Skip to main content

GRAF Antibody - BSA Free

Novus Biologicals, part of Bio-Techne | Catalog # NBP2-38235

Novus Biologicals, part of Bio-Techne
Catalog #
Availability
Size / Price
Qty
Loading...
NBP2-38235
NBP2-38235-25ul

Key Product Details

Species Reactivity

Validated:

Human

Cited:

Human

Predicted:

Mouse (96%). Backed by our 100% Guarantee.

Applications

Validated:

Immunohistochemistry, Immunohistochemistry-Paraffin, Western Blot, Immunocytochemistry/ Immunofluorescence

Cited:

Immunocytochemistry/ Immunofluorescence

Label

Unconjugated

Antibody Source

Polyclonal Rabbit IgG

Format

BSA Free

Concentration

Concentrations vary lot to lot. See vial label for concentration. If unlisted please contact technical services.

Product Specifications

Immunogen

This antibody was developed against a recombinant protein corresponding to amino acids: RSSLHAVFSLLVNFVPCHPNLHLLFDRPEEAVHEDSSTPFRKAKALYACKAEHDSELSFTAGTVFDNVHPSQEPGWLE

Clonality

Polyclonal

Host

Rabbit

Isotype

IgG

Scientific Data Images for GRAF Antibody - BSA Free

Western Blot: GRAF Antibody [NBP2-38235]

Western Blot: GRAF Antibody [NBP2-38235]

Western Blot: GRAF Antibody [NBP2-38235] - Lane 1: Marker [kDa] 230, 130, 95, 72, 56, 36, 28, 17, 11. Lane 2: Human cell line RT-4. Lane 3: Human cell line U-251MG. Lane 4: Human Plasma. Lane 5: Human liver tissue. Lane 6: Human tonsil tissue
Immunocytochemistry/ Immunofluorescence: GRAF Antibody [NBP2-38235]

Immunocytochemistry/ Immunofluorescence: GRAF Antibody [NBP2-38235]

Immunocytochemistry/Immunofluorescence: GRAF Antibody [NBP2-38235] - Staining of human cell line U-251 MG shows localization to cytosol. Antibody staining is shown in green.
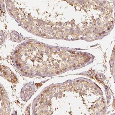
Immunohistochemistry-Paraffin: GRAF Antibody [NBP2-38235]

Immunohistochemistry-Paraffin: GRAF Antibody [NBP2-38235]

Immunohistochemistry-Paraffin: GRAF Antibody [NBP2-38235] - Staining of human testis shows weak cytoplasmic positivity in cells in seminiferous ducts.

Applications for GRAF Antibody - BSA Free

Application
Recommended Usage

Immunocytochemistry/ Immunofluorescence

0.25-2 ug/ml

Immunohistochemistry

1:1000 - 1:2500

Immunohistochemistry-Paraffin

1:1000 - 1:2500

Western Blot

0.04-0.4 ug/ml
Application Notes
For IHC-Paraffin, HIER pH 6 retrieval is recommended. ICC/IF, Fixation Permeabilization: Use PFA/Triton X-100.

Formulation, Preparation, and Storage

Purification

Affinity purified

Formulation

PBS (pH 7.2) and 40% Glycerol

Format

BSA Free

Preservative

0.02% Sodium Azide

Concentration

Concentrations vary lot to lot. See vial label for concentration. If unlisted please contact technical services.

Shipping

The product is shipped with polar packs. Upon receipt, store it immediately at the temperature recommended below.

Stability & Storage

Store at 4C short term. Aliquot and store at -20C long term. Avoid freeze-thaw cycles.

Background: GRAF

GTPase regulator associated with the focal adhesion kinase pp125.

Long Name

Rho GTPase Activating Protein 26

Alternate Names

ARHGAP26, OPHN1L1

Gene Symbol

ARHGAP26

UniProt

Additional GRAF Products

Product Documents for GRAF Antibody - BSA Free

Certificate of Analysis

To download a Certificate of Analysis, please enter a lot number in the search box below.

Product Specific Notices for GRAF Antibody - BSA Free

This product is for research use only and is not approved for use in humans or in clinical diagnosis. Primary Antibodies are guaranteed for 1 year from date of receipt.

Loading...
Loading...
Loading...
Loading...