Skip to main content

HOXB4 Antibody (JE36-65)

Novus Biologicals, part of Bio-Techne | Catalog # NBP3-32440

Recombinant Monoclonal Antibody
Novus Biologicals, part of Bio-Techne
Catalog #
Availability
Size / Price
Qty
Loading...
NBP3-32440

Key Product Details

Species Reactivity

Human, Mouse, Rat

Applications

Immunohistochemistry, Immunohistochemistry-Paraffin, Western Blot, Flow Cytometry

Label

Unconjugated

Antibody Source

Recombinant Monoclonal Rabbit IgG Clone # JE36-65 expressed in HEK293

Concentration

1 mg/ml

Product Specifications

Immunogen

Synthetic peptide within Human HOXB4 aa 11-60 / 251. (Uniprot: P17483)

Localization

Nucleus.

Clonality

Monoclonal

Host

Rabbit

Isotype

IgG

Theoretical MW

28 kDa.
Disclaimer note: The observed molecular weight of the protein may vary from the listed predicted molecular weight due to post translational modifications, post translation cleavages, relative charges, and other experimental factors.

Description

Novus Biologicals Rabbit HOXB4 Antibody (JE36-65) (NBP3-32440) is a recombinant monoclonal antibody validated for use in IHC, WB and Flow. All Novus Biologicals antibodies are covered by our 100% guarantee.

Scientific Data Images for HOXB4 Antibody (JE36-65)

HOXB4 Antibody (JE36-65)

Western Blot: HOXB4 Antibody (JE36-65) [NBP3-32440]

Western Blot: HOXB4 Antibody (JE36-65) [NBP3-32440] - Western blot analysis of HOXB4 on different lysates with Rabbit anti-HOXB4 antibody (NBP3-32440) at 1/1,000 dilution.

Lane 1: Jurkat cell lysate
Lane 2: HL-60 cell lysate
Lane 3: PC-12 cell lysate
Lane 4: Mouse liver tissue lysate

Lysates/proteins at 30 ug/Lane.

Predicted band size: 28 kDa
Observed band size: 34 kDa

Exposure time: 5 minutes;

4-20% SDS-PAGE gel.

Proteins were transferred to a PVDF membrane and blocked with 5% NFDM/TBST for 1 hour at room temperature. The primary antibody (NBP3-32440) at 1/1,000 dilution was used in 5% NFDM/TBST at room temperature for 2 hours. Goat Anti-Rabbit IgG - HRP Secondary Antibody at 1/50,000 dilution was used for 1 hour at room temperature.
HOXB4 Antibody (JE36-65)

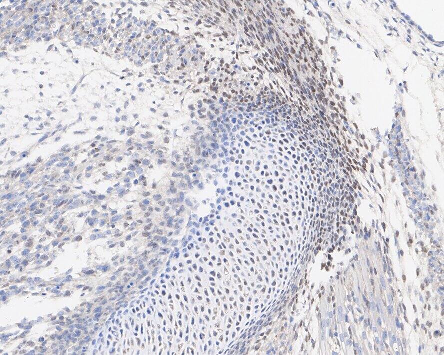
Immunohistochemistry: HOXB4 Antibody (JE36-65) [NBP3-32440]

Immunohistochemistry: HOXB4 Antibody (JE36-65) [NBP3-32440] - Immunohistochemical analysis of paraffin-embedded mouse embryo cartilage tissue with Rabbit anti-HOXB4 antibody (NBP3-32440) at 1/200 dilution.

The section was pre-treated using heat mediated antigen retrieval with sodium citrate buffer (pH 6.0) for 2 minutes. The tissues were blocked in 1% BSA for 20 minutes at room temperature, washed with ddH2O and PBS, and then probed with the primary antibody (NBP3-32440) at 1/200 dilution for 1 hour at room temperature. The detection was performed using an HRP conjugated compact polymer system. DAB was used as the chromogen. Tissues were counterstained with hematoxylin and mounted with DPX.
HOXB4 Antibody (JE36-65)

Flow Cytometry: HOXB4 Antibody (JE36-65) [NBP3-32440]

Flow Cytometry: HOXB4 Antibody (JE36-65) [NBP3-32440] - Flow cytometric analysis of HL-60 cells labeling HOXB4.

Cells were fixed and permeabilized. Then stained with the primary antibody (NBP3-32440, 1μg/mL) (red) compared with Rabbit IgG Isotype Control (green). After incubation of the primary antibody at +4℃ for an hour, the cells were stained with a iFluor™ 488 conjugate-Goat anti-Rabbit IgG Secondary antibody at 1/1,000 dilution for 30 minutes at +4℃. Unlabelled sample was used as a control (cells without incubation with primary antibody; black).

Applications for HOXB4 Antibody (JE36-65)

Application
Recommended Usage

Flow Cytometry

1:1000

Immunohistochemistry-Paraffin

1:200

Western Blot

1:1000

Formulation, Preparation, and Storage

Purification

Protein A purified

Formulation

1*TBS (pH7.4), 0.05% BSA and 40% Glycerol

Preservative

0.05% Sodium Azide

Concentration

1 mg/ml

Shipping

The product is shipped with polar packs. Upon receipt, store it immediately at the temperature recommended below.

Stability & Storage

Store at 4C short term. Aliquot and store at -20C long term. Avoid freeze-thaw cycles.

Background: HOXB4

Homebox transcription factors (Hox) are encoded by highly conserved developmental genes that are involved embryonic and early hematopoietic development. Specifically, Homeobox B4 (HoxB4) is a transcription factor encoded by HOXB4 gene and it is involved in the developmental regulation of specific positional identities on the anterior-posterior axis of cells. Like all members of HOX family, HoXB4 is abundantly expressed in primitive hematopoietic stem cell (HSC), but then decline with lineage-specific terminal differentiation (1). In HSC, stem cell self-renewal activity is regulated by USF1/2 binding to HoxB4, where binding possibly favors stem cell self-renewal instead of cell differentiation. Jun-B and Fra-1 has been linked as key mediators during cell proliferation and differentiation induced by HoxB4, which leads to increase expression of Cyclin D1 and G1 shortening (2).

Long Name

Homeobox B4

Alternate Names

Hox-2.6, HOX2F

Gene Symbol

HOXB4

Additional HOXB4 Products

Product Documents for HOXB4 Antibody (JE36-65)

Certificate of Analysis

To download a Certificate of Analysis, please enter a lot number in the search box below.

Product Specific Notices for HOXB4 Antibody (JE36-65)

This product is for research use only and is not approved for use in humans or in clinical diagnosis. Primary Antibodies are guaranteed for 1 year from date of receipt.

Loading...
Loading...
Loading...
Loading...
Loading...