Skip to main content

HLX1 Antibody - BSA Free

Novus Biologicals, part of Bio-Techne | Catalog # NBP1-89719

Novus Biologicals, part of Bio-Techne
Catalog #
Availability
Size / Price
Qty
Loading...
NBP1-89719-25ul
NBP1-89719

Key Product Details

Species Reactivity

Validated:

Human

Cited:

Human

Applications

Validated:

Immunohistochemistry, Immunohistochemistry-Paraffin, Western Blot, Immunocytochemistry/ Immunofluorescence

Cited:

Western Blot, Immunocytochemistry/ Immunofluorescence

Label

Unconjugated

Antibody Source

Polyclonal Rabbit IgG

Format

BSA Free

Concentration

Concentrations vary lot to lot. See vial label for concentration. If unlisted please contact technical services.

Product Specifications

Immunogen

This antibody was developed against Recombinant Protein corresponding to amino acids: CSFPLDPAAVKKPSFCIADILHAGVGDLGAAPEGLAGASAAALTAHLGSVHPHASFQAAARSPLRPTPVVAPSEVPAGFPQRLSPLPAAYHHHHPQQQQQQQ

Reactivity Notes

Immunogen displays the following percentage of sequence identity for non-tested species: Mouse (86%), Rat (87%). Human reactivity reported in scientific literature (PMID: 23455154).

Clonality

Polyclonal

Host

Rabbit

Isotype

IgG

Scientific Data Images for HLX1 Antibody - BSA Free

HLX1 Antibody - BSA Free Immunocytochemistry/ Immunofluorescence: HLX1 Antibody - BSA Free [NBP1-89719]

Immunocytochemistry/ Immunofluorescence: HLX1 Antibody - BSA Free [NBP1-89719]

Staining of human cell line HEK 293 shows positivity in nucleus & cytoplasm.
HLX1 Antibody - BSA Free Immunohistochemistry-Paraffin: HLX1 Antibody - BSA Free [NBP1-89719]

Immunohistochemistry-Paraffin: HLX1 Antibody - BSA Free [NBP1-89719]

Staining of human liver shows strong nuclear and cytoplasmic positivity in hepatocytes.
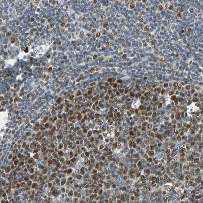
HLX1 Antibody - BSA Free Immunohistochemistry-Paraffin: HLX1 Antibody - BSA Free [NBP1-89719]

Immunohistochemistry-Paraffin: HLX1 Antibody - BSA Free [NBP1-89719]

Staining of human tonsil shows strong nuclear positivity in germinal center cells.

Applications for HLX1 Antibody - BSA Free

Application
Recommended Usage

Immunocytochemistry/ Immunofluorescence

0.25-2 ug/ml

Immunohistochemistry

1:50 - 1:200

Immunohistochemistry-Paraffin

1:50 - 1:200

Western Blot

0.04-0.4 ug/ml
Application Notes
For IHC-Paraffin, HIER pH 6 retrieval is recommended. Immunocytochemistry/Immunofluorescence Fixation Permeabilization: Use PFA/Triton X-100. WB reported in the literature (PMID: 29581848).

Formulation, Preparation, and Storage

Purification

Affinity purified

Formulation

PBS (pH 7.2) and 40% Glycerol

Format

BSA Free

Preservative

0.02% Sodium Azide

Concentration

Concentrations vary lot to lot. See vial label for concentration. If unlisted please contact technical services.

Shipping

The product is shipped with polar packs. Upon receipt, store it immediately at the temperature recommended below.

Stability & Storage

Store at 4C short term. Aliquot and store at -20C long term. Avoid freeze-thaw cycles.

Background: HLX1

Transcription factor required for TBX21/T-bet-dependent maturation of Th1 cells as well as maintenance ofTh1-specific gene expression. Involved in embryogenesis and hematopoiesis

Alternate Names

H2.0 (Drosophila)-like homeo box 1, H2.0-like homeo box 1, H2.0-like homeo box-1, H2.0-like homeobox, H2.0-like homeobox 1, H2.0-like homeobox protein, HB24, HLX1H2.0-like homeobox 1 (Drosophila), Homeobox protein HB24, Homeobox protein HLX1

Gene Symbol

HLX

Additional HLX1 Products

Product Documents for HLX1 Antibody - BSA Free

Certificate of Analysis

To download a Certificate of Analysis, please enter a lot number in the search box below.

Product Specific Notices for HLX1 Antibody - BSA Free

This product is for research use only and is not approved for use in humans or in clinical diagnosis. Primary Antibodies are guaranteed for 1 year from date of receipt.

Loading...
Loading...
Loading...
Loading...