Skip to main content

Key Product Details

Species Reactivity

Human

Applications

Immunohistochemistry, Western Blot

Label

Unconjugated

Antibody Source

Polyclonal Goat IgG

Product Specifications

Immunogen

E. coli-derived recombinant human PLD2
Met1-His117
Accession # O14939

Specificity

Detects human PLD2 in direct ELISAs.

Clonality

Polyclonal

Host

Goat

Isotype

IgG

Scientific Data Images for Human PLD2 Antibody

Detection of Human PLD2 antibody by Western Blot.

Detection of Human PLD2 by Western Blot.

Western blot shows lysates of HeLa human cervical epithelial carcinoma cell line, HUVEC human umbilical vein endothelial cells, and U937 human histiocytic lymphoma cell line. PVDF membrane was probed with 1 µg/mL of Goat Anti-Human PLD2 Antigen Affinity-purified Polyclonal Antibody (Catalog # AF10123) followed by HRP-conjugated Anti-Goat IgG Secondary Antibody (Catalog # HAF017). A specific band was detected for PLD2 at approximately 95 kDa (as indicated). This experiment was conducted under reducing conditions and using Immunoblot Buffer Group 1.
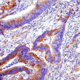
PLD2 antibody in Human Colon Cancer Tissue by Immunohistochemistry (IHC-P).

PLD2 in Human Colon Cancer Tissue.

PLD2 was detected in immersion fixed paraffin-embedded sections of human colon cancer tissue using Goat Anti-Human PLD2 Antigen Affinity-purified Polyclonal Antibody (Catalog # AF10123) at 10 µg/mL for 1 hour at room temperature followed by incubation with the Anti-Goat IgG VisUCyte™ HRP Polymer Antibody (Catalog # VC004). Before incubation with the primary antibody, tissue was subjected to heat-induced epitope retrieval using Antigen Retrieval Reagent-Basic (Catalog # CTS013). Tissue was stained using DAB (brown) and counterstained with hematoxylin (blue). Specific staining was localized to cytoplasm in epithelial cells. View our protocol for IHC Staining with VisUCyte HRP Polymer Detection Reagents.

Applications for Human PLD2 Antibody

Application
Recommended Usage

Immunohistochemistry

8-25 µg/mL
Sample: Immersion fixed paraffin-embedded sections of human colon cancer tissue

Western Blot

1 µg/mL
Sample: HeLa human cervical epithelial carcinoma cell line, HUVEC human umbilical vein endothelial cells, and U937 human histiocytic lymphoma cell line

Formulation, Preparation, and Storage

Purification

Antigen Affinity-purified

Reconstitution

Reconstitute at 0.2 mg/mL in sterile PBS. For liquid material, refer to CoA for concentration.

Reconstitution Buffer Available:
Size / Price
Qty
Loading...

Formulation

Lyophilized from a 0.2 μm filtered solution in PBS with Trehalose. *Small pack size (SP) is supplied either lyophilized or as a 0.2 µm filtered solution in PBS.

Shipping

Lyophilized product is shipped at ambient temperature. Liquid small pack size (-SP) is shipped with polar packs. Upon receipt, store immediately at the temperature recommended below.

Stability & Storage

Use a manual defrost freezer and avoid repeated freeze-thaw cycles.
  • 12 months from date of receipt, -20 to -70 °C as supplied.
  • 1 month, 2 to 8 °C under sterile conditions after reconstitution.
  • 6 months, -20 to -70 °C under sterile conditions after reconstitution.

Background: PLD2

Phospholipase D2 (PLD2) is an enzyme encoded by the PLD2 gene. Phosphatidylcholine (PC)-specific phospholipases D (PLDs) catalyze the hydrolysis of PC to produce phosphatidic acid and choline. The Phospholipase D (PLD) lipid-signaling enzyme superfamily has long been studied for its roles in cell communication and a wide range of cell biological processes. Potent PLD2 inhibitors are available, like VU 0364739 hydrochloride (Tocris Cat. 4171) and ML 298 hydrochloride (Tocris Cat. 4895). Three different PLD2 isoforms -PLD2A, PLD2B and PLD2C- have been described, ranging from 38 to 105 KDa.

Long Name

Phospholipase D2

Alternate Names

Choline Phosphatase 2, HPLD2, PLD1C

Entrez Gene IDs

5338 (Human); 18806 (Mouse); 25097 (Rat)

Gene Symbol

PLD2

UniProt

Additional PLD2 Products

Product Documents for Human PLD2 Antibody

Certificate of Analysis

To download a Certificate of Analysis, please enter a lot number in the search box below.

Note: Certificate of Analysis not available for kit components.

Product Specific Notices for Human PLD2 Antibody

For research use only

Loading...
Loading...
Loading...
Loading...