HABP1/C1QBP/GC1q R Antibody - Azide and BSA Free
Novus Biologicals, part of Bio-Techne | Catalog # NBP2-98236
Conjugate
Catalog #
Key Product Details
Species Reactivity
Mouse
Applications
Immunohistochemistry, Immunohistochemistry-Paraffin, Western Blot, ELISA, Immunocytochemistry/ Immunofluorescence, Immunoprecipitation
Label
Unconjugated
Antibody Source
Polyclonal Rabbit IgG
Format
Azide and BSA Free
Concentration
Please see the vial label for concentration. If unlisted please contact technical services.
Product Specifications
Immunogen
Produced in rabbits immunized with purified, recombinant Mouse HABP1/C1QBP/GC1q R (Accession#: NP_031599.2; Leu72-Gln279)
Clonality
Polyclonal
Host
Rabbit
Isotype
IgG
Description
This antibody can be stored at 2C to 8C for one month without detectable loss of activity. Antibody products are stable for twelve months from date of receipt when stored at -20C to -80C. Avoid repeated freeze-thaw cycles.
Scientific Data Images for HABP1/C1QBP/GC1q R Antibody - Azide and BSA Free
Western Blot: HABP1/C1QBP/GC1q R Antibody [NBP2-98236]
Western Blot: HABP1/C1QBP/GC1q R Antibody [NBP2-98236] - Anti-HABP1/C1QBP/GC1q R rabbit polyclonal antibody at 1:500 dilution. Lane A: Jurkat Whole Cell Lysate. Lane B: Raji Whole Cell Lysate. Lane C: Mouse Spleen tissue Lysate. Lane D: Mouse Brain tissue lysate. Lysates/proteins at 30 ug per lane. Secondary Goat Anti-Rabbit IgG (H+L)/HRP at 1/10000 dilution. Developed using the ECL technique. Performed under reducing conditions. Predicted band size: 31 kDa. Observed band size: 35 kDaImmunohistochemistry-Paraffin: HABP1/C1QBP/GC1q R Antibody [NBP2-98236]
Immunohistochemistry-Paraffin: HABP1/C1QBP/GC1q R Antibody [NBP2-98236] - Immunochemical staining of mouse HABP1/C1QBP/GC1q R in mouse small intestine with rabbit polyclonal antibody at 1:1000 dilution, formalin-fixed paraffin embedded sections.Immunohistochemistry-Paraffin: HABP1/C1QBP/GC1q R Antibody [NBP2-98236]
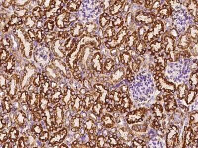
Immunohistochemistry-Paraffin: HABP1/C1QBP/GC1q R Antibody [NBP2-98236] - Immunochemical staining of mouse HABP1/C1QBP/GC1q R in mouse kidney with rabbit polyclonal antibody at 1:1000 dilution, formalin-fixed paraffin embedded sections.Applications for HABP1/C1QBP/GC1q R Antibody - Azide and BSA Free
Application
Recommended Usage
ELISA
1:5000-1:10000
Immunocytochemistry/ Immunofluorescence
1:300-1:10000
Immunohistochemistry-Paraffin
1:500-1:2000
Immunoprecipitation
1-5 uL/mg of lysate
Western Blot
1:500-1:2000
Formulation, Preparation, and Storage
Purification
Antigen and protein A Affinity-purified
Formulation
0.2 um filtered solution in PBS
Format
Azide and BSA Free
Preservative
No Preservative
Concentration
Please see the vial label for concentration. If unlisted please contact technical services.
Shipping
The product is shipped with polar packs. Upon receipt, store it immediately at the temperature recommended below.
Stability & Storage
Store at 4C short term. Aliquot and store at -20C long term. Avoid freeze-thaw cycles.
Background: HABP1/C1QBP
Long Name
Hyaluronic Acid-binding Protein
Alternate Names
C1QBP, gC1qBP, gC1qR, SF2p32
Gene Symbol
C1QBP
Additional HABP1/C1QBP Products
Product Documents for HABP1/C1QBP/GC1q R Antibody - Azide and BSA Free
Product Specific Notices for HABP1/C1QBP/GC1q R Antibody - Azide and BSA Free
This product is for research use only and is not approved for use in humans or in clinical diagnosis. Primary Antibodies are guaranteed for 1 year from date of receipt.
Loading...
Loading...
Loading...
Loading...