Skip to main content

Key Product Details

Validated by

Knockout/Knockdown

Species Reactivity

Validated:

Human

Cited:

Human

Applications

Validated:

Knockout Validated, Immunohistochemistry, Western Blot, Immunocytochemistry

Cited:

Bioassay

Label

Unconjugated

Antibody Source

Monoclonal Mouse IgG1 Clone # 922813

Product Specifications

Immunogen

E. coli-derived recombinant human S100A4
Met1-Ser101
Accession # P26447

Specificity

Detects human S100A4 in direct ELISAs.

Clonality

Monoclonal

Host

Mouse

Isotype

IgG1

Scientific Data Images for Human S100A4 Antibody

Detection of Human and Mouse S100A4 antibody by Western Blot.

Detection of Human and Mouse S100A4 by Western Blot.

Western blot shows lysates of HeLa human cervical epithelial carcinoma cell line and NIH-3T3 mouse embryonic fibroblast cell line. PVDF membrane was probed with 2 µg/mL of Mouse Anti-Human S100A4 Monoclonal Antibody (Catalog # MAB4137) followed by HRP-conjugated Anti-Mouse IgG Secondary Antibody (Catalog # HAF018). A specific band was detected for S100A4 at approximately 11 kDa (as indicated). This experiment was conducted under reducing conditions and using Immunoblot Buffer Group 1.
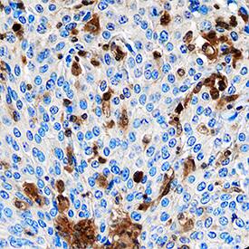
S100A4 antibody in Human Cervical Cancer Tissue by Immunohistochemistry (IHC-P).

S100A4 in Human Cervical Cancer Tissue.

S100A4 was detected in immersion fixed paraffin-embedded sections of human cervical cancer tissue using Mouse Anti-Human S100A4 Monoclonal Antibody (Catalog # MAB4137) at 15 µg/mL overnight at 4 °C. Tissue was stained using the Anti-Mouse HRP-DAB Cell & Tissue Staining Kit (brown; Catalog # CTS002) and counterstained with hematoxylin (blue). Specific staining was localized to cytoplasm in cancer cells. View our protocol for Chromogenic IHC Staining of Paraffin-embedded Tissue Sections.
S100A4 antibody in A549 Human Cell Line by Immunocytochemistry (ICC).

S100A4 in A549 Human Cell Line.

S100A4 was detected in immersion fixed A549 human lung carcinoma cells unstimulated (lower panel) and stimulated with the EMT Inducing Media Supplement (upper panel; Catalog # CCM017) using Mouse Anti-Human S100A4 Monoclonal Antibody (Catalog # MAB4137) at 1 µg/mL for 3 hours at room temperature. Cells were stained using the NorthernLights™ 557-conjugated Anti-Mouse IgG Secondary Antibody (red; Catalog # NL007) and counterstained with DAPI (blue). Specific staining was localized to cytoplasm. View our protocol for Fluorescent ICC Staining of Cells on Coverslips.

Applications for Human S100A4 Antibody

Application
Recommended Usage

Immunocytochemistry

8-25 µg/mL
Sample: Immersion fixed A549 human lung carcinoma cells unstimulated and stimulated with the EMT Inducing Media Supplement (Catalog # CCM017)

Immunohistochemistry

8-25 µg/mL
Sample: Immersion fixed paraffin-embedded sections of human cervical cancer tissue

Knockout Validated

S100A4 is specifically detected in HeLa human cervical epithelial carcinoma parental cell line but is not detectable in S100A4 knockout HeLa cell line.

Western Blot

2 µg/mL
Sample: HeLa human cervical epithelial carcinoma cell line and NIH‑3T3 mouse embryonic fibroblast cell line

Reviewed Applications

Read 4 reviews rated 4.5 using MAB4137 in the following applications:

Formulation, Preparation, and Storage

Purification

Protein A or G purified from hybridoma culture supernatant

Reconstitution

Reconstitute at 0.5 mg/mL in sterile PBS. For liquid material, refer to CoA for concentration.

Reconstitution Buffer Available:
Size / Price
Qty
Loading...

Formulation

Lyophilized from a 0.2 μm filtered solution in PBS with Trehalose. *Small pack size (SP) is supplied either lyophilized or as a 0.2 µm filtered solution in PBS.

Shipping

Lyophilized product is shipped at ambient temperature. Liquid small pack size (-SP) is shipped with polar packs. Upon receipt, store immediately at the temperature recommended below.

Stability & Storage

Use a manual defrost freezer and avoid repeated freeze-thaw cycles.
  • 12 months from date of receipt, -20 to -70 °C as supplied.
  • 1 month, 2 to 8 °C under sterile conditions after reconstitution.
  • 6 months, -20 to -70 °C under sterile conditions after reconstitution.

Background: S100A4

S100A4, also known as Metastasin, Mtsl and Calvasculin, is an 11 kDa member of the S100 (soluble in 100% saturated ammonium sulfate) family of proteins (1-5). The S100 family is further classified as a member of the EF-hand superfamily of Ca++-binding proteins. These participate in both calcium-dependent and
calcium-independent protein-protein interactions. The hallmark of this superfamily is the EF-hand motif that consists of a Ca++-binding site flanked by two alpha-helices (helix E and helix F) that were originally identified in a right-handed model of carp muscle calcium-binding protein (6). Human S100A4 is 101 amino acids (aa) in length (1, 2). It contains two EF hand domains, one between aa 12-47, and a second between aa 50-85. The first domain has a 14 aa cation-binding motif and binds Ca++ with low affinity. The second Ca++-binding motif is 12 aa in length and binds Ca++ with high affinity. S100A4 has no classical signal sequence but is secreted from cells (3, 7). Human S100A4 shares 93% and 95% aa identity with mouse and canine S100A4, respectively. S100A4 reportedly exists as a dimer (8, 9, 10). Extracellular S100A4 is reported to induce MMP production, activate MMPs, promote neurite outgrowth and stimulate cardiomyocyte proliferation (4, 10, 11, 12, 13). Within the cell, dimers are likely the functional unit. Here, they are constitutive homo- or heterodimers (with S100A1) that interact with Ca++, undergo a conformational change, and subsequently bind to cytoplasmic targets. Known targets include p53, myosin heavy chain II, F-actin and liprin beta1 (4, 14). In general, it can be said that S100A4 blocks target phosphorylation and multimerization (4, 7, 14). S100A4 activity has been associated with cell transformation. It seems likely this is either coincidental, or a consequence, rather than a cause of transformation (3).

References

  1. Engelkamp, D. et al. (1992) Biochemistry 31:10258.
  2. Tomida, Y. et al. (1992) Biochem. Biophys. Res. Commun. 189:1310.
  3. Garrett, S.C. et al. (2006) J. Biol. Chem. 281:677.
  4. Santamaria-Kisiel, L. et al. (2006) Biochem. J. 396:201.
  5. Donato, R. (2001) Int. J. Biochem. Mol. Biol. 33:637.
  6. Kretsinger, R.H. and C.E. Nockolds (1973) J. Biol. Chem. 248:3313.
  7. Helfman, D.M. et al. (2005) Br. J. Cancer 92:1955.
  8. Burkitt, W.I. et al. (2003) Biochem. Soc. Trans. 31:985.
  9. Vallaly, K.M. et al. (2002) Biochemistry 41:12670.
  10. Novitskaya, V. et al. (2000) J. Biol. Chem. 275:41278.
  11. Stary, M. et al. (2006) Biochem. Biophys. Res. Commun. 343:555.
  12. Semov, A. et al. (2005) J. Biol. Chem. 280:20833.
  13. Saleem, M. et al. (2006) Proc. Natl. Acad. Sci. USA 103:14825.
  14. Kriajevska, M. et al. (2002) J. Biol. Chem. 277:5229.

Long Name

S100 Calcium Binding Protein A4

Alternate Names

18A2, 42A, CAPL, MTS1, P9KA, PEL98

Entrez Gene IDs

6275 (Human); 20198 (Mouse); 24615 (Rat)

Gene Symbol

S100A4

UniProt

Additional S100A4 Products

Product Documents for Human S100A4 Antibody

Certificate of Analysis

To download a Certificate of Analysis, please enter a lot number in the search box below.

Note: Certificate of Analysis not available for kit components.

Product Specific Notices for Human S100A4 Antibody

For research use only

Loading...
Loading...
Loading...
Loading...