Skip to main content

GRASP65 Antibody (OTI5G8)

Novus Biologicals, part of Bio-Techne | Catalog # NBP2-02665

Novus Biologicals, part of Bio-Techne
Catalog #
Availability
Size / Price
Qty
Loading...
NBP2-02665

Key Product Details

Species Reactivity

Validated:

Human, Rat, Porcine, Canine, Monkey, Primate

Cited:

Mouse

Applications

Validated:

Immunohistochemistry, Immunohistochemistry-Paraffin, Western Blot, Flow Cytometry, Immunocytochemistry/ Immunofluorescence

Cited:

Immunocytochemistry/ Immunofluorescence

Label

Unconjugated

Antibody Source

Monoclonal Mouse IgG1 Clone # OTI5G8

Concentration

0.6 mg/ml

Product Specifications

Immunogen

Full length human recombinant protein of human GORASP1 (NP_114105) produced in HEK293T cell.

Reactivity Notes

Porcine reactivity reported from a verified customer review.

Clonality

Monoclonal

Host

Mouse

Isotype

IgG1

Theoretical MW

46.3 kDa.
Disclaimer note: The observed molecular weight of the protein may vary from the listed predicted molecular weight due to post translational modifications, post translation cleavages, relative charges, and other experimental factors.

Scientific Data Images for GRASP65 Antibody (OTI5G8)

Western Blot: GRASP65 Antibody (OTI5G8) [NBP2-02665]

Western Blot: GRASP65 Antibody (OTI5G8) [NBP2-02665]

Western Blot: GRASP65 Antibody (5G8) [NBP2-02665] - Analysis of extracts (35ug) from 9 different cell lines by using anti-GRASP65 monoclonal antibody.
Immunocytochemistry/ Immunofluorescence: GRASP65 Antibody (OTI5G8) [NBP2-02665]

Immunocytochemistry/ Immunofluorescence: GRASP65 Antibody (OTI5G8) [NBP2-02665]

Immunocytochemistry/Immunofluorescence: GRASP65 Antibody (OTI5G8) [NBP2-02665] - Staining in Hela cells: red CFTR, Green GRASP65 and Blue is DAPI. Image from a verified customer review.
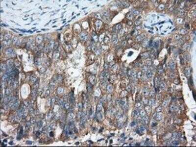
Immunohistochemistry-Paraffin: GRASP65 Antibody (OTI5G8) [NBP2-02665]

Immunohistochemistry-Paraffin: GRASP65 Antibody (OTI5G8) [NBP2-02665]

Immunohistochemistry-Paraffin: GRASP65 Antibody (5G8) [NBP2-02665] - Staining of paraffin-embedded Human prostate tissue using anti-GRASP65 mouse monoclonal antibody.

Applications for GRASP65 Antibody (OTI5G8)

Application
Recommended Usage

Flow Cytometry

1:100

Immunocytochemistry/ Immunofluorescence

1:100

Immunohistochemistry

1:50

Immunohistochemistry-Paraffin

1:50

Western Blot

1:1000-2000

Reviewed Applications

Read 3 reviews rated 4.7 using NBP2-02665 in the following applications:

Formulation, Preparation, and Storage

Purification

Immunogen affinity purified

Formulation

PBS (pH 7.3), 1.0% BSA and 50% Glycerol

Preservative

0.02% Sodium Azide

Concentration

0.6 mg/ml

Shipping

The product is shipped with polar packs. Upon receipt, store it immediately at the temperature recommended below.

Stability & Storage

Store at -20C. Avoid freeze-thaw cycles.

Background: GRASP65

The Golgi complex plays a key role in the sorting and modification of proteins exported from the endoplasmic reticulum. The protein encoded by this gene is a membrane protein involved in establishing the stacked structure of the Golgi apparatus. It is a caspase-3 substrate, and cleavage of this encoded protein contributes to Golgi fragmentation in apoptosis. This encoded protein can form a complex with the Golgi matrix protein GOLGA2, and this complex binds to the vesicle docking protein p115. Several alternatively spliced transcript variants of this gene have been identified, but their full-length natures have not been determined. [provided by RefSeq].

Alternate Names

Golgi peripheral membrane protein p65, Golgi phosphoprotein 5MGC118897, golgi reassembly stacking protein 1, 65kDa, Golgi reassembly-stacking protein 1, Golgi reassembly-stacking protein of 65 kDa, GRASP65MGC118894, P6565 kDa

Entrez Gene IDs

64689 (Human)

Gene Symbol

GORASP1

Additional GRASP65 Products

Product Documents for GRASP65 Antibody (OTI5G8)

Certificate of Analysis

To download a Certificate of Analysis, please enter a lot number in the search box below.

Product Specific Notices for GRASP65 Antibody (OTI5G8)

This product is for research use only and is not approved for use in humans or in clinical diagnosis. Primary Antibodies are guaranteed for 1 year from date of receipt.

Loading...
Loading...
Loading...
Loading...
Loading...