Skip to main content

Key Product Details

Species Reactivity

Human

Applications

Immunohistochemistry, Immunocytochemistry

Label

Unconjugated

Antibody Source

Monoclonal Mouse IgG1 Clone # 1036706

Product Specifications

Immunogen

Human SF‑1/NR5A1 synthetic peptide
Accession # Q13285

Specificity

Detects human SF‑1/NR5A1 in direct ELISAs.

Clonality

Monoclonal

Host

Mouse

Isotype

IgG1

Scientific Data Images for Human SF-1/NR5A1 Antibody

SF-1/NR5A1 in HepG2 Human Cell Line.

SF-1/NR5A1 was detected in immersion fixed HepG2 human hepatocellular carcinoma cell line (positive staining) and K562 human chronic myelogenous leukemia cell line (negative control) using Mouse Anti-Human SF-1/NR5A1 Monoclonal Antibody (Catalog # MAB10724) at 8 µg/mL for 3 hours at room temperature. Cells were stained using the NorthernLights™ 557-conjugated Anti-Mouse IgG Secondary Antibody (red; NL007) and counterstained with DAPI (blue). Specific staining was localized to cell nuclei. Staining was performed using our protocol for Fluorescent ICC Staining of Non-adherent Cells.

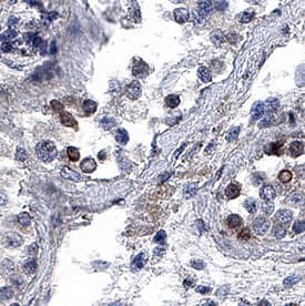
SF-1/NR5A1 in Human Testis.

SF-1/NR5A1 was detected in immersion fixed paraffin-embedded sections of human testis using Mouse Anti-Human SF-1/NR5A1 Monoclonal Antibody (Catalog # MAB10724) at 5 µg/mL for 1 hour at room temperature followed by incubation with the Anti-Mouse IgG VisUCyte™ HRP Polymer Antibody (VC001). Before incubation with the primary antibody, tissue was subjected to heat-induced epitope retrieval using Antigen Retrieval Reagent-Basic (CTS013). Tissue was stained using DAB (brown) and counterstained with hematoxylin (blue). Specific staining was localized to cell nuclei in sperm cells. Staining was performed using our protocol for IHC Staining with VisUCyte HRP Polymer Detection Reagents.

Applications for Human SF-1/NR5A1 Antibody

Application
Recommended Usage

Immunocytochemistry

8-25 µg/mL
Sample: Immersion fixed HepG2 human hepatocellular carcinoma cell line

Immunohistochemistry

5-25 µg/mL
Sample: Immersion fixed paraffin-embedded sections of human testis

Reviewed Applications

Read 1 review rated 5 using MAB10724 in the following applications:

Formulation, Preparation, and Storage

Purification

Protein A or G purified from hybridoma culture supernatant

Reconstitution

Reconstitute at 0.5 mg/mL in sterile PBS. For liquid material, refer to CoA for concentration.

Reconstitution Buffer Available:
Size / Price
Qty
Loading...

Formulation

Lyophilized from a 0.2 μm filtered solution in PBS with Trehalose. *Small pack size (SP) is supplied either lyophilized or as a 0.2 µm filtered solution in PBS.

Shipping

Lyophilized product is shipped at ambient temperature. Liquid small pack size (-SP) is shipped with polar packs. Upon receipt, store immediately at the temperature recommended below.

Stability & Storage

Use a manual defrost freezer and avoid repeated freeze-thaw cycles.
  • 12 months from date of receipt, -20 to -70 °C as supplied.
  • 1 month, 2 to 8 °C under sterile conditions after reconstitution.
  • 6 months, -20 to -70 °C under sterile conditions after reconstitution.

Background: SF-1/NR5A1

NR5A1 (STF1) is a transcriptional activator essential for sexual differentiation and formation of the primary steroidogenic tissues.  Mutations in the NR5A1 gene result in multiple diseases ranging from infertility (SFPG8), premature ovarian failure (POF7), adrenal insufficiency (AINR), female to male sex reversal (SRXX4) and male to female sex reversal (SRXY3).

Long Name

Steroidogenic Factor 1

Alternate Names

AD4BP, FTZF1, NR5A1, SF1

Entrez Gene IDs

2516 (Human)

Gene Symbol

NR5A1

UniProt

Additional SF-1/NR5A1 Products

Product Documents for Human SF-1/NR5A1 Antibody

Certificate of Analysis

To download a Certificate of Analysis, please enter a lot number in the search box below.

Note: Certificate of Analysis not available for kit components.

Product Specific Notices for Human SF-1/NR5A1 Antibody

For research use only

Loading...
Loading...
Loading...
Loading...