Skip to main content

HLA DQB1 Antibody - BSA Free

Novus Biologicals, part of Bio-Techne | Catalog # NBP3-16006

Novus Biologicals, part of Bio-Techne
Catalog #
Availability
Size / Price
Qty
Loading...
NBP3-16006-100ul
NBP3-16006-20ul

Key Product Details

Species Reactivity

Human

Applications

Immunohistochemistry, Immunohistochemistry-Paraffin, Western Blot, ELISA

Label

Unconjugated

Antibody Source

Polyclonal Rabbit IgG

Format

BSA Free

Concentration

Please see the vial label for concentration. If unlisted please contact technical services.

Product Specifications

Immunogen

Recombinant fusion protein containing a sequence corresponding to amino acids 33-127 of human HLA DQB1 (NP_002114.3). RDSPEDFVFQFKGMCYFTNGTERVRLVTRYIYNREEYARFDSDVGVYRAVTPQGRPDAEYWNSQKEVLEGTRAELDTVCRHNYEVAFRGILQRRV

Clonality

Polyclonal

Host

Rabbit

Isotype

IgG

Theoretical MW

30 kDa.
Disclaimer note: The observed molecular weight of the protein may vary from the listed predicted molecular weight due to post translational modifications, post translation cleavages, relative charges, and other experimental factors.

Description

Novus Biologicals Rabbit HLA DQB1 Antibody - BSA Free (NBP3-16006) is a polyclonal antibody validated for use in IHC, WB and ELISA. All Novus Biologicals antibodies are covered by our 100% guarantee.

Scientific Data Images for HLA DQB1 Antibody - BSA Free

Western Blot: HLA DQB1 AntibodyAzide and BSA Free [NBP3-16006]

Western Blot: HLA DQB1 AntibodyAzide and BSA Free [NBP3-16006]

Western Blot: HLA DQB1 Antibody [NBP3-16006] - Western blot analysis of extracts of Raji cells, using HLA DQB1 antibody (NBP3-16006) at 1:1000 dilution. Secondary antibody: HRP Goat Anti-Rabbit IgG (H+L) at 1:10000 dilution. Lysates/proteins: 25ug per lane. Blocking buffer: 3% nonfat dry milk in TBST. Detection: ECL Basic Kit. Exposure time: 1s.
Immunohistochemistry-Paraffin: HLA DQB1 Antibody - Azide and BSA Free [NBP3-16006]

Immunohistochemistry-Paraffin: HLA DQB1 Antibody - Azide and BSA Free [NBP3-16006]

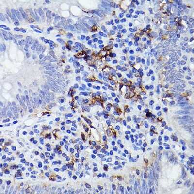
Immunohistochemistry-Paraffin: HLA DQB1 Antibody [NBP3-16006] - Immunohistochemistry of paraffin-embedded human colon carcinoma using HLA DQB1 antibody (NBP3-16006) at dilution of 1:100 (40x lens).Perform high pressure antigen retrieval with 10 mM citrate buffer pH 6.0 before commencing with IHC staining protocol.
Immunohistochemistry-Paraffin: HLA DQB1 Antibody - Azide and BSA Free [NBP3-16006]

Immunohistochemistry-Paraffin: HLA DQB1 Antibody - Azide and BSA Free [NBP3-16006]

Immunohistochemistry-Paraffin: HLA DQB1 Antibody [NBP3-16006] - Immunohistochemistry of paraffin-embedded human tonsil using HLA DQB1 antibody (NBP3-16006) at dilution of 1:100 (40x lens).Perform high pressure antigen retrieval with 10 mM citrate buffer pH 6.0 before commencing with IHC staining protocol.

Applications for HLA DQB1 Antibody - BSA Free

Application
Recommended Usage

ELISA

Recommended starting concentration is 1 μg/mL.

Immunohistochemistry

1:50 - 1:200

Western Blot

1:500 - 1:1000

Formulation, Preparation, and Storage

Purification

Affinity purified

Formulation

PBS (pH 7.3), 50% glycerol

Format

BSA Free

Preservative

0.02% Sodium Azide

Concentration

Please see the vial label for concentration. If unlisted please contact technical services.

Shipping

The product is shipped with polar packs. Upon receipt, store it immediately at the temperature recommended below.

Stability & Storage

Store at -20C. Avoid freeze-thaw cycles.

Background: HLA DQB1

HLA-DQB1 belongs to the HLA class II beta chain paralogues. This class II molecule is a heterodimer consisting of an alpha (DQA) and a beta chain (DQB), both anchored in the membrane. It plays a central role in the immune system by presenting peptides derived from extracellular proteins. Class II molecules are expressed in antigen presenting cells (APC: B lymphocytes, dendritic cells, macrophages). The beta chain is approximately 26-28 kDa and it contains 6 exons. Exon one encodes the leader peptide, exons 2 and 3 encode the two extracellular domains, exon 4 encodes the transmembrane domain and exon 5 encodes the cytoplasmic tail. Within the DQ molecule both the alpha chain and the beta chain contain the polymorphisms specifying the peptide binding specificities, resulting in up to 4 different molecules. Typing for these polymorphisms is routinely done for bone marrow transplantation.

Alternate Names

DC-1 alpha chain, DC-alpha, HLA class II histocompatibility antigen, DQ alpha 1 chain-like, HLA-DCA, MHC class II DQA1

Gene Symbol

HLA-DQB1

Additional HLA DQB1 Products

Product Documents for HLA DQB1 Antibody - BSA Free

Certificate of Analysis

To download a Certificate of Analysis, please enter a lot number in the search box below.

Product Specific Notices for HLA DQB1 Antibody - BSA Free

This product is for research use only and is not approved for use in humans or in clinical diagnosis. Primary Antibodies are guaranteed for 1 year from date of receipt.

Loading...
Loading...
Loading...
Loading...