Skip to main content

GTF2IRD1 Antibody

Novus Biologicals, part of Bio-Techne | Catalog # NB100-61056

Novus Biologicals, part of Bio-Techne
Catalog #
Availability
Size / Price
Qty
Loading...
NB100-61056

Key Product Details

Validated by

Independent Antibodies

Species Reactivity

Human

Applications

Immunohistochemistry, Immunohistochemistry-Paraffin, Western Blot, Immunoprecipitation

Label

Unconjugated

Antibody Source

Polyclonal Rabbit IgG

Concentration

0.2 mg/ml

Product Specifications

Immunogen

The immunogen recognized by this antibody maps to a region between residue 909 and 959 of human general transcription factor 2I repeat domain containing 1 using the numbering given in entry NP_057412.1 (GeneID 9569).

Clonality

Polyclonal

Host

Rabbit

Isotype

IgG

Theoretical MW

106 kDa.
Disclaimer note: The observed molecular weight of the protein may vary from the listed predicted molecular weight due to post translational modifications, post translation cleavages, relative charges, and other experimental factors.

Description

Novus Biologicals Rabbit GTF2IRD1 Antibody (NB100-61056) is a polyclonal antibody validated for use in IHC, WB and IP. All Novus Biologicals antibodies are covered by our 100% guarantee.

Scientific Data Images for GTF2IRD1 Antibody

Western Blot: GTF2IRD1 Antibody [NB100-61056]

Western Blot: GTF2IRD1 Antibody [NB100-61056]

Western Blot: GTF2IRD1 Antibody [NB100-61056] - Detection of Human GTF2IRD1/TFII-IRD1 on HeLa whole cell lysate using NB100-61056. GTF2IRD1/TFII-IRD1 was also immunoprecipitated by rabbit anti-GTF2IRD1/TFII-IRD1 antibody NB100-61055.
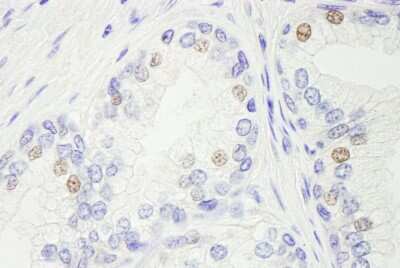
Immunohistochemistry: GTF2IRD1 Antibody [NB100-61056]

Immunohistochemistry: GTF2IRD1 Antibody [NB100-61056]

Immunohistochemistry: GTF2IRD1 Antibody [NB100-61056] - Sample: FFPE section of human prostate carcinoma. Antibody: Affinity purified rabbit anti-GTF2IRD/TFII-IRD1 used at a dilution of 1:200 (1ug/ml). Detection: DAB

Applications for GTF2IRD1 Antibody

Application
Recommended Usage

Immunohistochemistry

1:100-1:500

Immunohistochemistry-Paraffin

1:10-1:500

Immunoprecipitation

2-5 ug/mg lysate

Western Blot

1:2000-1:10000
Application Notes
Epitope retrieval with citrate buffer pH6.0 is recommended for FFPE tissue sections.

Formulation, Preparation, and Storage

Purification

Immunogen affinity purified

Formulation

TBS and 0.1% BSA

Preservative

0.09% Sodium Azide

Concentration

0.2 mg/ml

Shipping

The product is shipped with polar packs. Upon receipt, store it immediately at the temperature recommended below.

Stability & Storage

Store at 4C. Do not freeze.

Background: GTF2IRD1

The protein encoded by this gene contains five GTF2I-like repeats and each repeat possesses a potential helix-loop-helix (HLH) motif. It may have the ability to interact with other HLH-proteins and function as a transcription factor or as a positive transcriptional regulator under the control of Retinoblastoma protein. This gene is deleted in Williams-Beuren syndrome, a multisystem developmental disorder caused by deletion of multiple genes at 7q11.23. Alternative splicing of this gene generates at least 2 transcript variants.

Alternate Names

BEN, Cream1, General transcription factor III, general transcription factor II-I repeat domain-containing protein 1, GTF2I repeat domain containing 1, GTF2I repeat domain-containing protein 1, GTF3GTF2I repeat domain-containing 1, hMusTRD1alpha1, Muscle TFII-I repeat domain-containing protein 1, muscle TFII-I repeat domain-containing protein 1 alpha 1, MusTRD1, MusTRD1/BEN, MUSTRD1general transcription factor 3, RBAP2WBSCR12binding factor for early enhancer, Slow-muscle-fiber enhancer-binding protein, USE B1-binding protein, WBS, WBSCR11, Williams-Beuren syndrome chromosomal region 11 protein, Williams-Beuren syndrome chromosomal region 12 protein, Williams-Beuren syndrome chromosome region 11

Entrez Gene IDs

9569 (Human)

Gene Symbol

GTF2IRD1

UniProt

Additional GTF2IRD1 Products

Product Documents for GTF2IRD1 Antibody

Certificate of Analysis

To download a Certificate of Analysis, please enter a lot number in the search box below.

Product Specific Notices for GTF2IRD1 Antibody

This product is for research use only and is not approved for use in humans or in clinical diagnosis. Primary Antibodies are guaranteed for 1 year from date of receipt.

Loading...
Loading...
Loading...
Loading...