Skip to main content

Key Product Details

Species Reactivity

Validated:

Human, Primate

Cited:

Human, Mouse

Applications

Validated:

Immunohistochemistry, Western Blot, ELISA Capture (Matched Antibody Pair), Immunoprecipitation

Cited:

Immunohistochemistry, Immunohistochemistry-Paraffin, Immunohistochemistry-Frozen, Western Blot, ELISA Development

Label

Unconjugated

Antibody Source

Polyclonal Goat IgG

Product Specifications

Immunogen

Mouse myeloma cell line NS0-derived recombinant human MMP-3
Tyr18-Cys477 (Lys45Glu)
Accession # P08254

Specificity

Detects human and primate MMP-3 in ELISAs and Western blots. In Direct ELISA's, less than 10% cross-reactivity with recombinant human (rh) MMP‑10 is observed and less than 1% cross-reactivity with rhMMP-1, -2, -7, -8, -9, -12, -13, and recombinant mouse MMP‑9 is observed.

Clonality

Polyclonal

Host

Goat

Isotype

IgG

Scientific Data Images for Human/Primate MMP-3 Antibody

Detection of Human MMP-3 antibody by Western Blot.

Detection of Human MMP‑3 by Western Blot.

Western blot shows Recombinant Human MMP-3 Western Blot Standard Protein (WBC015) and lysate of U-118-MG human glioblastoma/astrocytoma cell line. PVDF membrane was probed with 2 µg/mL of Goat Anti-Human/Primate MMP-3 Antigen Affinity-purified Polyclonal Antibody (Catalog # AF513) followed by HRP-conjugated Anti-Goat IgG Secondary Antibody (HAF017). A specific band was detected for MMP-3 at approximately 57-60 kDa (as indicated). This experiment was conducted under reducing conditions and using Immunoblot Buffer Group 1.
MMP-3 antibody in Human Bladder Cancer Tissue by Immunohistochemistry (IHC-P).

MMP‑3 in Human Bladder Cancer Tissue.

MMP-3 was detected in immersion fixed paraffin-embedded sections of human bladder cancer tissue using Goat Anti-Human/ Primate MMP-3 Antigen Affinity-purified Polyclonal Antibody (Catalog # AF513) at 10 µg/mL overnight at 4 °C. Tissue was stained using the Anti-Goat HRP-DAB Cell & Tissue Staining Kit (brown; CTS008) and counterstained with hematoxylin (blue). Specific staining was localized to epithelial cells. View our protocol for Chromogenic IHC Staining of Paraffin-embedded Tissue Sections.
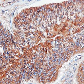
MMP-3 antibody in Human Lung Cancer by Immunohistochemistry (IHC-P).

MMP‑3 in Human Lung Cancer.

MMP-3 was detected in immersion fixed paraffin-embedded sections of human lung cancer using Goat Anti-Human/Primate MMP-3 Antigen Affinity-purified Polyclonal Antibody (Catalog # AF513) at 15 µg/mL overnight at 4 °C. Tissue was stained using the Anti-Goat HRP-DAB Cell & Tissue Staining Kit (brown; CTS008) and counterstained with hematoxylin (blue). Specific staining was localized to cytoplasm. View our protocol for Chromogenic IHC Staining of Paraffin-embedded Tissue Sections.

Applications for Human/Primate MMP-3 Antibody

Application
Recommended Usage

Immunohistochemistry

5-15 µg/mL
Sample: Immersion fixed paraffin-embedded sections of human lung cancer, human colon cancer tissue, and human bladder cancer tissue

Immunoprecipitation

25 µg/mL
Sample: Conditioned cell culture medium spiked with Recombinant Human MMP-3 (Catalog # 513-MP), see our available Western blot detection antibodies

Western Blot

2 µg/mL
Sample: Recombinant Human MMP-3 Western Blot Standard Proteins (Catalog # WBC015) and  lysates of U‑118‑MG human glioblastoma/astrocytoma cell line

Human/Primate MMP-3 Sandwich Immunoassay

ELISA Capture (Matched Antibody Pair)
Recommended Concentration: 0.2-0.8 µg/mL
Use in combination with these reagents:
  • Detection Reagent: Human/Primate MMP-3 Biotinylated Antibody (Catalog # BAF513)
  • Standard: Recombinant Human MMP-3 Protein, CF (Catalog # 513-MP)
Please Note: Optimal dilutions of this antibody should be experimentally determined.

Reviewed Applications

Read 1 review rated 4 using AF513 in the following applications:

Formulation, Preparation, and Storage

Purification

Antigen Affinity-purified

Reconstitution

Reconstitute at 0.2 mg/mL in sterile PBS. For liquid material, refer to CoA for concentration.

Reconstitution Buffer Available:
Size / Price
Qty
Loading...

Formulation

Lyophilized from a 0.2 μm filtered solution in PBS with Trehalose. See Certificate of Analysis for details.
*Small pack size (-SP) is supplied either lyophilized or as a 0.2 µm filtered solution in PBS.

Shipping

Lyophilized product is shipped at ambient temperature. Liquid small pack size (-SP) is shipped with polar packs. Upon receipt, store immediately at the temperature recommended below.

Stability & Storage

Use a manual defrost freezer and avoid repeated freeze-thaw cycles.
  • 12 months from date of receipt, -20 to -70 °C as supplied.
  • 1 month, 2 to 8 °C under sterile conditions after reconstitution.
  • 6 months, -20 to -70 °C under sterile conditions after reconstitution.

Background: MMP-3

Matrix metalloproteinases are a family of zinc and calcium dependent endopeptidases with the combined ability to degrade all the components of the extracellular matrix. MMP-3 (stromelysin-1) can degrade a broad range of substrates including collagen alpha chains, aggrecan, laminin, fibronectin, elastin, casein, alpha-1 antitrypsin, myelin basic protein, IL-1 beta, IGFBP-3, pro-MMP-1, pro-MMP-7, pro-MMP-8, pro-MMP-9, and pro-MMP-13. MMP-3 does not cleave the triple helical region of interstitial collagens, a characteristic which distinguishes the stromelysins from the collagenases. The MMP-3 substrate repertoire extends beyond extracellular matrix proteins and implicates MMP-3 in roles other than direct tissue remodelling, for instance, enzyme cascades and cytokine regulation. MMP-3 is expressed by fibroblasts, chrondrocytes, osteoblasts, endothelial cells, smooth muscle cells, and macrophages. Structurally, MMP-3 may be divided into several distinct domains; a pro-domain which is cleaved upon activation; a catalytic domain containing the zinc binding site; a short hinge region and a carboxyl terminal (hemopexin-like) domain.

Long Name

Matrix Metalloproteinase 3

Alternate Names

MMP3, Stromelysin 1

Entrez Gene IDs

4314 (Human); 17392 (Mouse)

Gene Symbol

MMP3

UniProt

Additional MMP-3 Products

Product Documents for Human/Primate MMP-3 Antibody

Certificate of Analysis

To download a Certificate of Analysis, please enter a lot number in the search box below.

Note: Certificate of Analysis not available for kit components.

Product Specific Notices for Human/Primate MMP-3 Antibody

For research use only

Loading...
Loading...
Loading...
Loading...