If unlisted please contact technical services.
Shipping
The product is shipped with polar packs. Upon receipt, store it immediately at the temperature recommended below.
Stability & Storage
Store at 4C short term. Aliquot and store at -20C long term. Avoid freeze-thaw cycles.
Background: IARS2
Alternate Names
EC 6.1.1, EC 6.1.1.5, FLJ10326, IleRS, isoleucine tRNA ligase 2, mitochondrial, Isoleucine--tRNA ligase, isoleucine-tRNA synthetase 2, mitochondrial, isoleucyl-tRNA synthetase 2, mitochondrial, isoleucyl-tRNA synthetase, mitochondrial, mitochondrial isoleucine tRNA synthetase
Gene Symbol
IARS2
Additional IARS2 Products
Product Documents for IARS2 Antibody - BSA Free
Product Specific Notices for IARS2 Antibody - BSA Free
This product is for research use only and is not approved for use in humans or in clinical diagnosis. Primary Antibodies are guaranteed for 1 year from date of receipt.
Loading...
Loading...
Loading...
Loading...