Hydroxyacid Oxidase-1/HAO-1 Antibody - Azide and BSA Free
Novus Biologicals, part of Bio-Techne | Catalog # NBP2-99929
Conjugate
Catalog #
Key Product Details
Species Reactivity
Human
Applications
ELISA, Immunohistochemistry-Paraffin, Western Blot
Label
Unconjugated
Antibody Source
Polyclonal Rabbit IgG
Format
Azide and BSA Free
Concentration
Please see the vial label for concentration. If unlisted please contact technical services.
Product Specifications
Immunogen
Produced in rabbits immunized with purified, recombinant Human Hydroxyacid Oxidase-1/HAO-1 (Accession#: NP_060015.1; Leu2-Ile370)
Clonality
Polyclonal
Host
Rabbit
Isotype
IgG
Description
This antibody can be stored at 2C to 8C for one month without detectable loss of activity. Antibody products are stable for twelve months from date of receipt when stored at -20C to -80C. Avoid repeated freeze-thaw cycles.
Scientific Data Images for Hydroxyacid Oxidase-1/HAO-1 Antibody - Azide and BSA Free
Western Blot: Hydroxyacid Oxidase-1/HAO-1 Antibody [NBP2-99929]
Western Blot: Hydroxyacid Oxidase-1/HAO-1 Antibody [NBP2-99929] - Anti-Hydroxyacid Oxidase-1/HAO-1 rabbit polyclonal antibody at 1:500 dilution. Lane A: THP1 Whole Cell Lysate. Lysates/proteins at 30 ug per lane. Secondary Goat Anti-Rabbit IgG (H+L)/HRP at 1/10000 dilution. Developed using the ECL technique. Performed under reducing conditions. Predicted band size: 41 kDa. Observed band size: 41 kDaImmunohistochemistry-Paraffin: Hydroxyacid Oxidase-1/HAO-1 Antibody [NBP2-99929]
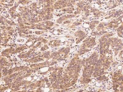
Immunohistochemistry-Paraffin: Hydroxyacid Oxidase-1/HAO-1 Antibody [NBP2-99929] - Immunochemical staining of human Hydroxyacid Oxidase-1/HAO-1 in human pancreatic carcinoma with rabbit polyclonal antibody at 1:2500 dilution, formalin-fixed paraffin embedded sections.Applications for Hydroxyacid Oxidase-1/HAO-1 Antibody - Azide and BSA Free
Application
Recommended Usage
ELISA
1:25000-1:50000
Immunohistochemistry-Paraffin
1:1000-1:5000
Western Blot
1:500-1:1000
Formulation, Preparation, and Storage
Purification
Antigen and protein A Affinity-purified
Formulation
0.2 um filtered solution in PBS
Format
Azide and BSA Free
Preservative
No Preservative
Concentration
Please see the vial label for concentration. If unlisted please contact technical services.
Shipping
The product is shipped with polar packs. Upon receipt, store it immediately at the temperature recommended below.
Stability & Storage
Store at 4C short term. Aliquot and store at -20C long term. Avoid freeze-thaw cycles.
Background: Hydroxyacid Oxidase-1/HAO-1
Alternate Names
GOX, HAO-1, HAO1, HAOX1, Hydroxyacid Oxidase1
Gene Symbol
HAO1
Additional Hydroxyacid Oxidase-1/HAO-1 Products
Product Documents for Hydroxyacid Oxidase-1/HAO-1 Antibody - Azide and BSA Free
Product Specific Notices for Hydroxyacid Oxidase-1/HAO-1 Antibody - Azide and BSA Free
This product is for research use only and is not approved for use in humans or in clinical diagnosis. Primary Antibodies are guaranteed for 1 year from date of receipt.
Loading...
Loading...
Loading...
Loading...