Skip to main content

HOXC11 Antibody (OTI3E10)

Novus Biologicals, part of Bio-Techne | Catalog # NBP2-00499

Novus Biologicals, part of Bio-Techne

Key Product Details

Species Reactivity

Validated:

Human, Mouse, Rat

Cited:

Human

Applications

Validated:

Immunohistochemistry, Immunohistochemistry-Paraffin, Western Blot, Flow Cytometry, Immunocytochemistry/ Immunofluorescence

Cited:

Western Blot, Immunocytochemistry/ Immunofluorescence, IF/IHC

Label

Unconjugated

Antibody Source

Monoclonal Mouse IgG1 Clone # OTI3E10

Concentration

0.44 mg/ml

Product Specifications

Immunogen

Human recombinant protein fragment corresponding to amino acids 1-304 of human HOXC11(NP_055027) produced in E.coli.

Reactivity Notes

Please note that this antibody is reactive to Mouse and derived from the same host, Mouse. Mouse-On-Mouse blocking reagent may be needed for IHC and ICC experiments to reduce high background signal. You can find these reagents under catalog numbers PK-2200-NB and MP-2400-NB. Please contact Technical Support if you have any questions.

Clonality

Monoclonal

Host

Mouse

Isotype

IgG1

Theoretical MW

33.6 kDa.
Disclaimer note: The observed molecular weight of the protein may vary from the listed predicted molecular weight due to post translational modifications, post translation cleavages, relative charges, and other experimental factors.

Description

Novus Biologicals Mouse HOXC11 Antibody (OTI3E10) (NBP2-00499) is a monoclonal antibody validated for use in IHC, WB, Flow and ICC/IF. Anti-HOXC11 Antibody: Cited in 2 publications. All Novus Biologicals antibodies are covered by our 100% guarantee.

Scientific Data Images for HOXC11 Antibody (OTI3E10)

Western Blot: HOXC11 Antibody (OTI3E10) [NBP2-00499]

Western Blot: HOXC11 Antibody (OTI3E10) [NBP2-00499]

Western Blot: HOXC11 Antibody (3E10) [NBP2-00499] - Analysis of extracts (10ug) from 9 Human tissue by using anti-HOXC11 monoclonal antibody at 1:200 (1: Testis; 2: Omentum; 3: Uterus; 4: Breast; 5: Brain; 6: Liver; 7: Ovary; 8: Thyroid gland; 9: colon)
Immunocytochemistry/Immunofluorescence: HOXC11 Antibody (3E10) [NBP2-00499] Staining of COS7 cells transiently transfected by pCMV6-ENTRY HOXC11.
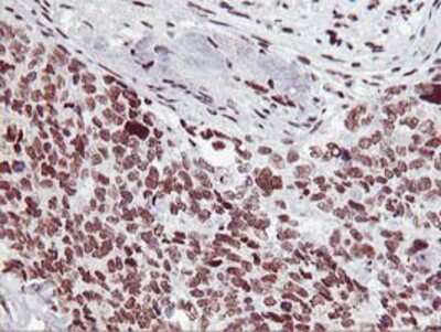
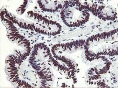
Immunohistochemistry-Paraffin: HOXC11 Antibody (OTI3E10) [NBP2-00499]

Immunohistochemistry-Paraffin: HOXC11 Antibody (OTI3E10) [NBP2-00499]

Immunohistochemistry-Paraffin: HOXC11 Antibody (3E10) [NBP2-00499] - Staining of paraffin-embedded Human tonsil using anti-HOXC11 mouse monoclonal antibody.

Applications for HOXC11 Antibody (OTI3E10)

Application
Recommended Usage

Flow Cytometry

1:100

Immunocytochemistry/ Immunofluorescence

1:100

Immunohistochemistry

1:150

Immunohistochemistry-Paraffin

1:150

Western Blot

1:500-2000

Formulation, Preparation, and Storage

Purification

Immunogen affinity purified

Formulation

PBS (pH 7.3), 1.0% BSA and 50% Glycerol

Preservative

0.02% Sodium Azide

Concentration

0.44 mg/ml

Shipping

The product is shipped with polar packs. Upon receipt, store it immediately at the temperature recommended below.

Stability & Storage

Store at -20C. Avoid freeze-thaw cycles.

Background: HOXC11

This gene belongs to the homeobox family of genes. The homeobox genes encode a highly conserved family of transcription factors that play an important role in morphogenesis in all multicellular organisms. Mammals possess four similar homeobox gene clusters, HOXA, HOXB, HOXC and HOXD, which are located on different chromosomes and consist of 9 to 11 genes arranged in tandem. This gene is one of several homeobox HOXC genes located in a cluster on chromosome 12. The product of this gene binds to a promoter element of the lactase-phlorizin hydrolase. It also may play a role in early intestinal development. An alternatively spliced variant encoding a shorter isoform has been described but its full-length nature has not been determined. [provided by RefSeq]. COMPLETENESS: complete on the 3' end.

Alternate Names

homeo box C11, homeobox C11, Homeobox protein Hox-3H, homeobox protein Hox-C11, HOX3H, MGC4906

Entrez Gene IDs

3227 (Human)

Gene Symbol

HOXC11

Additional HOXC11 Products

Product Documents for HOXC11 Antibody (OTI3E10)

Certificate of Analysis

To download a Certificate of Analysis, please enter a lot number in the search box below.

Product Specific Notices for HOXC11 Antibody (OTI3E10)

This product is for research use only and is not approved for use in humans or in clinical diagnosis. Primary Antibodies are guaranteed for 1 year from date of receipt.

Loading...
Loading...
Loading...
Loading...
Loading...
Loading...