Human HNF-3 alpha/FoxA1 Antibody
R&D Systems, part of Bio-Techne | Catalog # MAB6778
Discontinued Product
MAB6778 has been discontinued.
View all HNF-3 alpha/FoxA1 products.
Key Product Details
Species Reactivity
Human
Applications
Immunohistochemistry, Western Blot, Immunocytochemistry
Label
Unconjugated
Antibody Source
Monoclonal Mouse IgG1 Clone # 654126
Product Specifications
Immunogen
E. coli-derived recombinant human HNF‑3 alpha/FoxA1
Met253-Ser472
Accession # P55317
Met253-Ser472
Accession # P55317
Specificity
Detects human HNF‑3 alpha/FoxA1 in direct ELISAs and Western blots.
Clonality
Monoclonal
Host
Mouse
Isotype
IgG1
Scientific Data Images for Human HNF-3 alpha/FoxA1 Antibody
Detection of Human HNF‑3 alpha/FoxA1 by Western Blot.
Western blot shows lysates of LNCaP human prostate cancer cell line. Gels were loaded with 30 µg of cytoplasmic (Cyto) and 30 µg of nuclear extracts (Nuc). PVDF Membrane was probed with 1 µg/mL of Mouse Anti-Human HNF-3a/FoxA1 Monoclonal Antibody (Catalog # MAB6778) followed by HRP-conjugated Anti-Mouse IgG Secondary Antibody (Catalog # HAF007). A specific band was detected for HNF-3a/FoxA1 at approximately 60 kDa (as indicated). This experiment was conducted under reducing conditions and using Immunoblot Buffer Group 1.HNF‑3 alpha/FoxA1 in MCF‑7 Human Cell Line.
HNF-3a/FoxA1 was detected in immersion fixed MCF-7 human breast cancer cell line using Mouse Anti-Human HNF-3a/FoxA1 Monoclonal Antibody (Catalog # MAB6778) at 10 µg/mL for 3 hours at room temperature. Cells were stained using the NorthernLights™ 557-conjugated Anti-Mouse IgG Secondary Antibody (red, upper panel; Catalog # NL007) and counterstained with DAPI (blue, lower panel). Specific staining was localized to nuclei. View our protocol for Fluorescent ICC Staining of Cells on Coverslips.HNF‑3 alpha/FoxA1 in Human Breast Cancer Tissue.
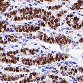
HNF-3a/FoxA1 was detected in immersion fixed paraffin-embedded sections of human breast cancer tissue using Mouse Anti-Human HNF-3a/FoxA1 Monoclonal Antibody (Catalog # MAB6778) at 1.7 µg/mL for 1 hour at room temperature followed by incubation with the Anti-Mouse IgG VisUCyte™ HRP Polymer Antibody (Catalog # VC001). Tissue was stained using DAB (brown) and counterstained with hematoxylin (blue). Specific staining was localized to nuclei in cancer cells. View our protocol for IHC Staining with VisUCyte HRP Polymer Detection Reagents.Applications for Human HNF-3 alpha/FoxA1 Antibody
Application
Recommended Usage
Immunocytochemistry
8-25 µg/mL
Sample: Immersion fixed MCF‑7 human breast cancer cell line
Sample: Immersion fixed MCF‑7 human breast cancer cell line
Immunohistochemistry
1-25 µg/mL
Sample: Immersion fixed paraffin-embedded sections of human breast cancer tissue
Sample: Immersion fixed paraffin-embedded sections of human breast cancer tissue
Western Blot
1 µg/mL
Sample: LNCaP human prostate cancer cell line
Sample: LNCaP human prostate cancer cell line
Reviewed Applications
Read 1 review rated 5 using MAB6778 in the following applications:
Formulation, Preparation, and Storage
Purification
Protein A or G purified from hybridoma culture supernatant
Reconstitution
Sterile PBS to a final concentration of 0.5 mg/mL. For liquid material, refer to CoA for concentration.
Formulation
Lyophilized from a 0.2 μm filtered solution in PBS with Trehalose. *Small pack size (SP) is supplied either lyophilized or as a 0.2 µm filtered solution in PBS.
Shipping
Lyophilized product is shipped at ambient temperature. Liquid small pack size (-SP) is shipped with polar packs. Upon receipt, store immediately at the temperature recommended below.
Stability & Storage
Use a manual defrost freezer and avoid repeated freeze-thaw cycles.
- 12 months from date of receipt, -20 to -70 °C as supplied.
- 1 month, 2 to 8 °C under sterile conditions after reconstitution.
- 6 months, -20 to -70 °C under sterile conditions after reconstitution.
Background: HNF-3 alpha/FoxA1
Long Name
Hepatocyte Nuclear Factor-3 alpha/Forkhead Box Protein A1
Alternate Names
FoxA1, HNF3 alpha, TCF3A
Gene Symbol
FOXA1
UniProt
Additional HNF-3 alpha/FoxA1 Products
Product Documents for Human HNF-3 alpha/FoxA1 Antibody
Product Specific Notices for Human HNF-3 alpha/FoxA1 Antibody
For research use only
Loading...
Loading...
Loading...
Loading...