HSD17B4 Antibody (OTI4C4) - Azide and BSA Free
Novus Biologicals, part of Bio-Techne | Catalog # NBP2-70947
Conjugate
Catalog #
Key Product Details
Species Reactivity
Human, Mouse, Rat
Applications
Immunohistochemistry, Immunohistochemistry-Paraffin, Western Blot, Immunocytochemistry/ Immunofluorescence
Label
Unconjugated
Antibody Source
Monoclonal Mouse IgG1 Clone # OTI4C4
Format
Azide and BSA Free
Concentration
LYOPH mg/ml
Product Specifications
Immunogen
Full length human recombinant protein of human HSD17B4(NP_000405) produced in HEK293T cell.
Reactivity Notes
Please note that this antibody is reactive to Mouse and derived from the same host, Mouse. Mouse-On-Mouse blocking reagent may be needed for IHC and ICC experiments to reduce high background signal. You can find these reagents under catalog numbers PK-2200-NB and MP-2400-NB. Please contact Technical Support if you have any questions.
Clonality
Monoclonal
Host
Mouse
Isotype
IgG1
Description
Novus Biologicals Mouse HSD17B4 Antibody (OTI4C4) - Azide and BSA Free (NBP2-46005) is a monoclonal antibody validated for use in IHC, WB and ICC/IF. All Novus Biologicals antibodies are covered by our 100% guarantee.
Scientific Data Images for HSD17B4 Antibody (OTI4C4) - Azide and BSA Free
Western Blot: HSD17B4 Antibody (OTI4C4)Azide and BSA Free [NBP2-70947]
Western Blot: HSD17B4 Antibody (OTI4C4) - Azide and BSA Free [NBP2-70947] - Analysis of HEK293T cells were transfected with the pCMV6-ENTRY control (Left lane) or pCMV6-ENTRY HSD17B4.Immunocytochemistry/ Immunofluorescence: HSD17B4 Antibody (OTI4C4) - Azide and BSA Free [NBP2-70947]
Immunocytochemistry/Immunofluorescence: HSD17B4 Antibody (OTI4C4) - Azide and BSA Free [NBP2-70947] - Analysis of COS7 cells transiently transfected by pCMV6-ENTRY HSD17B4.Immunohistochemistry: HSD17B4 Antibody (OTI4C4) - Azide and BSA Free [NBP2-70947]
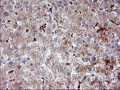
Immunohistochemistry: HSD17B4 Antibody (OTI4C4) - Azide and BSA Free [NBP2-70947] - Analysis of Human prostate tissue.Applications for HSD17B4 Antibody (OTI4C4) - Azide and BSA Free
Application
Recommended Usage
Immunocytochemistry/ Immunofluorescence
1:100
Immunohistochemistry
1:150
Western Blot
1:4000
Formulation, Preparation, and Storage
Purification
Immunogen affinity purified
Reconstitution
we recommend adding 100uL distilled water to a final antibody concentration of about 1 mg/mL. To use this carrier-free antibody for conjugation experiment, we strongly recommend performing another round of desalting process.
Formulation
Lyophilized from PBS (pH 7.3) with 8% Trehalose
Format
Azide and BSA Free
Preservative
No Preservative
Concentration
LYOPH mg/ml
Shipping
The product is shipped with polar packs. Upon receipt, store it immediately at the temperature recommended below.
Stability & Storage
Store at -20C. Avoid freeze-thaw cycles.
Background: HSD17B4
Alternate Names
12-alpha-trihydroxy-5-beta-cholest-24-enoyl-CoA hydratase, 7-alpha, D-bifunctional protein, EDH17B4, hydroxysteroid (17-beta) dehydrogenase 4, MPF-2, peroxisomal, peroxisomal multifunctional enzyme type 2,17-beta-HSD IV, peroxisomal multifunctional protein 2,17beta-estradiol dehydrogenase type IV, short chain dehydrogenase/reductase family 8C, member 1,3-alpha
Gene Symbol
HSD17B4
Additional HSD17B4 Products
Product Documents for HSD17B4 Antibody (OTI4C4) - Azide and BSA Free
Product Specific Notices for HSD17B4 Antibody (OTI4C4) - Azide and BSA Free
This product is for research use only and is not approved for use in humans or in clinical diagnosis. Primary Antibodies are guaranteed for 1 year from date of receipt.
Loading...
Loading...
Loading...
Loading...
Loading...