Skip to main content

HPSC152 Antibody - BSA Free

Novus Biologicals, part of Bio-Techne | Catalog # NBP1-92008

Novus Biologicals, part of Bio-Techne
Catalog #
Availability
Size / Price
Qty
Loading...
NBP1-92008
NBP1-92008-25ul

Key Product Details

Validated by

Independent Antibodies

Species Reactivity

Human

Applications

Immunohistochemistry, Immunohistochemistry-Paraffin, Western Blot

Label

Unconjugated

Antibody Source

Polyclonal Rabbit IgG

Format

BSA Free

Concentration

Concentrations vary lot to lot. See vial label for concentration. If unlisted please contact technical services.

Product Specifications

Immunogen

This antibody was developed against Recombinant Protein corresponding to amino acids: MKLLTHNLLSSHVRGVGSRGFPLRLQATEVRICPVEFNPNFVARMIPKVEWSAFLEAADNLRL

Reactivity Notes

Immunogen displays the following percentage of sequence identity for non-tested species: Mouse (86%), Rat (86%)

Clonality

Polyclonal

Host

Rabbit

Isotype

IgG

Scientific Data Images for HPSC152 Antibody - BSA Free

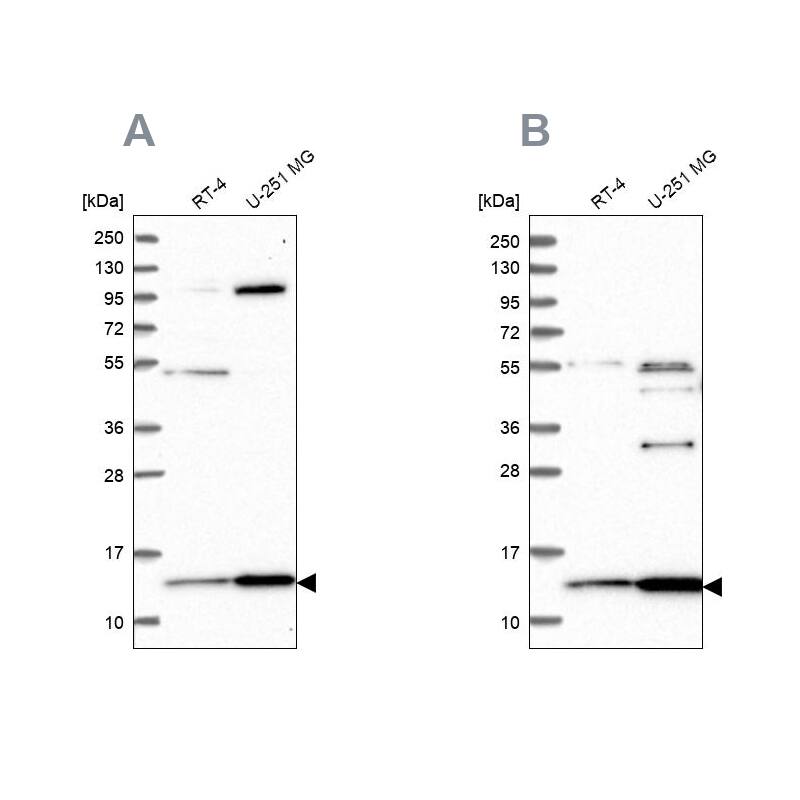
Western Blot: HPSC152 Antibody [NBP1-92008]

Western Blot: HPSC152 Antibody [NBP1-92008]

Western Blot: HPSC152 Antibody [NBP1-92008] - Analysis using Anti-TRMT112 antibody NBP1-92008 (A) shows similar pattern to independent antibody NBP1-92009 (B).
Immunohistochemistry-Paraffin: HPSC152 Antibody [NBP1-92008]

Immunohistochemistry-Paraffin: HPSC152 Antibody [NBP1-92008]

Immunohistochemistry-Paraffin: HPSC152 Antibody [NBP1-92008] - Staining of human adrenal gland shows cytoplasmic positivity in glandular cells.
HPSC152 Antibody - BSA Free Immunohistochemistry: HPSC152 Antibody - BSA Free [NBP1-92008]

Immunohistochemistry: HPSC152 Antibody - BSA Free [NBP1-92008]

Staining of human testis shows moderate nuclear positivity in subset of cells in seminiferous ducts.

Applications for HPSC152 Antibody - BSA Free

Application
Recommended Usage

Immunohistochemistry

1:50 - 1:200

Immunohistochemistry-Paraffin

1:50 - 1:200

Western Blot

0.04-0.4 ug/ml
Application Notes
For IHC-Paraffin, HIER pH 6 retrieval is recommended.

Formulation, Preparation, and Storage

Purification

Affinity purified

Formulation

PBS (pH 7.2) and 40% Glycerol

Format

BSA Free

Preservative

0.02% Sodium Azide

Concentration

Concentrations vary lot to lot. See vial label for concentration. If unlisted please contact technical services.

Shipping

The product is shipped with polar packs. Upon receipt, store it immediately at the temperature recommended below.

Stability & Storage

Store at 4C short term. Aliquot and store at -20C long term. Avoid freeze-thaw cycles.

Background: HPSC152

Alternate Names

HSPC152, HSPC170, TRM112, TRM112-like protein, TRMT11-2, tRNA methyltransferase 112 homolog, tRNA methyltransferase 11-2 homolog (S. cerevisiae)

Gene Symbol

TRMT112

Additional HPSC152 Products

Product Documents for HPSC152 Antibody - BSA Free

Certificate of Analysis

To download a Certificate of Analysis, please enter a lot number in the search box below.

Product Specific Notices for HPSC152 Antibody - BSA Free

This product is for research use only and is not approved for use in humans or in clinical diagnosis. Primary Antibodies are guaranteed for 1 year from date of receipt.

Loading...
Loading...
Loading...
Loading...