Skip to main content

H1F0 Antibody (rHH1/8702) - Azide and BSA Free

Novus Biologicals, part of Bio-Techne | Catalog # NBP3-20985

Recombinant Monoclonal Antibody
Novus Biologicals, part of Bio-Techne

Key Product Details

Species Reactivity

Human

Applications

Immunohistochemistry-Paraffin

Label

Unconjugated

Antibody Source

Recombinant Monoclonal Mouse IgG2b Kappa Clone # rHH1/8702

Format

Azide and BSA Free

Concentration

1 mg/ml

Product Specifications

Immunogen

Nuclei of human leukemia biopsy cells

Localization

Nucleus.

Clonality

Monoclonal

Host

Mouse

Isotype

IgG2b Kappa

Description

Positive Controls: HeLa, A-431, LNCap or Jurkat cells. Human heart or breast carcinoma.

Antibody with azide - store at 2 to 8C. Antibody without azide - store at -20 to -80C. Non-hazardous. No MSDS required.

Scientific Data Images for H1F0 Antibody (rHH1/8702) - Azide and BSA Free

H1F0 Antibody (rHH1/8702) - Azide and BSA Free

H1F0 Antibody (rHH1/8702)

Formalin-fixed, paraffin-embedded human ovarian carcinoma stained with H1F0 antibody (rHH1/8702). Inset: PBS instead of primary antibody; secondary only negative control.
H1F0 Antibody (rHH1/8702) - Azide and BSA Free

H1F0 Antibody (rHH1/8702)

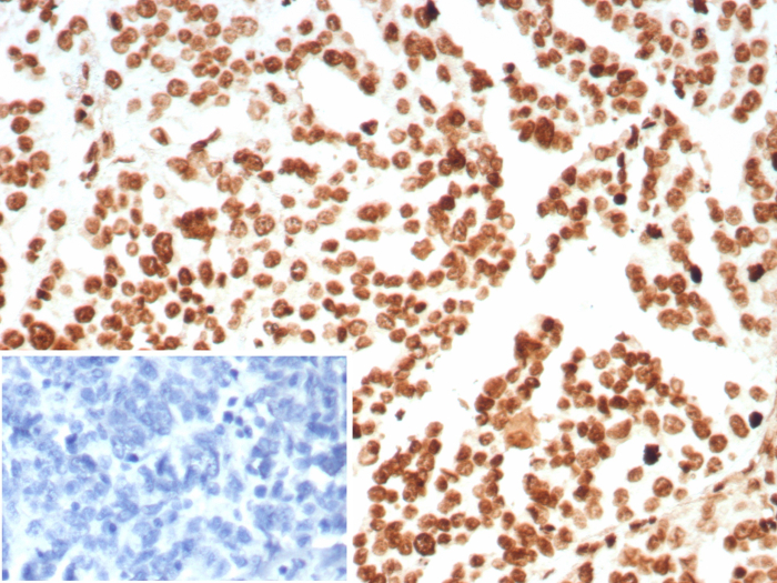
Formalin-fixed, paraffin-embedded human lymph node stained with H1F0 antibody (rHH1/8702). HIER: Tris/EDTA, pH9.0, 45min. Secondary: HRP-polymer, 30min. DAB, 5min.

Applications for H1F0 Antibody (rHH1/8702) - Azide and BSA Free

Application
Recommended Usage

Immunohistochemistry-Paraffin

1-2 ug/ml
Application Notes
Immunohistochemistry (Formalin-fixed): 1-2ug/ml for 30 minutes. at RT. Staining of formalin-fixed tissues requires heating tissue sections in 10mM Tris with 1mM EDTA, pH 9.0, for 45 min at 95C followed by cooling at RT for 20 minutes.

Optimal dilution for a specific application should be determined.

Formulation, Preparation, and Storage

Purification

Protein A or G purified

Formulation

1mM PBS

Format

Azide and BSA Free

Preservative

No Preservative

Concentration

1 mg/ml

Shipping

The product is shipped with polar packs. Upon receipt, store it immediately at the temperature recommended below.

Stability & Storage

Store at -20 to -70C. Avoid freeze-thaw cycles.

Background: H1F0

Plasmid: pCMV-H1F0 Full length; Host Cell: 293T

Alternate Names

H1 histone family, member 0, H1.0, H1(0), H1-0, H10, H1FVMGC5241, Histone H1', Histone H1(0), histone H1.0

Gene Symbol

H1-0

Additional H1F0 Products

Product Documents for H1F0 Antibody (rHH1/8702) - Azide and BSA Free

Certificate of Analysis

To download a Certificate of Analysis, please enter a lot number in the search box below.

Product Specific Notices for H1F0 Antibody (rHH1/8702) - Azide and BSA Free

This product is for research use only and is not approved for use in humans or in clinical diagnosis. Primary Antibodies are guaranteed for 1 year from date of receipt.

Loading...
Loading...
Loading...
Loading...