Skip to main content

HSD17B4 Antibody - BSA Free

Novus Biologicals, part of Bio-Techne | Catalog # NBP1-85296

Novus Biologicals, part of Bio-Techne
Catalog #
Availability
Size / Price
Qty
Loading...
NBP1-85296
NBP1-85296-25ul

Key Product Details

Validated by

Independent Antibodies

Species Reactivity

Validated:

Human

Cited:

Human, Mouse

Predicted:

Mouse (95%), Rat (96%). Backed by our 100% Guarantee.

Applications

Validated:

Immunohistochemistry, Immunohistochemistry-Paraffin, Immunocytochemistry/ Immunofluorescence

Cited:

Western Blot

Label

Unconjugated

Antibody Source

Polyclonal Rabbit IgG

Format

BSA Free

Concentration

Concentrations vary lot to lot. See vial label for concentration. If unlisted please contact technical services.

Product Specifications

Immunogen

This antibody was developed against Recombinant Protein corresponding to amino acids: ESCEENGGLFEVGAGWIGKLRWERTLGAIVRQKNHPMTPEAVKANWKKICDFENASKPQSIQESTGSIIEVLSK

Clonality

Polyclonal

Host

Rabbit

Isotype

IgG

Description

Novus Biologicals Rabbit HSD17B4 Antibody - BSA Free (NBP1-85296) is a polyclonal antibody validated for use in IHC, WB and ICC/IF. Anti-HSD17B4 Antibody: Cited in 3 publications. All Novus Biologicals antibodies are covered by our 100% guarantee.

Scientific Data Images for HSD17B4 Antibody - BSA Free

Immunohistochemistry-Paraffin: HSD17B4 Antibody [NBP1-85296]

Immunohistochemistry-Paraffin: HSD17B4 Antibody [NBP1-85296]

Immunohistochemistry-Paraffin: HSD17B4 Antibody [NBP1-85296] - Staining of human liver, lung, lymph node and testis using Anti-HSD17B4 antibody NBP1-85296 (A) shows similar protein distribution across tissues to independent antibody NBP1-85297 (B).
Immunocytochemistry/ Immunofluorescence: HSD17B4 Antibody [NBP1-85296]

Immunocytochemistry/ Immunofluorescence: HSD17B4 Antibody [NBP1-85296]

Immunocytochemistry/Immunofluorescence: HSD17B4 Antibody [NBP1-85296] - Staining of human cell line A-431 shows localization to peroxisomes. Antibody staining is shown in green.
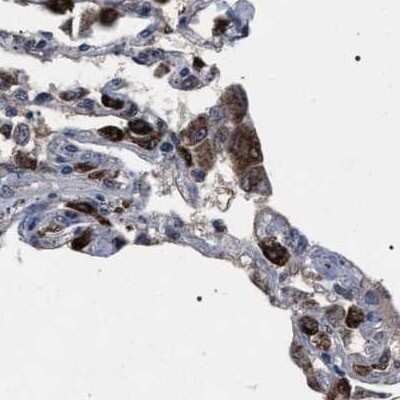
Immunohistochemistry-Paraffin: HSD17B4 Antibody [NBP1-85296]

Immunohistochemistry-Paraffin: HSD17B4 Antibody [NBP1-85296]

Immunohistochemistry-Paraffin: HSD17B4 Antibody [NBP1-85296] - Staining of human lung.

Applications for HSD17B4 Antibody - BSA Free

Application
Recommended Usage

Immunocytochemistry/ Immunofluorescence

0.25-2 ug/ml

Immunohistochemistry

1:50 - 1:200

Immunohistochemistry-Paraffin

1:50-1:200
Application Notes
For IHC-Paraffin, HIER pH 6 retrieval is recommended. ICC/IF Fixation Permeabilization: Use PFA/Triton X-100.

Reviewed Applications

Read 1 review rated 4 using NBP1-85296 in the following applications:

Formulation, Preparation, and Storage

Purification

Affinity purified

Formulation

PBS (pH 7.2) and 40% Glycerol

Format

BSA Free

Preservative

0.02% Sodium Azide

Concentration

Concentrations vary lot to lot. See vial label for concentration. If unlisted please contact technical services.

Shipping

The product is shipped with polar packs. Upon receipt, store it immediately at the temperature recommended below.

Stability & Storage

Store at 4C short term. Aliquot and store at -20C long term. Avoid freeze-thaw cycles.

Background: HSD17B4

The protein encoded by the HSD17B4 gene is a bifunctional enzyme that is involved in the peroxisomal beta-oxidation pathwayfor fatty acids. It also acts as a catalyst for the formation of 3-ketoacyl-CoA intermediates from both straight-chainand 2-methyl-branched-chain fatty acids. Defects in this gene that affect the peroxisomal fatty acid beta-oxidationactivity are a cause of D-bifunctional protein deficiency (DBPD). An apparent pseudogene of this gene is present onchromosome 8. (provided by RefSeq)

Alternate Names

12-alpha-trihydroxy-5-beta-cholest-24-enoyl-CoA hydratase, 7-alpha, D-bifunctional protein, EDH17B4, hydroxysteroid (17-beta) dehydrogenase 4, MPF-2, peroxisomal, peroxisomal multifunctional enzyme type 2,17-beta-HSD IV, peroxisomal multifunctional protein 2,17beta-estradiol dehydrogenase type IV, short chain dehydrogenase/reductase family 8C, member 1,3-alpha

Gene Symbol

HSD17B4

Additional HSD17B4 Products

Product Documents for HSD17B4 Antibody - BSA Free

Certificate of Analysis

To download a Certificate of Analysis, please enter a lot number in the search box below.

Product Specific Notices for HSD17B4 Antibody - BSA Free

This product is for research use only and is not approved for use in humans or in clinical diagnosis. Primary Antibodies are guaranteed for 1 year from date of receipt.

Loading...
Loading...
Loading...
Loading...