Skip to main content

HSPC323 Antibody - BSA Free

Novus Biologicals, part of Bio-Techne | Catalog # NBP1-93687

Novus Biologicals, part of Bio-Techne
Catalog #
Availability
Size / Price
Qty
Loading...
NBP1-93687
NBP1-93687-25ul

Key Product Details

Validated by

Orthogonal Validation, Independent Antibodies

Species Reactivity

Human

Applications

Immunohistochemistry, Immunohistochemistry-Paraffin

Label

Unconjugated

Antibody Source

Polyclonal Rabbit IgG

Format

BSA Free

Concentration

Concentrations vary lot to lot. See vial label for concentration. If unlisted please contact technical services.

Product Specifications

Immunogen

This antibody was developed against Recombinant Protein corresponding to amino acids: NRLWCSKARAEDEEETTFRMESNLYQDQSEDKREKKEAKEKEEKRKKE

Clonality

Polyclonal

Host

Rabbit

Isotype

IgG

Description

Novus Biologicals Rabbit HSPC323 Antibody - BSA Free (NBP1-93687) is a polyclonal antibody validated for use in IHC. All Novus Biologicals antibodies are covered by our 100% guarantee.

Scientific Data Images for HSPC323 Antibody - BSA Free

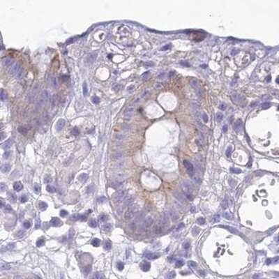
Immunohistochemistry-Paraffin: HSPC323 Antibody [NBP1-93687]

Immunohistochemistry-Paraffin: HSPC323 Antibody [NBP1-93687]

Immunohistochemistry-Paraffin: HSPC323 Antibody [NBP1-93687] - Staining of human colon, epididymis, kidney and testis using Anti-SMIM24 antibody NBP1-93687 (A) shows similar protein distribution across tissues to independent antibody NBP2-58735 (B).
Immunohistochemistry-Paraffin: HSPC323 Antibody [NBP1-93687]

Immunohistochemistry-Paraffin: HSPC323 Antibody [NBP1-93687]

Immunohistochemistry-Paraffin: HSPC323 Antibody [NBP1-93687] - Staining of human kidney.
Immunohistochemistry-Paraffin: HSPC323 Antibody [NBP1-93687]

Immunohistochemistry-Paraffin: HSPC323 Antibody [NBP1-93687]

Immunohistochemistry-Paraffin: HSPC323 Antibody [NBP1-93687] - Staining of human endometrium shows low expression as expected.

Applications for HSPC323 Antibody - BSA Free

Application
Recommended Usage

Immunohistochemistry

1:50 - 1:200

Immunohistochemistry-Paraffin

1:50 - 1:200
Application Notes
For IHC-Paraffin, HIER pH 6 retrieval is recommended.

Formulation, Preparation, and Storage

Purification

Affinity purified

Formulation

PBS (pH 7.2) and 40% Glycerol

Format

BSA Free

Preservative

0.02% Sodium Azide

Concentration

Concentrations vary lot to lot. See vial label for concentration. If unlisted please contact technical services.

Shipping

The product is shipped with polar packs. Upon receipt, store it immediately at the temperature recommended below.

Stability & Storage

Store at 4C short term. Aliquot and store at -20C long term. Avoid freeze-thaw cycles.

Background: HSPC323

Alternate Names

C19orf77, chromosome 19 open reading frame 77, HSPC323, transmembrane protein C19orf77, transmembrane protein HSPC323

Gene Symbol

C19orf77

Additional HSPC323 Products

Product Documents for HSPC323 Antibody - BSA Free

Certificate of Analysis

To download a Certificate of Analysis, please enter a lot number in the search box below.

Product Specific Notices for HSPC323 Antibody - BSA Free

This product is for research use only and is not approved for use in humans or in clinical diagnosis. Primary Antibodies are guaranteed for 1 year from date of receipt.

Loading...
Loading...
Loading...
Loading...