Skip to main content

Human KGF/FGF-7 Antibody

R&D Systems, part of Bio-Techne | Catalog # AF-251-NA

Key Product Details

Validated by

Biological Validation

Species Reactivity

Validated:

Human

Cited:

Human, Rat, Porcine

Applications

Validated:

Immunohistochemistry, Western Blot, Neutralization

Cited:

Immunohistochemistry, Immunohistochemistry-Paraffin, Western Blot, Neutralization, Co-Immunoprecipitation

Label

Unconjugated

Antibody Source

Polyclonal Goat IgG

Product Specifications

Immunogen

E. coli-derived recombinant human KGF/FGF‑7
Cys32-Thr194
Accession # Q6FGV5

Specificity

Detects human KGF/FGF‑7 in direct ELISAs and Western blots. In direct ELISAs, approximately 50% cross-reactivity with recombinant mouse FGF-7 is observed, less than 20% cross-reactivity with recombinant human (rh) FGF-9 is observed, and less than 10% cross-reactivity with rhFGF-4 and rhFGF-9 is observed.

Clonality

Polyclonal

Host

Goat

Isotype

IgG

Endotoxin Level

<0.10 EU per 1 μg of the antibody by the LAL method.

Scientific Data Images for Human KGF/FGF-7 Antibody

Cell Proliferation Induced by KGF/FGF‑7 and Neutralization by Human KGF/FGF‑7 Antibody.

Cell Proliferation Induced by KGF/FGF‑7 and Neutralization by Human KGF/FGF‑7 Antibody.

Recombinant Human KGF/FGF-7 (Catalog # 251-KG) stimulates proliferation in the 4MBr-5 rhesus monkey epithelial cell line in a dose-dependent manner (orange line). Proliferation elicited by Recombinant Human KGF/FGF-7 (125 ng/mL) is neutralized (green line) by increasing concentrations of Goat Anti-Human KGF/FGF-7 Antigen Affinity-purified Polyclonal Antibody (Catalog # AF-251-NA). The ND50 is typically 6-12 µg/mL.
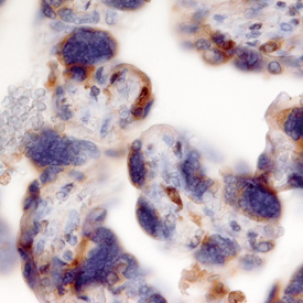
KGF/FGF-7 antibody in Human Placenta by Immunohistochemistry (IHC-P).

KGF/FGF‑7 in Human Placenta.

KGF/FGF-7 was detected in immersion fixed paraffin-embedded sections of human placenta (chorionic villi) using Goat Anti-Human KGF/FGF-7 Antigen Affinity-purified Polyclonal Antibody (Catalog # AF-251-NA) at 10 µg/mL overnight at 4 °C. Before incubation with the primary antibody, tissue was subjected to heat-induced epitope retrieval using Antigen Retrieval Reagent-Basic (Catalog # CTS013). Tissue was stained using the Anti-Goat HRP-DAB Cell & Tissue Staining Kit (brown; Catalog # CTS008) and counterstained with hematoxylin (blue). Specific staining was localized to trophoblast cells in chorionic villi. View our protocol for Chromogenic IHC Staining of Paraffin-embedded Tissue Sections.
Detection of Porcine KGF/FGF-7 by Immunohistochemistry-Paraffin

Detection of Porcine KGF/FGF-7 by Immunohistochemistry-Paraffin

Immunohistochemical detection of KGF-2 in biopsies of DNCB-induced rashes treated with various nanocrystalline silver-derived solutions. (A) Representative images are shown for immunohistochemical detection of KGF-2 after 24 h treatment of negative controls with distilled water (i), and DNCB-induced porcine contact dermatitis rashes with distilled water (positive controls) (ii), or nanocrystalline silver-derived solutions generated at starting pHs of 4 (iii), 5.6 (iv), 7 (v), or 9 (vi). The scale bar in A represents 100 μm. Staining for KGF-2 appears brown, while the cell nuclei are counterstained purple using haematoxylin. Immunohistochemical staining scores for KGF-2 are shown after 24 h (B) and 72 h (C) of treatment as described above. Statistical analyses, which were performed using one-way ANOVAs with Tukey-Kramer Multiple Comparisons post tests, are shown in Table 4. Error bars represent standard deviations. Image collected and cropped by CiteAb from the following open publication (https://pubmed.ncbi.nlm.nih.gov/20170497), licensed under a CC-BY license. Not internally tested by R&D Systems.

Applications for Human KGF/FGF-7 Antibody

Application
Recommended Usage

Immunohistochemistry

5-15 µg/mL
Sample: Immersion fixed paraffin-embedded sections of human placenta

Western Blot

0.1 µg/mL
Sample: Recombinant Human KGF/FGF-7 (Catalog # 251-KG)

Neutralization

Measured by its ability to neutralize KGF/FGF-7-induced proliferation in the 4MBr-5 rhesus monkey epithelial cell line. The Neutralization Dose (ND50) is typically 6-12 µg/mL in the presence of 125 ng/mL Recombinant Human KGF/FGF-7.

Reviewed Applications

Read 2 reviews rated 4 using AF-251-NA in the following applications:

Formulation, Preparation, and Storage

Purification

Antigen Affinity-purified

Reconstitution

Reconstitute at 0.2 mg/mL in sterile PBS. For liquid material, refer to CoA for concentration.

Reconstitution Buffer Available:
Size / Price
Qty
Loading...

Formulation

Lyophilized from a 0.2 μm filtered solution in PBS with Trehalose. *Small pack size (SP) is supplied either lyophilized or as a 0.2 µm filtered solution in PBS.

Shipping

Lyophilized product is shipped at ambient temperature. Liquid small pack size (-SP) is shipped with polar packs. Upon receipt, store immediately at the temperature recommended below.

Stability & Storage

Use a manual defrost freezer and avoid repeated freeze-thaw cycles.
  • 12 months from date of receipt, -20 to -70 °C as supplied.
  • 1 month, 2 to 8 °C under sterile conditions after reconstitution.
  • 6 months, -20 to -70 °C under sterile conditions after reconstitution.

Background: KGF/FGF-7

KGF (keratinocyte growth factor), also known as FGF-7 (fibroblast growth factor-7), is one of 22 known members of the mouse FGF family of secreted proteins that plays a key role in development, morphogenesis, angiogenesis, wound healing, and tumorigenesis (1‑4). KGF expression is restricted to cells of mesenchymal origin. When secreted, it acts as a paracrine growth factor for nearby epithelial cells (1). KGF speeds wound healing by being dramatically upregulated in response to damage to skin or internal structures that results in high local concentrations of inflammatory mediators such as IL-1 and TNF-alpha. (2, 5). KGF promotes cell migration and invasion, and mediates melanocyte transfer to keratinocytes upon UVB radiation (6, 7). It has been used ectopically to avoid chemotherapy-induced oral mucositis in patients with hematological malignancies (1). Deletion of KGF affects kidney development, producing abnormally small ureteric buds and fewer nephrons (8). It also impedes hair follicle differentiation (9). The 194 amino acid (aa) KGF precursor contains a 31 aa signal sequence and, like all other FGFs, an ~120 aa beta-trefoil scaffold that includes receptor- and heparin-binding sites. KGF signals only through the IIIb splice form of the tyrosine kinase receptor, FGF R2 (FGF R2-IIIb/KGF R) (10). Receptor dimerization requires an octameric or larger heparin or heparin sulfate proteoglycan (11). FGF-10, also called KGF2, shares 51% aa identity and similar function to KGF, but shows more limited expression than KGF and uses an additional receptor, FGF R2-IIIc (12). Following receptor engagement, KGF is typically degraded, while FGF-10 is recycled (12). Mature human KGF, which is active across species, shares 98% aa sequence identity with bovine, equine, ovine and canine, 96% with mouse and porcine, and 92% with rat KGF, respectively.

References

  1. Finch, P.W. and J.S. Rubin (2006) J. Natl. Cancer Inst. 98:812.
  2. Werner, S. et al. (2007) J. Invest. Dermatol. 127:998.
  3. Werner, S. (1998) Cytokine Growth Factor Rev. 9:153.
  4. Mason, I.J. et al. (1994) Mech. Dev. 45:15.
  5. Geer, D.J. et al. (2005) Am. J. Pathol. 167:1575.
  6. Niu, J. et al. (2007) J. Biol. Chem. 282:6001.
  7. Cardinali, G. et al. (2005) J. Invest. Dermatol. 125:1190.
  8. Qiao, J. et al. (1999) Development 126:547.
  9. Guo, L. et al. (1996) Genes Dev. 10:165.
  10. de Georgi, V. et al. (2007) Dermatol. Clin. 25:477.
  11. Hsu, Y-R. et al. (1999) Biochemistry 38:2523.
  12. Belleudi, F. et al. (2007) Traffic 8:1854.

Long Name

Keratinocyte Growth Factor

Alternate Names

FGF-7, FGF7, HBGF-7, HBGF7

Entrez Gene IDs

2252 (Human); 403915 (Canine)

Gene Symbol

FGF7

UniProt

Additional KGF/FGF-7 Products

Product Documents for Human KGF/FGF-7 Antibody

Certificate of Analysis

To download a Certificate of Analysis, please enter a lot number in the search box below.

Note: Certificate of Analysis not available for kit components.

Product Specific Notices for Human KGF/FGF-7 Antibody

For research use only

Loading...
Loading...
Loading...
Loading...
Loading...