Skip to main content

GTF3C5 Antibody

Novus Biologicals, part of Bio-Techne | Catalog # NB100-60435

Novus Biologicals, part of Bio-Techne
Catalog #
Availability
Size / Price
Qty
Loading...
NB100-60435

Key Product Details

Species Reactivity

Human, Mouse

Applications

Immunohistochemistry, Immunohistochemistry-Paraffin, Immunoprecipitation, Western Blot

Label

Unconjugated

Antibody Source

Polyclonal Rabbit IgG

Concentration

0.2 mg/ml

Product Specifications

Immunogen

The immunogen recognized by this antibody maps to a region between residue 469 and 519 of human general transcription factor 3C polypeptide 5 (Transcription factor IIIC 63 kDa subunit) using the numbering given in entry NP_036219.1 (GeneID 9328).

Clonality

Polyclonal

Host

Rabbit

Isotype

IgG

Description

Novus Biologicals Rabbit GTF3C5 Antibody (NB100-60435) is a polyclonal antibody validated for use in IHC, WB and IP. All Novus Biologicals antibodies are covered by our 100% guarantee.

Scientific Data Images for GTF3C5 Antibody

Western Blot: GTF3C5 Antibody [NB100-60435]

Western Blot: GTF3C5 Antibody [NB100-60435]

Western Blot: GTF3C5 Antibody [NB100-60435] - Detection of human and mouse GTF3C5 by western blot. Samples: Whole cell lysate (50 ug) from HeLa, HEK293T, and mouse NIH 3T3 cells prepared using NETN lysis buffer. Antibody: Affinity purified rabbit anti-GTF3C5 antibody NB100-60435 used for WB at 0.1 ug/ml. Detection: Chemiluminescence with an exposure time of 10 seconds.
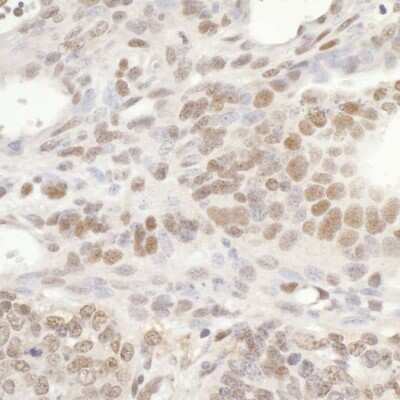
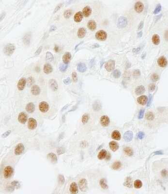
Immunohistochemistry: GTF3C5 Antibody [NB100-60435]

Immunohistochemistry: GTF3C5 Antibody [NB100-60435]

Immunohistochemistry: GTF3C5 Antibody [NB100-60435] - Detection of human GTF3C5/TFIIIC63 by immunohistochemistry. Sample: FFPE section of human breast carcinoma. Antibody: Affinity purified rabbit anti- GTF3C5/TFIIIC63 (NB100-60435). Detection: DAB
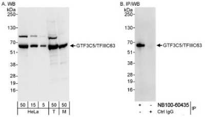
Western Blot: GTF3C5 Antibody [NB100-60435]

Western Blot: GTF3C5 Antibody [NB100-60435]

Western Blot: GTF3C5 Antibody [NB100-60435] - Whole cell lysate from HeLa (5, 15 and 50 ug for WB; 1 mg for IP, 20% of IP loaded), 293T (T; 50 ug), and mouse NIH3T3 (M; 50 ug) cells. NB100-60435 used for WB at 0.04 ug/ml (A) and 1 ug/ml (B) and used for IP at 3 ug/mg lysate.

Applications for GTF3C5 Antibody

Application
Recommended Usage

Immunohistochemistry-Paraffin

1:10-1:500

Immunoprecipitation

1:10-1:500

Western Blot

1:100-1:2000

Formulation, Preparation, and Storage

Purification

Immunogen affinity purified

Formulation

TBS and 0.1% BSA

Preservative

0.09% Sodium Azide

Concentration

0.2 mg/ml

Shipping

The product is shipped with polar packs. Upon receipt, store it immediately at the temperature recommended below.

Stability & Storage

Store at 4C. Do not freeze.

Background: GTF3C5

General transcription factor 3C polypeptide 5 (GTF3C5/TFIIIC63) is a subunit of the TFIIIC DNA-binding factor required for transcription of tRNA and 5S rRNA genes by RNA polymerase III. Human TFIIIC is composed of six subunits: TFIIIC220, TFIIIC110, TFIIIC102, TFIIIC90 and TFIIIC63, and TFIIIC35. GTF3C5/TFIIIC63 interacts with TFIIIB and may facilitate TFIIIB and RNA polymerase III recruitment in association with TFIIIC102, TFIIIB90, and RPC62. Alternate names for GTF3C5/TFIIIC63 include transcription factor IIIC subunit epsilon, TF3C-epsilon, TFIIIC 63 kDa subunit, general transcription factor IIIC polypeptide 5 (63 kDa), and FLJ20857.

Alternate Names

FLJ20857, general transcription factor 3C polypeptide 5, general transcription factor IIIC, polypeptide 5 (63kD), general transcription factor IIIC, polypeptide 5, 63kDa, TF3C-epsilon, TFiiiC2-63, TFIIIC63TFIIIC 63 kDa subunit, TFIIICepsilon, Transcription factor IIIC 63 kDa subunit, Transcription factor IIIC subunit epsilon, transcription factor IIIC, 63 kD

Entrez Gene IDs

9328 (Human); 70239 (Mouse)

Gene Symbol

GTF3C5

Additional GTF3C5 Products

Product Documents for GTF3C5 Antibody

Certificate of Analysis

To download a Certificate of Analysis, please enter a lot number in the search box below.

Product Specific Notices for GTF3C5 Antibody

This product is for research use only and is not approved for use in humans or in clinical diagnosis. Primary Antibodies are guaranteed for 1 year from date of receipt.

Loading...
Loading...
Loading...
Loading...