Skip to main content

Key Product Details

Species Reactivity

Validated:

Human, Mouse

Cited:

Human, Mouse, Bovine, Primate - Macaca mulatta (Rhesus Macaque)

Applications

Validated:

Immunohistochemistry

Cited:

Immunohistochemistry, Neutralization, Flow Cytometry

Label

Unconjugated

Antibody Source

Monoclonal Mouse IgG2B Clone # 544232

Product Specifications

Immunogen

E. coli-derived recombinant human Plexin C1
Ile49-Ser161
Accession # O60486

Specificity

Detects human Plexin C1 in direct ELISAs and Western blots. In direct ELISAs and Western blots, no cross-reactivity with recombinant human Plexin A4, B1, B2, B3, D1, recombinant mouse Plexin A1, A2, or A3 is observed.

Clonality

Monoclonal

Host

Mouse

Isotype

IgG2B

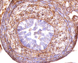
Scientific Data Images for Human/Mouse Plexin C1 Antibody

Plexin C1 antibody in Human Melanoma by Immunohistochemistry (IHC-P).

Plexin C1 in Human Melanoma.

Plexin C1 was detected in immersion fixed paraffin-embedded sections of human melanoma using Mouse Anti-Human Plexin C1 Monoclonal Antibody (Catalog # MAB3887) at 15 µg/mL overnight at 4 °C. Before incubation with the primary antibody, tissue was subjected to heat-induced epitope retrieval using Antigen Retrieval Reagent-Basic (Catalog # CTS013). Tissue was stained using the Anti-Mouse HRP-DAB Cell & Tissue Staining Kit (brown; Catalog # CTS002) and counterstained with hematoxylin (blue). Specific staining was localized to cytoplasm. View our protocol for Chromogenic IHC Staining of Paraffin-embedded Tissue Sections.
Plexin C1 antibody in Mouse Embryo by Immunohistochemistry (IHC-Fr).

Plexin C1 in Mouse Embryo.

Plexin C1 was detected in immersion fixed frozen sections of mouse embryonic gut (12 d.p.c.) using Mouse Anti-Human Plexin C1 Monoclonal Antibody (Catalog # MAB3887) at 25 µg/mL overnight at 4 °C. Tissue was stained using the Anti-Mouse HRP-DAB Cell & Tissue Staining Kit (brown; Catalog # CTS002) and counterstained with hematoxylin (blue). Specific staining was localized to plasma membranes. View our protocol for Chromogenic IHC Staining of Frozen Tissue Sections.

Applications for Human/Mouse Plexin C1 Antibody

Application
Recommended Usage

Immunohistochemistry

8-25 µg/mL
Sample: Immersion fixed paraffin-embedded sections of human melanoma and immersion fixed frozen sections of mouse embryonic gut (12 d.p.c.)

Reviewed Applications

Read 1 review rated 5 using MAB3887 in the following applications:

Formulation, Preparation, and Storage

Purification

Protein A or G purified from hybridoma culture supernatant

Reconstitution

Sterile PBS to a final concentration of 0.5 mg/mL. For liquid material, refer to CoA for concentration.

Reconstitution Buffer Available:
Size / Price
Qty
Loading...

Formulation

Lyophilized from a 0.2 μm filtered solution in PBS with Trehalose. *Small pack size (SP) is supplied either lyophilized or as a 0.2 µm filtered solution in PBS.

Shipping

Lyophilized product is shipped at ambient temperature. Liquid small pack size (-SP) is shipped with polar packs. Upon receipt, store immediately at the temperature recommended below.

Stability & Storage

Use a manual defrost freezer and avoid repeated freeze-thaw cycles.
  • 12 months from date of receipt, -20 to -70 °C as supplied.
  • 1 month, 2 to 8 °C under sterile conditions after reconstitution.
  • 6 months, -20 to -70 °C under sterile conditions after reconstitution.

Background: Plexin C1

Plexin C1 (also VESPR and CD232) is a 210 kDa member of the plexin-C subfamily, plexin family of proteins. It is a type I transmembrane glycoprotein that is found on monocytes, dendritic cells and neutrophils. Plexin C1 binds Sema7A, and its viral counterpart, vaccinia semaphorin A39R. Ligation induces actin cytoskeletal rearrangement and cell immobilization. Mature human Plexin C1 is 1534 amino acids (aa) in length. It contains a 910 aa extracellular domain (ECD) and a 603 aa cytoplasmic region. The ECD contains one Sema-domain (aa 49-440), two PSI domains (aa 454-605) and two IPT regions (aa 664-842). Over aa 49-161, human Plexin C1 shares 92% aa identity with mouse Plexin C1.

Alternate Names

CD232, PLXNC1, VESPR

Entrez Gene IDs

10154 (Human); 54712 (Mouse); 362873 (Rat)

Gene Symbol

PLXNC1

UniProt

Additional Plexin C1 Products

Product Documents for Human/Mouse Plexin C1 Antibody

Certificate of Analysis

To download a Certificate of Analysis, please enter a lot number in the search box below.

Note: Certificate of Analysis not available for kit components.

Product Specific Notices for Human/Mouse Plexin C1 Antibody

For research use only

Loading...
Loading...
Loading...
Loading...