Skip to main content

Key Product Details

Species Reactivity

Human

Applications

Immunohistochemistry, Western Blot, Immunocytochemistry

Label

Unconjugated

Antibody Source

Polyclonal Goat IgG

Product Specifications

Immunogen

E. coli-derived recombinant human Pax5/BSAP
Thr141-His391
Accession # Q02548

Specificity

Detects human Pax5/BSAP in direct ELISAs and Western blots. In direct ELISAs and Western blots, less than 1% cross-reactivity with recombinant human (rh) Pax2, rhPax3, and rhPax4 is observed.

Clonality

Polyclonal

Host

Goat

Isotype

IgG

Scientific Data Images for Human Pax5/BSAP Antibody

Detection of Human Pax5/BSAP antibody by Western Blot.

Detection of Human Pax5/BSAP by Western Blot.

Western blot shows lysates of Ramos human Burkitt's lymphoma cell line, Raji human Burkitt's lymphoma cell line, Daudi human Burkitt's lymphoma cell line, and Nalm-6 human Pre-B acute lymphocytic leukemia cell line. PVDF membrane was probed with 0.5 µg/mL of Goat Anti-Human Pax5/BSAP Antigen Affinity-purified Polyclonal Antibody (Catalog # AF3487) followed by HRP-conjugated Anti-Goat IgG Secondary Antibody (Catalog # HAF017). A specific band was detected for Pax5/BSAP at approximately 47 kDa (as indicated). This experiment was conducted under reducing conditions and using Immunoblot Buffer Group 1.
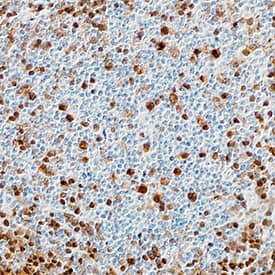
Pax5/BSAP antibody in Human Tonsil by Immunohistochemistry (IHC-P).

Pax5/BSAP in Human Tonsil.

Pax5/BSAP was detected in immersion fixed paraffin-embedded sections of human tonsil using Goat Anti-Human Pax5/BSAP Antigen Affinity-purified Polyclonal Antibody (Catalog # AF3487) at 3 µg/mL overnight at 4 °C. Tissue was stained using the Anti-Goat HRP-DAB Cell & Tissue Staining Kit (brown; Catalog # CTS008) and counterstained with hematoxylin (blue). Specific staining was localized to nuclei in lymphocytes. View our protocol for Chromogenic IHC Staining of Paraffin-embedded Tissue Sections.

Applications for Human Pax5/BSAP Antibody

Application
Recommended Usage

Immunocytochemistry

5-15 µg/mL
Sample: Immersion fixed human peripheral blood mononuclear cells

Immunohistochemistry

5-15 µg/mL
Sample: Immersion fixed paraffin-embedded sections of human tonsil

Western Blot

0.5 µg/mL
Sample: Ramos human Burkitt's lymphoma cell line, Raji human Burkitt's lymphoma cell line, Daudi human Burkitt's lymphoma cell line, and Nalm‑6 human Pre-B acute lymphocytic leukemia cell line

Reviewed Applications

Read 1 review rated 5 using AF3487 in the following applications:

Formulation, Preparation, and Storage

Purification

Antigen Affinity-purified

Reconstitution

Reconstitute at 0.2 mg/mL in sterile PBS. For liquid material, refer to CoA for concentration.

Reconstitution Buffer Available:
Size / Price
Qty
Loading...

Formulation

Lyophilized from a 0.2 μm filtered solution in PBS with Trehalose. *Small pack size (SP) is supplied either lyophilized or as a 0.2 µm filtered solution in PBS.

Shipping

Lyophilized product is shipped at ambient temperature. Liquid small pack size (-SP) is shipped with polar packs. Upon receipt, store immediately at the temperature recommended below.

Stability & Storage

Use a manual defrost freezer and avoid repeated freeze-thaw cycles.
  • 12 months from date of receipt, -20 to -70 °C as supplied.
  • 1 month, 2 to 8 °C under sterile conditions after reconstitution.
  • 6 months, -20 to -70 °C under sterile conditions after reconstitution.

Background: Pax5/BSAP

Pax5, also known as BSAP (B-cell-specific transcription factor) is a 42 kDa protein belonging to the paired box transcription factor family. It is a developmental regulator that is important for B-cell lineage commitment and development. Human Pax5 is a 391 amino acid (aa) protein containing the paired DNA-binding domain at the N‑terminal region. Several alternatively spliced isoforms with altered C‑terminal regions and possessing different transactivation properties have been described. All isoforms share the N‑terminal 235 aa with full-length Pax5. Human Pax5 shares 99%, 97% and 94% aa sequence identity with mouse, bovine and canine Pax5, respectively.

Long Name

Paired Box Gene 5/B-cell Specific Activator Protein

Alternate Names

BSAP

Entrez Gene IDs

5079 (Human); 18507 (Mouse)

Gene Symbol

PAX5

UniProt

Additional Pax5/BSAP Products

Product Documents for Human Pax5/BSAP Antibody

Certificate of Analysis

To download a Certificate of Analysis, please enter a lot number in the search box below.

Note: Certificate of Analysis not available for kit components.

Product Specific Notices for Human Pax5/BSAP Antibody

For research use only

Loading...
Loading...
Loading...
Loading...