Skip to main content

H1F0 Antibody - BSA Free

Novus Biologicals, part of Bio-Techne | Catalog # NBP1-83308

Novus Biologicals, part of Bio-Techne
Catalog #
Availability
Size / Price
Qty
Loading...
NBP1-83308

Key Product Details

Species Reactivity

Validated:

Human

Predicted:

Mouse (93%). Backed by our 100% Guarantee.

Applications

Immunohistochemistry, Immunohistochemistry-Paraffin, Western Blot, Immunocytochemistry/ Immunofluorescence

Label

Unconjugated

Antibody Source

Polyclonal Rabbit IgG

Format

BSA Free

Concentration

Concentrations vary lot to lot. See vial label for concentration. If unlisted please contact technical services.

Product Specifications

Immunogen

This antibody was developed against Recombinant Protein corresponding to amino acids: MTENSTDHPKYSDMIVAAIQAEKNRAGSSRQSIQKYIKSHYKVGENADSQIKLSIKRLVTTGVLKQTKGVGASGSFRLAKSDEPKKSVAFKKTKKEIKKVATPKKASK

Clonality

Polyclonal

Host

Rabbit

Isotype

IgG

Scientific Data Images for H1F0 Antibody - BSA Free

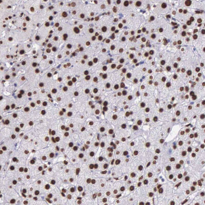
H1F0 Antibody - BSA Free Immunohistochemistry-Paraffin: H1F0 Antibody - BSA Free [NBP1-83308]

Immunohistochemistry-Paraffin: H1F0 Antibody - BSA Free [NBP1-83308]

Staining of human pancreas shows strong nuclear positivity in exocrine glandular cells.
H1F0 Antibody - BSA Free Immunohistochemistry-Paraffin: H1F0 Antibody - BSA Free [NBP1-83308]

Immunohistochemistry-Paraffin: H1F0 Antibody - BSA Free [NBP1-83308]

Staining of human cerebral cortex shows strong nuclear positivity in neurons.
H1F0 Antibody - BSA Free Immunohistochemistry-Paraffin: H1F0 Antibody - BSA Free [NBP1-83308]

Immunohistochemistry-Paraffin: H1F0 Antibody - BSA Free [NBP1-83308]

Staining of human duodenum shows strong nuclear positivity in glandular cells.

Applications for H1F0 Antibody - BSA Free

Application
Recommended Usage

Immunocytochemistry/ Immunofluorescence

0.25-2 ug/ml

Immunohistochemistry

1:200 - 1:500

Immunohistochemistry-Paraffin

1:200 - 1:500

Western Blot

0.04-0.4 ug/ml
Application Notes
For IHC-Paraffin, HIER pH 6 retrieval is recommended. Immunocytochemistry/Immunofluorescence Fixation Permeabilization: Use PFA/Triton X-100.

Formulation, Preparation, and Storage

Purification

Affinity purified

Formulation

PBS (pH 7.2) and 40% Glycerol

Format

BSA Free

Preservative

0.02% Sodium Azide

Concentration

Concentrations vary lot to lot. See vial label for concentration. If unlisted please contact technical services.

Shipping

The product is shipped with polar packs. Upon receipt, store it immediately at the temperature recommended below.

Stability & Storage

Store at 4C short term. Aliquot and store at -20C long term. Avoid freeze-thaw cycles.

Background: H1F0

Plasmid: pCMV-H1F0 Full length; Host Cell: 293T

Alternate Names

H1 histone family, member 0, H1.0, H1(0), H1-0, H10, H1FVMGC5241, Histone H1', Histone H1(0), histone H1.0

Gene Symbol

H1-0

Additional H1F0 Products

Product Documents for H1F0 Antibody - BSA Free

Certificate of Analysis

To download a Certificate of Analysis, please enter a lot number in the search box below.

Product Specific Notices for H1F0 Antibody - BSA Free

This product is for research use only and is not approved for use in humans or in clinical diagnosis. Primary Antibodies are guaranteed for 1 year from date of receipt.

Loading...
Loading...
Loading...
Loading...