Skip to main content

Human TSC2 Antibody

R&D Systems, part of Bio-Techne | Catalog # AF4040

R&D Systems, part of Bio-Techne
Discontinued Product
AF4040 has been discontinued. View all TSC2 products.

Key Product Details

Species Reactivity

Human

Applications

Immunohistochemistry, Western Blot

Label

Unconjugated

Antibody Source

Polyclonal Sheep IgG

Product Specifications

Immunogen

E. coli-derived recombinant human TSC2
His1506-Lys1748
Accession # P49815

Specificity

Detects human TSC2 in direct ELISAs and Western blots. In direct ELISAs, less than 1% cross-reactivity with recombinant human TSC1 and recombinant mouse TSC22 is observed.

Clonality

Polyclonal

Host

Sheep

Isotype

IgG

Scientific Data Images for Human TSC2 Antibody

Detection of Human TSC2 antibody by Western Blot.

Detection of Human TSC2 by Western Blot.

Western blot shows lysates of 293T human embryonic kidney cell line. PVDF membrane was probed with 0.5 µg/mL of Sheep Anti-Human TSC2 Antigen Affinity-purified Polyclonal Antibody (Catalog # AF4040) followed by HRP-conjugated Anti-Sheep IgG Secondary Antibody (Catalog # HAF016). A specific band was detected for TSC2 at approximately 200 kDa (as indicated). This experiment was conducted under reducing conditions and using Immunoblot Buffer Group 1.
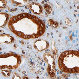
TSC2 antibody in Human Kidney by Immunohistochemistry (IHC-P).

TSC2 in Human Kidney.

TSC2 was detected in immersion fixed paraffin-embedded sections of human kidney using Sheep Anti-Human TSC2 Antigen Affinity-purified Polyclonal Antibody (Catalog # AF4040) at 3 µg/mL overnight at 4 °C. Tissue was stained using the Anti-Sheep HRP-DAB Cell & Tissue Staining Kit (brown; Catalog # CTS019) and counterstained with hematoxylin (blue). Specific staining was localized to epithelial cells. View our protocol for Chromogenic IHC Staining of Paraffin-embedded Tissue Sections.

Applications for Human TSC2 Antibody

Application
Recommended Usage

Immunohistochemistry

5-15 µg/mL
Sample: Immersion fixed paraffin-embedded sections of human kidney

Western Blot

0.5 µg/mL
Sample: 293T human embryonic kidney cell line

Formulation, Preparation, and Storage

Purification

Antigen Affinity-purified

Reconstitution

Sterile PBS to a final concentration of 0.2 mg/mL. For liquid material, refer to CoA for concentration.

Formulation

Lyophilized from a 0.2 μm filtered solution in PBS with Trehalose. *Small pack size (SP) is supplied either lyophilized or as a 0.2 µm filtered solution in PBS.

Shipping

Lyophilized product is shipped at ambient temperature. Liquid small pack size (-SP) is shipped with polar packs. Upon receipt, store immediately at the temperature recommended below.

Stability & Storage

Use a manual defrost freezer and avoid repeated freeze-thaw cycles.
  • 12 months from date of receipt, -20 to -70 °C as supplied.
  • 1 month, 2 to 8 °C under sterile conditions after reconstitution.
  • 6 months, -20 to -70 °C under sterile conditions after reconstitution.

Background: TSC2

TSC-2 (Tuberous sclerosis complex protein 2; also tuberin) is a 190-220 kDa intracellular GTPase activating protein. It is widely expressed, and plays a central role in mTOR activation. In quiescent cells, TSC-2 is non-covalently bound to both membrane-embedded TSC-1 (a structurally unrelated protein) and polycystin-1. In this complex, TSC-2 represses mTOR activity by converting GTP-Rheb to GDP-Rheb. When AKT is activated (via growth factor signaling), TSC-2 is phosphorylated, binds to 14-3-3 protein, dissociates from its complex, and stops converting GTP-Rheb to GDP-Rheb. Human TSC-2 is 1807 amino acids (aa) in length. It contains two coiled-coil regions (aa 346-371 and 1008-1021), and one Rap-GAP domain (aa 1531-1758). Phosphorylation regulates TSC-2 activity and there are at least 19 utilized phosphorylation sites. Multiple splice variants exist. Singularly, or in combination, there are deletions of aa 1272-1294, 76-112, 946-988, and 946-989. Single point mutations abound, some of which impact phosphorylation. There is also a potential alternative start site 91 aa upstream of the standard site. Over aa 1506-1748, human TSC-2 shares 85% aa identity with mouse TSC-2.

Long Name

Tuberous Sclerosis 2

Alternate Names

LAM, TSC4, Tuberin

Entrez Gene IDs

7249 (Human); 22084 (Mouse); 24855 (Rat)

Gene Symbol

TSC2

UniProt

Additional TSC2 Products

Product Documents for Human TSC2 Antibody

Certificate of Analysis

To download a Certificate of Analysis, please enter a lot number in the search box below.

Note: Certificate of Analysis not available for kit components.

Product Specific Notices for Human TSC2 Antibody

For research use only

Loading...
Loading...
Loading...
Loading...