Skip to main content

GSTO2 Antibody - BSA Free

Novus Biologicals, part of Bio-Techne | Catalog # NBP2-14075

Novus Biologicals, part of Bio-Techne
Catalog #
Availability
Size / Price
Qty
Loading...
NBP2-14075

Key Product Details

Species Reactivity

Human

Applications

Immunohistochemistry, Immunohistochemistry-Paraffin, Western Blot, Immunocytochemistry/ Immunofluorescence

Label

Unconjugated

Antibody Source

Polyclonal Rabbit IgG

Format

BSA Free

Concentration

Concentrations vary lot to lot. See vial label for concentration. If unlisted please contact technical services.

Product Specifications

Immunogen

This antibody was developed against a recombinant protein corresponding to the amino acids: DVYGILDCVSHTPALRLWISAMKWDPTVCALLMDKSIFQGFLNLYFQNNPNAFDFG

Clonality

Polyclonal

Host

Rabbit

Isotype

IgG

Description

Novus Biologicals Rabbit GSTO2 Antibody - BSA Free (NBP2-14075) is a polyclonal antibody validated for use in IHC, WB and ICC/IF. All Novus Biologicals antibodies are covered by our 100% guarantee.

Scientific Data Images for GSTO2 Antibody - BSA Free

Western Blot: GSTO2 Antibody [NBP2-14075]

Western Blot: GSTO2 Antibody [NBP2-14075]

Western Blot: GSTO2 Antibody [NBP2-14075] - Lane 1: Marker [kDa] 250, 130, 95, 72, 55, 36, 28, 17, 10. Lane 2: Human cell line RT-4. Lane 3: Human cell line U-251MG sp. Lane 4: Human plasma (IgG/HSA depleted). Lane 5: Human liver tissue
Immunocytochemistry/ Immunofluorescence: GSTO2 Antibody [NBP2-14075]

Immunocytochemistry/ Immunofluorescence: GSTO2 Antibody [NBP2-14075]

Immunocytochemistry/Immunofluorescence: GSTO2 Antibody [NBP2-14075] - Immunofluorescent staining of human cell line MCF7 shows localization to nucleus & nucleoli.
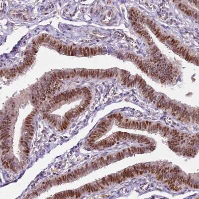
Immunohistochemistry-Paraffin: GSTO2 Antibody [NBP2-14075]

Immunohistochemistry-Paraffin: GSTO2 Antibody [NBP2-14075]

Immunohistochemistry-Paraffin: GSTO2 Antibody [NBP2-14075] - Staining of human fallopian tube shows moderate to strong nuclear positivity in glandular cells.

Applications for GSTO2 Antibody - BSA Free

Application
Recommended Usage

Immunocytochemistry/ Immunofluorescence

0.25-2 ug/ml

Immunohistochemistry

1:50 - 1:200

Immunohistochemistry-Paraffin

1:50 - 1:200

Western Blot

0.04-0.4 ug/ml
Application Notes
For IHC-Paraffin, HIER pH 6 retrieval is recommended. Immunocytochemistry/Immunofluorescence Fixation Permeabilization: Use PFA/Triton X-100.

Formulation, Preparation, and Storage

Purification

Affinity purified

Formulation

PBS (pH 7.2) and 40% Glycerol

Format

BSA Free

Preservative

0.02% Sodium Azide

Concentration

Concentrations vary lot to lot. See vial label for concentration. If unlisted please contact technical services.

Shipping

The product is shipped with polar packs. Upon receipt, store it immediately at the temperature recommended below.

Stability & Storage

Store at 4C short term. Aliquot and store at -20C long term. Avoid freeze-thaw cycles.

Background: GSTO2

The omega class glutathione transferases (GST; EC 2.5.1.18) have poor activity with common GST substrates, but exhibit novel glutathione-dependent thioltransferase, dehydroascorbate reductase, and monomethylarsonate reductase activities, and they modulate Ca(2+) release by ryanodine receptors (e.g., RYR1, MIM 180901) (Whitbread et al., 2003 [PubMed 12618591]). For background information on GSTs, see MIM 605482.[supplied by OMIM]

Alternate Names

bA127L20.1, bA127L20.1 (novel glutathione-S-transferase), EC 2.5.1.18, glutathione S-transferase omega 2, glutathione S-transferase omega-2, glutathione-S-transferase-like protein, GSTO-2

Gene Symbol

GSTO2

Additional GSTO2 Products

Product Documents for GSTO2 Antibody - BSA Free

Certificate of Analysis

To download a Certificate of Analysis, please enter a lot number in the search box below.

Product Specific Notices for GSTO2 Antibody - BSA Free

This product is for research use only and is not approved for use in humans or in clinical diagnosis. Primary Antibodies are guaranteed for 1 year from date of receipt.

Loading...
Loading...
Loading...
Loading...