Skip to main content

Key Product Details

Species Reactivity

Human

Applications

Immunohistochemistry, Immunocytochemistry

Label

Unconjugated

Antibody Source

Monoclonal Mouse IgG2B Clone # 197814

Product Specifications

Immunogen

Mouse myeloma cell line NS0-derived recombinant human Cystatin C
Ser27-Ala146
Accession # P01034

Specificity

Detects human Cystatin C in direct ELISA. In direct ELISA, no cross-reactivity with recombinant human (rh) Cystatins A, B, D, E/M, S, SA, SN, rhFetuins A, B, or rhHPRG (Histidine-Proline-Rich Glycoprotein) is observed.

Clonality

Monoclonal

Host

Mouse

Isotype

IgG2B

Scientific Data Images for Human Cystatin C Antibody

Cystatin C in HepG2 Human Hepatocellular Carcinoma Cell Line.

Cystatin C was detected in immersion fixed HepG2 Human Hepatocellular Carcinoma Cell Line using Mouse Anti-Human Cystatin C Monoclonal Antibody (Catalog # MAB11963) at 8 µg/mL for 3 hours at room temperature. Cells were stained using the NorthernLights™ 557-conjugated Anti-Mouse IgG Secondary Antibody (red; Catalog # NL007) and counterstained with DAPI (blue). Specific staining was localized to cytoplasm. View our protocol for Fluorescent ICC Staining of Cells on Coverslips.

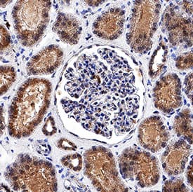
Detection of Cystatin C in Human Kidney.

Cystatin C was detected in immersion fixed paraffin-embedded sections of Human Kidney using Mouse Anti-Human Cystatin C Monoclonal Antibody (Catalog # MAB11963) at 5 µg/mL for 1 hour at room temperature followed by incubation with the Anti-Mouse IgG VisUCyte™ HRP Polymer Antibody (Catalog # VC001). Before incubation with the primary antibody, tissue was subjected to heat-induced epitope retrieval using VisUCyte Antigen Retrieval Reagent-Basic (Catalog # VCTS021). Tissue was stained using DAB (brown) and counterstained with hematoxylin (blue). Specific staining was localized to convoluted tubules. View our protocol for IHC Staining with VisUCyte HRP Polymer Detection Reagents.

Applications for Human Cystatin C Antibody

Application
Recommended Usage

Immunocytochemistry

8-25 µg/mL
Sample: Immersion fixed HepG2 Human Hepatocellular Carcinoma Cell Line.

Immunohistochemistry

5-25 µg/mL
Sample: Immersion fixed paraffin-embedded sections of Human Kidney

Formulation, Preparation, and Storage

Purification

Protein A or G purified from hybridoma culture supernatant

Reconstitution

Reconstitute at 0.5 mg/mL in sterile PBS. For liquid material, refer to CoA for concentration.

Reconstitution Buffer Available:
Size / Price
Qty
Loading...

Formulation

Lyophilized from a 0.2 μm filtered solution in PBS with Trehalose. *Small pack size (SP) is supplied either lyophilized or as a 0.2 µm filtered solution in PBS.

Shipping

Lyophilized product is shipped at ambient temperature. Liquid small pack size (-SP) is shipped with polar packs. Upon receipt, store immediately at the temperature recommended below.

Stability & Storage

Use a manual defrost freezer and avoid repeated freeze-thaw cycles.
  • 12 months from date of receipt, -20 to -70 °C as supplied.
  • 1 month, 2 to 8 °C under sterile conditions after reconstitution.
  • 6 months, -20 to -70 °C under sterile conditions after reconstitution.

Background: Cystatin C

Cystatin C is a member of family 2 of the Cystatin superfamily (1). It is involved in processes such as tumor invasion and metastasis, inflammation and some neurological diseases. It inhibits many cysteine proteases such as papain and cathepsins B, H, K, L and S (2, 3). It is ubiquitous in human tissues and body fluids. A point mutation in the gene coding for the 120 amino acid mature Cystatin C causes a hereditary form of amyloid angiopathy in which the protein variant (Leu68 to Gln) is deposited in the cerebral arteries, leading to fatal cerebral hemorrhage (4). Cystatin C may have additional clinical applications. For example, it is a good marker for glomerular filtration rate (5).

References

  1. Reed, C.H. (2000) British J. Biomed. Sci. 57:323.
  2. Janowski, R. et al. (2001) Nat. Struct. Biol. 8:316.
  3. Abrahamson, M. (1994) Methods Enzymol. 244:685.
  4. Abrahamson, M. et al. (1992) Hum. Genet. 89:377.
  5. Laterza, O.F. et al. (2002) Clin. Chem. 48:699.

Alternate Names

ARMD11, CST3, Gamma-trace, Neuroendocrine basic polypeptide, Post-gamma-globulin

Entrez Gene IDs

1471 (Human); 13010 (Mouse); 25307 (Rat)

Gene Symbol

CST3

UniProt

Additional Cystatin C Products

Product Documents for Human Cystatin C Antibody

Certificate of Analysis

To download a Certificate of Analysis, please enter a lot number in the search box below.

Note: Certificate of Analysis not available for kit components.

Product Specific Notices for Human Cystatin C Antibody

For research use only

Loading...
Loading...
Loading...
Loading...