Skip to main content

HAUS8 Antibody - BSA Free

Novus Biologicals, part of Bio-Techne | Catalog # NBP2-42849

Novus Biologicals, part of Bio-Techne
Catalog #
Availability
Size / Price
Qty
Loading...
NBP2-42849

Key Product Details

Validated by

Biological Validation

Species Reactivity

Validated:

Human

Cited:

Human

Applications

Validated:

Immunohistochemistry, Immunohistochemistry-Paraffin, Western Blot, Immunocytochemistry/ Immunofluorescence, Immunoprecipitation, Knockdown Validated

Cited:

Western Blot

Label

Unconjugated

Antibody Source

Polyclonal Rabbit IgG

Format

BSA Free

Concentration

Concentrations vary lot to lot. See vial label for concentration. If unlisted please contact technical services.

Product Specifications

Immunogen

Recombinant protein corresponding to human HAUS8

Clonality

Polyclonal

Host

Rabbit

Isotype

IgG

Theoretical MW

45 kDa.
Disclaimer note: The observed molecular weight of the protein may vary from the listed predicted molecular weight due to post translational modifications, post translation cleavages, relative charges, and other experimental factors.

Scientific Data Images for HAUS8 Antibody - BSA Free

Western Blot: HAUS8 Antibody [NBP2-42849]

Western Blot: HAUS8 Antibody [NBP2-42849]

Western Blot: HAUS8 Antibody [NBP2-42849] - Detection of cellular Hice1 and Hice1-GFP expressed in human osteosarcoma U2OS cells (left image), and Hice1 upon siRNA treatment (right image). Nuclear matrix protein p84 is a loading control, blotted with p84 antibody (clone 5E10).
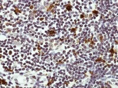
Immunohistochemistry-Paraffin: HAUS8 Antibody [NBP2-42849]

Immunohistochemistry-Paraffin: HAUS8 Antibody [NBP2-42849]

Immunohistochemistry-Paraffin: HAUS8 Antibody [NBP2-42849] - Human lymph tissue, using HICE1 antibody at 1:50 dilution. Antigen Retrieval: Trilogy™ (EDTA based, pH 8.0) buffer, 15min.
Western Blot: HAUS8 Antibody [NBP2-42849]

Western Blot: HAUS8 Antibody [NBP2-42849]

Western Blot: HAUS8 Antibody [NBP2-42849] - Analysis of A: His-Hice1 (2x) B: His-Hice1 (1x) 7.5% SDS PAGE diluted at 1:500.

Applications for HAUS8 Antibody - BSA Free

Application
Recommended Usage

Immunocytochemistry/ Immunofluorescence

1:100-1:1000

Immunohistochemistry

1:50-1:500

Immunohistochemistry-Paraffin

1:50-1:500

Immunoprecipitation

1:100-1:500

Western Blot

1:500-1:3000

Formulation, Preparation, and Storage

Purification

Antigen Affinity-purified

Formulation

0.1M Tris, 0.1M Glycine, 10% Glycerol

Format

BSA Free

Preservative

0.01% Thimerosal

Concentration

Concentrations vary lot to lot. See vial label for concentration. If unlisted please contact technical services.

Shipping

The product is shipped with polar packs. Upon receipt, store it immediately at the temperature recommended below.

Stability & Storage

Aliquot and store at -20C or -80C. Avoid freeze-thaw cycles.

Background: HAUS8

Alternate Names

DGT4, HAUS Augmin Like Complex Subunit 8, HEC1/NDC80 interacting, centrosome associated 1, HEC1/NDC80-Interacting Centrosome-Associated Protein 1, Hec1-Interacting And Centrosome-Associated 1, HICE1, NY-SAR-48, Sarcoma Antigen NY-SAR-48

Gene Symbol

HAUS8

Additional HAUS8 Products

Product Documents for HAUS8 Antibody - BSA Free

Certificate of Analysis

To download a Certificate of Analysis, please enter a lot number in the search box below.

Product Specific Notices for HAUS8 Antibody - BSA Free

This product is for research use only and is not approved for use in humans or in clinical diagnosis. Primary Antibodies are guaranteed for 1 year from date of receipt.

Loading...
Loading...
Loading...
Loading...

⚠ WARNING: This product can expose you to chemicals including mercury, which is known to the State of California to cause reproductive toxicity with developmental effects.  For more information go to www.P65Warnings.ca.gov.