Skip to main content

H1F0 Antibody (1415-1)

Novus Biologicals, part of Bio-Techne | Catalog # NBP2-45181

Novus Biologicals, part of Bio-Techne
Catalog #
Availability
Size / Price
Qty
Loading...
NBP2-45181-0.02mg
NBP2-45181-0.1mg

Key Product Details

Species Reactivity

Human, Mouse, Rat

Applications

Flow Cytometry, Immunocytochemistry/ Immunofluorescence, Immunofluorescence, Immunohistochemistry, Immunohistochemistry-Paraffin, Western Blot

Label

Unconjugated

Antibody Source

Monoclonal Mouse IgG2a Kappa Clone # 1415-1

Concentration

0.2 mg/ml

Product Specifications

Immunogen

Nuclei of human leukemia biopsy cells

Localization

Nuclear

Marker

Pan Nuclear Marker

Clonality

Monoclonal

Host

Mouse

Isotype

IgG2a Kappa

Theoretical MW

30 kDa.
Disclaimer note: The observed molecular weight of the protein may vary from the listed predicted molecular weight due to post translational modifications, post translation cleavages, relative charges, and other experimental factors.

Description

200ug/ml of antibody purified from Bioreactor Concentrate by Protein A or G. Prepared in 1 mM PBS with 0.05% BSA & 0.05% azide. Also available WITHOUT BSA & azide at 1.0 mg/ml. (NBP2-47752)

Antibody with azide - store at 2 to 8C. Antibody without azide - store at -20 to -80 C.

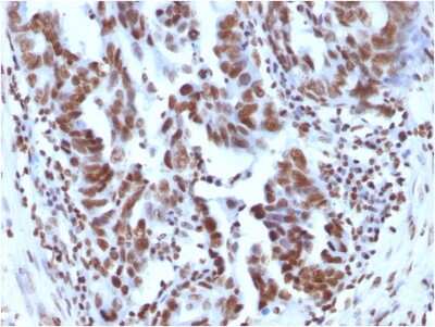
Scientific Data Images for H1F0 Antibody (1415-1)

Western Blot: H1F0 Antibody (1415-1) [NBP2-45181]

Western Blot: H1F0 Antibody (1415-1) [NBP2-45181]

Western Blot: H1F0 Antibody (1415-1) [NBP2-45181] - Western Blot Analysis of human heart tissue lysate using H1F0 antibody (1415-1)
Immunocytochemistry/ Immunofluorescence: H1F0 Antibody (1415-1) [NBP2-45181]

Immunocytochemistry/ Immunofluorescence: H1F0 Antibody (1415-1) [NBP2-45181]

Immunocytochemistry/Immunofluorescence: H1F0 Antibody (1415-1) [NBP2-45181] - Confocal Immunofluorescence image of HeLa cells using H1F0 antibody (1415-1) stained green (CF488) and Phalloidin is used to label the membranes.
Immunohistochemistry-Paraffin: H1F0 Antibody (1415-1) [NBP2-45181]

Immunohistochemistry-Paraffin: H1F0 Antibody (1415-1) [NBP2-45181]

Immunohistochemistry-Paraffin: H1F0 Antibody (1415-1) [NBP2-45181] - Histone H1 Antibody (1415-1) [NBP2-45181] - Formalin-fixed, paraffin-embedded human Angiosarcoma stained with H1F0 antibody (1415-1)

Applications for H1F0 Antibody (1415-1)

Application
Recommended Usage

Flow Cytometry

1-2 ug/million cells

Immunocytochemistry/ Immunofluorescence

1-2 ug/ml

Immunofluorescence

0.5 - 1.0 ug/ml

Immunohistochemistry-Paraffin

1-2 ug/ml

Western Blot

1-2 ug/ml
Application Notes
Immunohistochemistry (Formalin-fixed): 1-2ug/ml for 30 minutes at RT. Staining of formalin-fixed tissues requires heating tissue sections in 10mM Tris with 1mM EDTA, pH 9.0, for 45 min at 95C followed by cooling at RT for 20 minutes.
Optimal dilution for a specific application should be determined.

Formulation, Preparation, and Storage

Purification

Protein A or G purified

Formulation

1mM PBS with 0.05% BSA

Preservative

0.05% Sodium Azide

Concentration

0.2 mg/ml

Shipping

The product is shipped with polar packs. Upon receipt, store it immediately at the temperature recommended below.

Stability & Storage

Store at 4C.

Background: H1F0

Plasmid: pCMV-H1F0 Full length; Host Cell: 293T

Alternate Names

H1 histone family, member 0, H1.0, H1(0), H1-0, H10, H1FVMGC5241, Histone H1', Histone H1(0), histone H1.0

Gene Symbol

H1-0

UniProt

Additional H1F0 Products

Product Documents for H1F0 Antibody (1415-1)

Certificate of Analysis

To download a Certificate of Analysis, please enter a lot number in the search box below.

Product Specific Notices for H1F0 Antibody (1415-1)

This product is for research use only and is not approved for use in humans or in clinical diagnosis. Primary Antibodies are guaranteed for 1 year from date of receipt.

Loading...
Loading...
Loading...
Loading...
Loading...