Skip to main content

HNRNPUL1 Antibody

Novus Biologicals, part of Bio-Techne | Catalog # NB110-40587

Novus Biologicals, part of Bio-Techne
Catalog #
Availability
Size / Price
Qty
Loading...
NB110-40587

Key Product Details

Validated by

Independent Antibodies, Biological Validation

Species Reactivity

Human

Applications

Immunohistochemistry, Immunohistochemistry-Paraffin, Immunoprecipitation, Western Blot

Label

Unconjugated

Antibody Source

Polyclonal Rabbit IgG

Concentration

0.2 mg/ml

Product Specifications

Immunogen

The immunogen recognized by this antibody maps to a region between residue 800 and the C-terminus (residue 856) of human E1B-55kDa-Associated Protein 5 using the numbering given in entry NP_008971.2 (GeneID 11100).

Clonality

Polyclonal

Host

Rabbit

Isotype

IgG

Description

Novus Biologicals Rabbit HNRNPUL1 Antibody (NB110-40587) is a polyclonal antibody validated for use in IHC, WB and IP. All Novus Biologicals antibodies are covered by our 100% guarantee.

Scientific Data Images for HNRNPUL1 Antibody

Western Blot: HNRNPUL1 Antibody [NB110-40587]

Western Blot: HNRNPUL1 Antibody [NB110-40587]

Western Blot: HNRNPUL1 Antibody [NB110-40587] - Detection of Human E1B-AP5 on HeLa whole cell lystate using NB110-40587. E1B-AP5 was also immunoprecipitated by rabbit anti-E1B-AP5 NB110-40586.
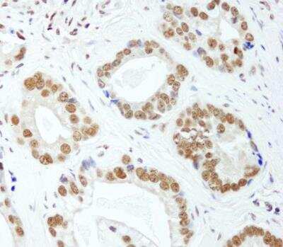
Immunohistochemistry-Paraffin: HNRNPUL1 Antibody [NB110-40587]

Immunohistochemistry-Paraffin: HNRNPUL1 Antibody [NB110-40587]

Immunohistochemistry-Paraffin: HNRNPUL1 Antibody [NB110-40587] - Human prostate carcinoma. Antibody used at a dilution of 1:200.

Applications for HNRNPUL1 Antibody

Application
Recommended Usage

Immunohistochemistry

1:100-1:500

Immunohistochemistry-Paraffin

1:100-1:500

Immunoprecipitation

2-5 ug/mg lysate

Western Blot

1:2000-1:10000
Application Notes
Epitope retrieval with citrate buffer pH 6.0 or TrisEDTA pH 9.0 is recommended for FFPE tissue sections.

Formulation, Preparation, and Storage

Purification

Immunogen affinity purified

Formulation

TBS and 0.1% BSA

Preservative

0.09% Sodium Azide

Concentration

0.2 mg/ml

Shipping

The product is shipped with polar packs. Upon receipt, store it immediately at the temperature recommended below.

Stability & Storage

Store at 4C. Do not freeze.

Background: HNRNPUL1

This gene encodes a nuclear RNA-binding protein of the heterogeneous nuclear ribonucleoprotein (hnRNP) family. This protein binds specifically to adenovirus E1B-55kDa oncoprotein. It may play an important role in nucleocytoplasmic RNA transport, and its function is modulated by E1B-55kDa in adenovirus-infected cells. Two transcript variants encoding different isoforms have been found for this gene. Additional variants have also been found, but their full-length natures have not been determined.

Alternate Names

Adenovirus early region 1B-associated protein 5, E1B-AP5E1B 55kDa associated protein 5, E1BAP5E1B-55 kDa-associated protein 5, FLJ12944, heterogeneous nuclear ribonucleoprotein U-like 1, heterogeneous nuclear ribonucleoprotein U-like protein 1, HNRPUL1E1B-55kDa-associated protein 5

Entrez Gene IDs

11100 (Human)

Gene Symbol

HNRNPUL1

Additional HNRNPUL1 Products

Product Documents for HNRNPUL1 Antibody

Certificate of Analysis

To download a Certificate of Analysis, please enter a lot number in the search box below.

Product Specific Notices for HNRNPUL1 Antibody

This product is for research use only and is not approved for use in humans or in clinical diagnosis. Primary Antibodies are guaranteed for 1 year from date of receipt.

Loading...
Loading...
Loading...
Loading...