Skip to main content

HLA DPB1 Antibody - BSA Free

Novus Biologicals, part of Bio-Techne | Catalog # NBP3-35186

Novus Biologicals, part of Bio-Techne
Catalog #
Availability
Size / Price
Qty
Loading...
NBP3-35186-100ul
NBP3-35186-20ul

Key Product Details

Species Reactivity

Human, Mouse

Applications

Immunohistochemistry, Immunohistochemistry-Paraffin, Western Blot, ELISA

Label

Unconjugated

Antibody Source

Polyclonal Rabbit IgG

Format

BSA Free

Concentration

Please see the vial label for concentration. If unlisted please contact technical services.

Product Specifications

Immunogen

Recombinant fusion protein containing a sequence corresponding to amino acids 30-225 of human HLA DPB1 (NP_002112.3).

Sequence:
RATPENYLFQGRQECYAFNGTQRFLERYIYNREEFARFDSDVGEFRAVTELGRPAAEYWNSQKDILEEKRAVPDRMCRHNYELGGPMTLQRRVQPRVNVSPSKKGPLQHHNLLVCHVTDFYPGSIQVRWFLNGQEETAGVVSTNLIRNGDWTFQILVMLEMTPQQGDVYTCQVEHTSLDSPVTVEWKAQSDSARSK

Clonality

Polyclonal

Host

Rabbit

Isotype

IgG

Theoretical MW

29 kDa.
Disclaimer note: The observed molecular weight of the protein may vary from the listed predicted molecular weight due to post translational modifications, post translation cleavages, relative charges, and other experimental factors.

Description

Novus Biologicals Rabbit HLA DPB1 Antibody - BSA Free (NBP3-35186) is a polyclonal antibody validated for use in IHC, WB and ELISA. All Novus Biologicals antibodies are covered by our 100% guarantee.

Scientific Data Images for HLA DPB1 Antibody - BSA Free

HLA DPB1 Antibody

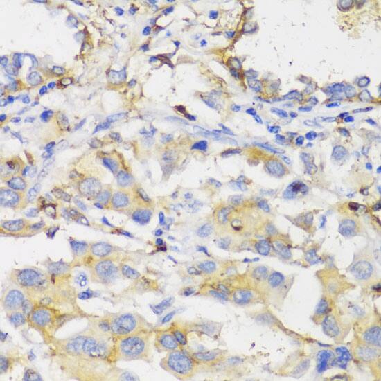
Immunohistochemistry: HLA DPB1 Antibody [NBP3-35186] -

Immunohistochemistry: HLA DPB1 Antibody [NBP3-35186] - Immunohistochemistry analysis of paraffin-embedded Human lymphonodus using HLA DPB1 Rabbit pAb at dilution of 1:100 (40x lens). Microwave antigen retrieval performed with 0.01M PBS Buffer (pH 7.2) prior to IHC staining.
HLA DPB1 Antibody

Western Blot: HLA DPB1 Antibody [NBP3-35186] -

Western Blot: HLA DPB1 Antibody [NBP3-35186] - Western blot analysis of various lysates, using HLA DPB1 Rabbit pAb at 1:1000 dilution.
Secondary antibody: HRP-conjugated Goat anti-Rabbit IgG (H+L) at 1:10000 dilution.
Lysates/proteins: 25ug per lane.
Blocking buffer: 3% nonfat dry milk in TBST.
Detection: ECL Basic Kit.
Negative control (NC): HeLa
Exposure time: 10s.
HLA DPB1 Antibody

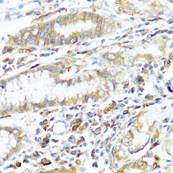
Immunohistochemistry: HLA DPB1 Antibody [NBP3-35186] -

Immunohistochemistry: HLA DPB1 Antibody [NBP3-35186] - Immunohistochemistry analysis of paraffin-embedded Human stomach using HLA DPB1 Rabbit pAb at dilution of 1:100 (40x lens). Microwave antigen retrieval performed with 0.01M PBS Buffer (pH 7.2) prior to IHC staining.

Applications for HLA DPB1 Antibody - BSA Free

Application
Recommended Usage

Immunohistochemistry-Paraffin

1:50 - 1:200

Western Blot

1:500 - 1:1000

Formulation, Preparation, and Storage

Purification

Affinity purified

Formulation

PBS (pH 7.3), 50% glycerol

Format

BSA Free

Preservative

0.02% Sodium Azide

Concentration

Please see the vial label for concentration. If unlisted please contact technical services.

Shipping

The product is shipped with polar packs. Upon receipt, store it immediately at the temperature recommended below.

Stability & Storage

Store at -20C. Avoid freeze-thaw cycles.

Background: HLA DPB1

HLA-DPB belongs to the HLA class II beta chain paralogues. This class II molecule is a heterodimer consisting of an alpha (DPA) and a beta chain (DPB), both anchored in the membrane. It plays a central role in the immune system by presenting peptides derived from extracellular proteins. Class II molecules are expressed in antigen presenting cells (APC: B lymphocytes, dendritic cells, macrophages). The beta chain is approximately 26-28 kDa and its gene contains 6 exons. Exon one encodes the leader peptide, exons 2 and 3 encode the two extracellular domains, exon 4 encodes the transmembrane domain and exon 5 encodes the cytoplasmic tail. Within the DP molecule both the alpha chain and the beta chain contain the polymorphisms specifying the peptide binding specificities, resulting in up to 4 different molecules.

Alternate Names

DP beta 1 chain, DPB1, HLA class II histocompatibility antigen, DP(W4) beta chain, HLA DP14-beta chain, HLA-DP histocompatibility type, beta-1 subunit, HLA-DP1B, HLA-DPB, major histocompatibility complex class II HLA DPB1 protein, major histocompatibility complex, class II, DP beta 1, MHC class II antigen beta chain, MHC class II antigen DP beta 1 chain, MHC class II antigen DPB1, MHC class II antigen DPbeta1, MHC class II HLA-DP-beta, MHC HLA DPB1

Gene Symbol

HLA-DPB1

Additional HLA DPB1 Products

Product Documents for HLA DPB1 Antibody - BSA Free

Certificate of Analysis

To download a Certificate of Analysis, please enter a lot number in the search box below.

Product Specific Notices for HLA DPB1 Antibody - BSA Free

This product is for research use only and is not approved for use in humans or in clinical diagnosis. Primary Antibodies are guaranteed for 1 year from date of receipt.

Loading...
Loading...
Loading...
Loading...