Human CD3 epsilon Antibody
R&D Systems, part of Bio-Techne | Catalog # MAB10670

Conjugate
Catalog #
Key Product Details
Species Reactivity
Human
Applications
Multiplex Immunofluorescence, Immunohistochemistry, Western Blot, Simple Western
Label
Unconjugated
Antibody Source
Monoclonal Mouse IgG2B Clone # 1033713
Product Specifications
Immunogen
Human embryonic kidney cell HEK293-derived human CD3 epsilon
Gln22-Asp126
Accession # P07766
Gln22-Asp126
Accession # P07766
Specificity
Detects human CD3 epsilon in direct ELISAs.
Clonality
Monoclonal
Host
Mouse
Isotype
IgG2B
Scientific Data Images for Human CD3 epsilon Antibody
Detection of CD3ɛ in Human T-Cell Lymphoma via seqIF™ Staining on COMET™
CD3ɛ was detected in immersion fixed paraffin-embedded sections of human T-Cell Lymphoma using Mouse Anti-Human CD3ɛ Monoclonal Antibody (Catalog # MAB10670) at 18ug/mL at 37 ° Celsius for 2 minutes. Before incubation with the primary antibody, tissue underwent an all-in-one dewaxing and antigen retrieval preprocessing using PreTreatment Module (PT Module) and Dewax and HIER Buffer H (pH 9; Epredia Catalog # TA-999-DHBH). Tissue was stained using the Alexa Fluor™ 647 Goat anti-Mouse IgG Secondary Antibody at 1:200 at 37 ° Celsius for 2 minutes. (Yellow; Lunaphore Catalog # DR647MS) and counterstained with DAPI (blue; Lunaphore Catalog # DR100). Specific staining was localized to the membrane of T-cells. Protocol available in COMET™ Panel Builder.Detection of Human CD3 epsilon by Western Blot.
Western blot shows lysates of MOLT-4 human acute lymphoblastic leukemia cell line and Jurkat human acute T cell leukemia cell line. PVDF membrane was probed with 2 µg/mL of Mouse Anti-Human CD3 epsilon Monoclonal Antibody (Catalog # MAB10670) followed by HRP-conjugated Anti-Mouse IgG Secondary Antibody (HAF018). A specific band was detected for CD3 epsilon at approximately 23 kDa (as indicated). This experiment was conducted under reducing conditions and using Western Blot Buffer Group 1.CD3 epsilon in Human Thymus.
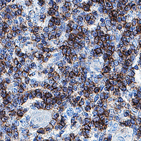
CD3 epsilon was detected in immersion fixed paraffin-embedded sections of human thymus using Mouse Anti-Human CD3 epsilon Monoclonal Antibody (Catalog # MAB10670) at 5 µg/mL for 1 hour at room temperature followed by incubation with the Anti-Mouse IgG VisUCyte™ HRP Polymer Antibody (VC001). Before incubation with the primary antibody, tissue was subjected to heat-induced epitope retrieval using Antigen Retrieval Reagent-Basic (CTS013). Tissue was stained using DAB (brown) and counterstained with hematoxylin (blue). Specific staining was localized to cell surface in lymphocytes. Staining was performed using our protocol for IHC Staining with VisUCyte HRP Polymer Detection Reagents.Applications for Human CD3 epsilon Antibody
Application
Recommended Usage
Immunohistochemistry
5-25 µg/mL
Sample: Immersion fixed paraffinembedded sections of human thymus
Sample: Immersion fixed paraffinembedded sections of human thymus
Multiplex Immunofluorescence
18 µg/mL
Sample: Immersion fixed paraffin-embedded sections of human T-cell Lymphoma
Sample: Immersion fixed paraffin-embedded sections of human T-cell Lymphoma
Simple Western
25 µg/mL
Sample: Jurkat human acute T cell leukemia cell line and MOLT‑4 human acute lymphoblastic leukemia cell line
Sample: Jurkat human acute T cell leukemia cell line and MOLT‑4 human acute lymphoblastic leukemia cell line
Western Blot
2 µg/mL
Sample: MOLT‑4 human acute lymphoblastic leukemia cell line and Jurkat human acute T cell leukemia cell line
Sample: MOLT‑4 human acute lymphoblastic leukemia cell line and Jurkat human acute T cell leukemia cell line
Formulation, Preparation, and Storage
Purification
Protein A or G purified from hybridoma culture supernatant
Reconstitution
Reconstitute at 0.5 mg/mL in sterile PBS. For liquid material, refer to CoA for concentration.
Formulation
Lyophilized from a 0.2 μm filtered solution in PBS with Trehalose. See Certificate of Analysis for details.
*Small pack size (-SP) is supplied either lyophilized or as a 0.2 µm filtered solution in PBS.
*Small pack size (-SP) is supplied either lyophilized or as a 0.2 µm filtered solution in PBS.
Shipping
Lyophilized product is shipped at ambient temperature. Liquid small pack size (-SP) is shipped with polar packs. Upon receipt, store immediately at the temperature recommended below.
Stability & Storage
Use a manual defrost freezer and avoid repeated freeze-thaw cycles.
- 12 months from date of receipt, -20 to -70 °C as supplied.
- 1 month, 2 to 8 °C under sterile conditions after reconstitution.
- 6 months, -20 to -70 °C under sterile conditions after reconstitution.
Background: CD3 epsilon
References
- Gold, D.P. et al. (1986) Nature 321:431.
- Barber, E.K. et al. (1989) Proc. Nat. Acad. Sci. U.S.A. 86:3277.
- Manolios, N. et al. (1991) EMBO J 10:1643.
- Dietrich, J. et al. (1999) Eur J Immunol 29:1719.
- Pan, Q. et al. (2006) Mol Immunol 43:1741.
- Soudais, C. et al. (1993) Nat. Genet. 3:77.
Alternate Names
CD3e
Gene Symbol
CD3E
UniProt
Additional CD3 epsilon Products
Product Documents for Human CD3 epsilon Antibody
Product Specific Notices for Human CD3 epsilon Antibody
For research use only
Loading...
Loading...
Loading...
Loading...