HDAC6 Antibody (2H12) - BSA Free
Novus Biologicals, part of Bio-Techne | Catalog # NBP3-26236
Recombinant Monoclonal Antibody
Key Product Details
Species Reactivity
Human
Applications
Immunohistochemistry, Western Blot, ELISA, Immunoprecipitation
Label
Unconjugated
Antibody Source
Recombinant Monoclonal Rabbit IgG Clone # 2H12 expressed in HEK293
Format
BSA Free
Concentration
Please see the vial label for concentration. If unlisted please contact technical services.
Product Specifications
Immunogen
A synthesized peptide derived from Human HDAC6 [UniProt Q9UBN7]
Clonality
Monoclonal
Host
Rabbit
Isotype
IgG
Description
Novus Biologicals Rabbit HDAC6 Antibody (2H12) - BSA Free (NBP3-26236) is a recombinant monoclonal antibody validated for use in IHC, WB, ELISA and IP. All Novus Biologicals antibodies are covered by our 100% guarantee.
Scientific Data Images for HDAC6 Antibody (2H12) - BSA Free
Immunoprecipitation: HDAC6 Antibody (2H12) [NBP3-26236] -
Immunoprecipitation: HDAC6 Antibody (2H12) [NBP3-26236] - Immunoprecipitating HDAC6 in HepG2 whole cell lysate.Lane 1: Rabbit control IgG instead of NBP3-26236 in HepG2 whole cell lysate. For western blotting, a HRP-conjugated Protein G antibody was used as the secondary antibody (1/2000).
Lane 2: NBP3-26236 (3ug) + HepG2 whole cell lysate (500ug).
Lane 3: HepG2 whole cell lysate (20ug).
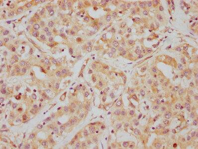
Immunohistochemistry: HDAC6 Antibody (2H12) [NBP3-26236] -
Immunohistochemistry: HDAC6 Antibody (2H12) [NBP3-26236] - Image of HDAC6 Antibody (2H12) diluted at 1:112.5 and staining in paraffin-embedded human liver cancer performed. After dewaxing and hydration, antigen retrieval was mediated by high pressure in a citrate buffer (pH 6.0). Section was blocked with 10% normal goat serum 30min at RT. Then primary antibody (1% BSA) was incubated at 4C overnight. The primary is detected by a biotinylated secondary antibody and visualized using an HRP conjugated SP system.Western Blot: HDAC6 Antibody (2H12) [NBP3-26236] -
Western Blot: HDAC6 Antibody (2H12) [NBP3-26236] - Positive Western Blot detected in: Hela whole cell lysate, MCF-7 whole cell lysate, HepG2 whole cell lysate, K562 whole cell lysate, Jurkat whole cell lysate.All lanes: HDAC6 Antibody at 1.1ug/ml.
Secondary: Goat polyclonal to rabbit IgG at 1/50000 dilution.
Predicted band size: 132, 115 KDa
Observed band size: 160 KDa
Applications for HDAC6 Antibody (2H12) - BSA Free
Application
Recommended Usage
Immunohistochemistry
1:50-1:200
Immunoprecipitation
1:200-1:1000
Western Blot
1:500-1:5000
Formulation, Preparation, and Storage
Purification
Affinity purified
Formulation
PBS, pH 7.4, 150mM NaCl, and 50% glycerol
Format
BSA Free
Preservative
0.02% Sodium Azide
Concentration
Please see the vial label for concentration. If unlisted please contact technical services.
Shipping
The product is shipped with polar packs. Upon receipt, store it immediately at the temperature recommended below.
Stability & Storage
Store at -20 to -70C. Avoid freeze-thaw cycles.
Background: Histone Deacetylase 6/HDAC6
Long Name
Histone Deacetylase 6
Alternate Names
CPBHM, FLJ16239, HD6, HDAC6, JM21, PPP1R90
Gene Symbol
HDAC6
Additional Histone Deacetylase 6/HDAC6 Products
Product Documents for HDAC6 Antibody (2H12) - BSA Free
Product Specific Notices for HDAC6 Antibody (2H12) - BSA Free
This product is for research use only and is not approved for use in humans or in clinical diagnosis. Primary Antibodies are guaranteed for 1 year from date of receipt.
Loading...
Loading...
Loading...
Loading...