Skip to main content

hnRNP AB Antibody

Novus Biologicals, part of Bio-Techne | Catalog # NBP2-16865

Novus Biologicals, part of Bio-Techne
Catalog #
Availability
Size / Price
Qty
Loading...
NBP2-16865

Key Product Details

Validated by

Knockout/Knockdown

Species Reactivity

Validated:

Human, Zebrafish

Predicted:

Bovine (98%), Chicken (92%), Mouse (97%), Porcine (100%), Rat (97%), Rhesus Macaque (100%). Backed by our 100% Guarantee.

Applications

Knockout Validated, Immunohistochemistry, Immunohistochemistry-Paraffin, Immunohistochemistry Whole-Mount, Western Blot, Immunocytochemistry/ Immunofluorescence, Immunoprecipitation, Chromatin Immunoprecipitation (ChIP)

Label

Unconjugated

Antibody Source

Polyclonal Rabbit IgG

Concentration

Concentrations vary lot to lot. See vial label for concentration. If unlisted please contact technical services.

Product Specifications

Immunogen

Recombinant protein encompassing a sequence within the center region of human hnRNP AB. The exact sequence is proprietary.

Localization

Nucleus

Clonality

Polyclonal

Host

Rabbit

Isotype

IgG

Theoretical MW

36 kDa.
Disclaimer note: The observed molecular weight of the protein may vary from the listed predicted molecular weight due to post translational modifications, post translation cleavages, relative charges, and other experimental factors.

Description

Novus Biologicals Knockout (KO) Validated Rabbit hnRNP AB Antibody (NBP2-16865) is a polyclonal antibody validated for use in IHC, WB, ICC/IF, IP and ChIP. All Novus Biologicals antibodies are covered by our 100% guarantee.

Scientific Data Images for hnRNP AB Antibody

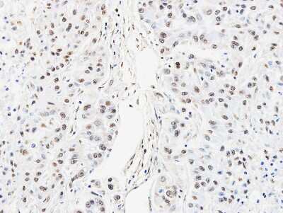
Immunohistochemistry-Paraffin: hnRNP AB Antibody [NBP2-16865]

Immunohistochemistry-Paraffin: hnRNP AB Antibody [NBP2-16865]

Immunohistochemistry-Paraffin: hnRNP AB Antibody [NBP2-16865] - A549 xenograft, using HNRNPAB antibody at 1:100 dilution. Antigen Retrieval: Trilogy™ (EDTA based, pH 8.0) buffer, 15min.
hnRNP AB Antibody

Western Blot: hnRNP AB Antibody [NBP2-16865] -

Western Blot: hnRNP AB Antibody [NBP2-16865] - Sample (30 ug of whole cell lysate)
A: A431
10% SDS PAGE
NBP2-16865 diluted at 1:1000
hnRNP AB Antibody

Western Blot: hnRNP AB Antibody [NBP2-16865] -

Western Blot: hnRNP AB Antibody [NBP2-16865] - Zebrafish tissue extract (30 ug) were separated by 10% SDS-PAGE, and the membrane was blotted with hnRNP AB antibody (NBP2-16865) diluted at 1:1000.

Applications for hnRNP AB Antibody

Application
Recommended Usage

Chromatin Immunoprecipitation (ChIP)

Assay dependent

Immunocytochemistry/ Immunofluorescence

1:100-1:1000

Immunohistochemistry

1:100-1:1000

Immunohistochemistry Whole-Mount

Assay dependent

Immunohistochemistry-Paraffin

1:100-1:1000

Immunoprecipitation

Assay dependent

Western Blot

1:500-1:3000

Formulation, Preparation, and Storage

Purification

Antigen Affinity-purified

Formulation

PBS, 1% BSA, 20% Glycerol

Preservative

0.01% Thimerosal

Concentration

Concentrations vary lot to lot. See vial label for concentration. If unlisted please contact technical services.

Shipping

The product is shipped with polar packs. Upon receipt, store it immediately at the temperature recommended below.

Stability & Storage

Aliquot and store at -20C or -80C. Avoid freeze-thaw cycles.

Background: hnRNP AB

This gene belongs to the subfamily of ubiquitously expressed heterogeneous nuclear ribonucleoproteins (hnRNPs). The hnRNPs are produced by RNA polymerase II and are components of the heterogeneous nuclear RNA (hnRNA) complexes. They are associated with pre-mRNAs in the nucleus and appear to influence pre-mRNA processing and other aspects of mRNA metabolism and transport. While all of the hnRNPs are present in the nucleus, some seem to shuttle between the nucleus and the cytoplasm. The hnRNP proteins have distinct nucleic acid binding properties. The protein encoded by this gene, which binds to one of the components of the multiprotein editosome complex, has two repeats of quasi-RRM (RNA recognition motif) domains that bind to RNAs. Two alternatively spliced transcript variants encoding different isoforms have been described for this gene. [provided by RefSeq]

Alternate Names

catalytic polypeptide 1-binding protein 1, heterogeneous nuclear ribonucleoprotein A/B, hnRNP A/B, hnRNP type A/B protein

Gene Symbol

HNRNPAB

UniProt

Additional hnRNP AB Products

Product Documents for hnRNP AB Antibody

Certificate of Analysis

To download a Certificate of Analysis, please enter a lot number in the search box below.

Product Specific Notices for hnRNP AB Antibody

This product is for research use only and is not approved for use in humans or in clinical diagnosis. Primary Antibodies are guaranteed for 1 year from date of receipt.

Loading...
Loading...
Loading...
Loading...

⚠ WARNING: This product can expose you to chemicals including mercury, which is known to the State of California to cause reproductive toxicity with developmental effects.  For more information go to www.P65Warnings.ca.gov.