Skip to main content

HYPB Antibody (OTI1E1) - Azide and BSA Free

Novus Biologicals, part of Bio-Techne | Catalog # NBP2-71850

Novus Biologicals, part of Bio-Techne

Key Product Details

Species Reactivity

Human, Mouse, Rat

Applications

Immunohistochemistry, Immunohistochemistry-Paraffin, Western Blot

Label

Unconjugated

Antibody Source

Monoclonal Mouse IgG2A Clone # OTI1E1

Format

Azide and BSA Free

Concentration

LYOPH mg/ml

Product Specifications

Immunogen

Human recombinant protein fragment corresponding to amino acids 1787-2144 of human SETD2 (NP_054878) produced in E.coli.

Reactivity Notes

Please note that this antibody is reactive to Mouse and derived from the same host, Mouse. Mouse-On-Mouse blocking reagent may be needed for IHC and ICC experiments to reduce high background signal. You can find these reagents under catalog numbers PK-2200-NB and MP-2400-NB. Please contact Technical Support if you have any questions.

Clonality

Monoclonal

Host

Mouse

Isotype

IgG2A

Scientific Data Images for HYPB Antibody (OTI1E1) - Azide and BSA Free

Western Blot: HYPB Antibody (OTI1E1)Azide and BSA Free [NBP2-71850]

Western Blot: HYPB Antibody (OTI1E1)Azide and BSA Free [NBP2-71850]

Western Blot: HYPB Antibody (OTI1E1) - Azide and BSA Free [NBP2-71850] - Human recombinant protein fragment corresponding to amino acids 1787-2144 of human SETD2 (NP_085487) produced in E.coli.
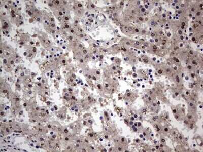
Immunohistochemistry: HYPB Antibody (OTI1E1) - Azide and BSA Free [NBP2-71850]

Immunohistochemistry: HYPB Antibody (OTI1E1) - Azide and BSA Free [NBP2-71850]

Immunohistochemistry: HYPB Antibody (OTI1E1) - Azide and BSA Free [NBP2-71850] - Analysis of Human embryonic liver tissue.(Heat-induced epitope retrieval by 1 mM EDTA in 10mM Tris, pH8.5, 120C for 3min)

Applications for HYPB Antibody (OTI1E1) - Azide and BSA Free

Application
Recommended Usage

Immunohistochemistry

1:150

Western Blot

1:2000

Formulation, Preparation, and Storage

Purification

Immunogen affinity purified

Reconstitution

we recommend adding 100uL distilled water to a final antibody concentration of about 1 mg/mL. To use this carrier-free antibody for conjugation experiment, we strongly recommend performing another round of desalting process.

Formulation

Lyophilized from PBS (pH 7.3) with 8% Trehalose

Format

Azide and BSA Free

Preservative

No Preservative

Concentration

LYOPH mg/ml

Shipping

The product is shipped with polar packs. Upon receipt, store it immediately at the temperature recommended below.

Stability & Storage

Store at -20C. Avoid freeze-thaw cycles.

Background: HYPB

Huntington's disease (HD), a neurodegenerative disorder characterized by loss of striatal neurons, is caused by an expansion of a polyglutamine tract in the HD protein huntingtin. This gene encodes a protein belonging to a class of huntingtin interacting proteins characterized by WW motifs. This protein is a histone methyltransferase that is specific for lysine-36 of histone H3, and methylation of this residue is associated with active chromatin. This protein also contains a novel transcriptional activation domain and has been found associated with hyperphosphorylated RNA polymerase II. (provided by RefSeq)

Alternate Names

FLJ22472, FLJ23184, FLJ45883, FLJ46217, HIF1, HIF-1EC 2.1.1.43, HIP-1, histone-lysine N-methyltransferase SETD2, hSET2, huntingtin interacting protein 1, Huntingtin yeast partner B, Huntingtin-interacting protein 1, Huntingtin-interacting protein B, HYPBp231HBP, KIAA1732SET domain-containing protein 2, KMT3AHBP231, Lysine N-methyltransferase 3A, SET domain containing 2, SET2FLJ16420

Gene Symbol

SETD2

Additional HYPB Products

Product Documents for HYPB Antibody (OTI1E1) - Azide and BSA Free

Certificate of Analysis

To download a Certificate of Analysis, please enter a lot number in the search box below.

Product Specific Notices for HYPB Antibody (OTI1E1) - Azide and BSA Free

This product is for research use only and is not approved for use in humans or in clinical diagnosis. Primary Antibodies are guaranteed for 1 year from date of receipt.

Loading...
Loading...
Loading...
Loading...
Loading...