HspA1L Antibody (7H6) - Azide and BSA Free
Novus Biologicals, part of Bio-Techne | Catalog # H00003305-M02
Key Product Details
Species Reactivity
Human, Rat
Applications
Immunohistochemistry, Immunohistochemistry-Paraffin, Western Blot, ELISA, Sandwich ELISA, Proximity Ligation Assay
Label
Unconjugated
Antibody Source
Monoclonal Mouse IgG1 kappa Clone # 7H6
Format
Azide and BSA Free
Concentration
Concentrations vary lot to lot. See vial label for concentration. If unlisted please contact technical services.
Product Specifications
Immunogen
HSPA1L (NP_005518, 561 a.a. ~ 641 a.a) partial recombinant protein with GST tag. MW of the GST tag alone is 26 KDa. KGKISESDKNKILDKCNELLSWLEVNQLAEKDEFDHKRKELEQMCNPIITKLYQGGCTGPACGTGYVPGRPATGPTIEEVD
Specificity
HSPA1L - heat shock 70kDa protein 1-like
Clonality
Monoclonal
Host
Mouse
Isotype
IgG1 kappa
Description
Quality control test: Antibody Reactive Against Recombinant Protein.
Scientific Data Images for HspA1L Antibody (7H6) - Azide and BSA Free
Western Blot: HspA1L Antibody (7H6) [H00003305-M02]
Western Blot: HspA1L Antibody (7H6) [H00003305-M02] - HSPA1L monoclonal antibody (M02), clone 7H6. Analysis of HSPA1L expression in PC-12.Immunohistochemistry-Paraffin: HspA1L Antibody (7H6) [H00003305-M02]
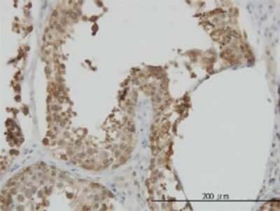
Immunohistochemistry-Paraffin: HspA1L Antibody (7H6) [H00003305-M02] - Analysis of monoclonal antibody to HSPA1L on formalin-fixed paraffin-embedded human testis. Antibody concentration 3 ug/ml.Western Blot: HspA1L Antibody (7H6) [H00003305-M02]
Western Blot: HspA1L Antibody (7H6) [H00003305-M02] - HSPA1L monoclonal antibody (M02), clone 7H6 Analysis of HSPA1L expression in HeLa.Applications for HspA1L Antibody (7H6) - Azide and BSA Free
Application
Recommended Usage
Immunohistochemistry
1:10-1:500
Immunohistochemistry-Paraffin
1:10-1:500
Sandwich ELISA
1:100-1:2000
Western Blot
1:500
Application Notes
Antibody reactivity against cell lysate and recombinant protein for WB. It has also been used for IHC-P and ELISA.
Formulation, Preparation, and Storage
Purification
IgG purified
Formulation
In 1x PBS, pH 7.4
Format
Azide and BSA Free
Preservative
No Preservative
Concentration
Concentrations vary lot to lot. See vial label for concentration. If unlisted please contact technical services.
Shipping
The product is shipped with polar packs. Upon receipt, store it immediately at the temperature recommended below.
Stability & Storage
Aliquot and store at -20C or -80C. Avoid freeze-thaw cycles.
Background: HspA1L
Alternate Names
heat shock 10kDa protein 1-like, Heat shock 70 kDa protein 1-Hom, Heat shock 70 kDa protein 1L, heat shock 70 kDa protein 1-like, heat shock 70kD protein-like 1, heat shock 70kDa protein 1-like, HSP70-1L, HSP70-Hom, HSP70T, hum70t
Entrez Gene IDs
3305 (Human)
Gene Symbol
HSPA1L
OMIM
140559 (Human)
UniProt
Additional HspA1L Products
Product Documents for HspA1L Antibody (7H6) - Azide and BSA Free
Product Specific Notices for HspA1L Antibody (7H6) - Azide and BSA Free
This product is produced by and distributed for Abnova, a company based in Taiwan.
This product is for research use only and is not approved for use in humans or in clinical diagnosis. Primary Antibodies are guaranteed for 1 year from date of receipt.
Loading...
Loading...
Loading...
Loading...