Skip to main content

HJURP Antibody - BSA Free

Novus Biologicals, part of Bio-Techne | Catalog # NBP1-85025

Novus Biologicals, part of Bio-Techne
Catalog #
Availability
Size / Price
Qty
Loading...
NBP1-85025
NBP1-85025-25ul

Key Product Details

Species Reactivity

Human

Applications

Immunohistochemistry, Immunohistochemistry-Paraffin, Immunocytochemistry/ Immunofluorescence

Label

Unconjugated

Antibody Source

Polyclonal Rabbit IgG

Format

BSA Free

Concentration

Concentrations vary lot to lot. See vial label for concentration. If unlisted please contact technical services.

Product Specifications

Immunogen

This antibody was developed against Recombinant Protein corresponding to amino acids: TPVVQMATLTYETPQGLRIWGGRLIKERNEGEIQDSSMKPADRTDGSVQAAAWGPELPSHRTVLGADSKSGEVDATSDQEESVAWALAPAVPQSPLKNELRRKYLTQVDILLQGAEYFECAGNRAGRDVRV

Reactivity Notes

Reactivity reported in scientific literature (PMID: 24039914)

Clonality

Polyclonal

Host

Rabbit

Isotype

IgG

Scientific Data Images for HJURP Antibody - BSA Free

Immunocytochemistry/ Immunofluorescence: HJURP Antibody [NBP1-85025]

Immunocytochemistry/ Immunofluorescence: HJURP Antibody [NBP1-85025]

Immunocytochemistry/Immunofluorescence: HJURP Antibody [NBP1-85025] - Staining of human cell line A-431 shows positivity in nucleus & nucleoli. Antibody staining is shown in green.
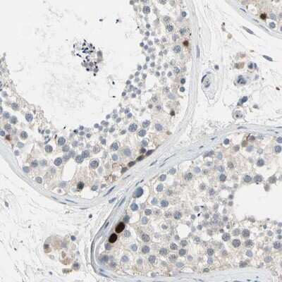
Immunohistochemistry-Paraffin: HJURP Antibody [NBP1-85025]

Immunohistochemistry-Paraffin: HJURP Antibody [NBP1-85025]

Immunohistochemistry-Paraffin: HJURP Antibody [NBP1-85025] - Staining of human testis shows moderate to strong nuclear positivity in some spermatogonia cells.
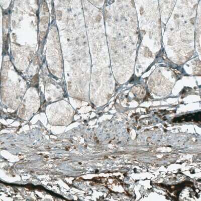
Immunohistochemistry-Paraffin: HJURP Antibody [NBP1-85025]

Immunohistochemistry-Paraffin: HJURP Antibody [NBP1-85025]

Immunohistochemistry-Paraffin: HJURP Antibody [NBP1-85025] - Staining of human lymph node shows moderate to strong nuclear positivity in lymphoid cells.

Applications for HJURP Antibody - BSA Free

Application
Recommended Usage

Immunocytochemistry/ Immunofluorescence

0.25-2 ug/ml

Immunohistochemistry

1:200 - 1:500

Immunohistochemistry-Paraffin

1:200 - 1:500
Application Notes
For IHC-Paraffin, HIER pH 6 retrieval is recommended. ICC/IF Fixation Permeabilization: PFA/Triton X-100

Formulation, Preparation, and Storage

Purification

Affinity purified

Formulation

PBS (pH 7.2) and 40% Glycerol

Format

BSA Free

Preservative

0.02% Sodium Azide

Concentration

Concentrations vary lot to lot. See vial label for concentration. If unlisted please contact technical services.

Shipping

The product is shipped with polar packs. Upon receipt, store it immediately at the temperature recommended below.

Stability & Storage

Store at 4C short term. Aliquot and store at -20C long term. Avoid freeze-thaw cycles.

Background: HJURP

Centromeric protein that plays a central role in the incorporation and maintenance of histone H3-like variant CENPA at centromeres. Acts as a specific chaperone for CENPA and is required for the incorporation of newly synthesized CENPA molecules into nucleosomes at replicated centromeres. Directly binds Holliday junctions

Alternate Names

FAKTS14-3-3-associated AKT substrate, fetal liver expressing gene 1, Fetal liver-expressing gene 1 protein, FLEG1, hFLEG1, Holliday junction recognition protein, Up-regulated in lung cancer 9, URLC9DKFZp762E1312

Gene Symbol

HJURP

Additional HJURP Products

Product Documents for HJURP Antibody - BSA Free

Certificate of Analysis

To download a Certificate of Analysis, please enter a lot number in the search box below.

Product Specific Notices for HJURP Antibody - BSA Free

This product is for research use only and is not approved for use in humans or in clinical diagnosis. Primary Antibodies are guaranteed for 1 year from date of receipt.

Loading...
Loading...
Loading...
Loading...