Skip to main content

GPR174 Antibody - BSA Free

Novus Biologicals, part of Bio-Techne | Catalog # NBP1-84667

Novus Biologicals, part of Bio-Techne
Catalog #
Availability
Size / Price
Qty
Loading...
NBP1-84667
NBP1-84667-25ul

Key Product Details

Validated by

Orthogonal Validation

Species Reactivity

Human

Applications

Immunohistochemistry, Immunohistochemistry-Paraffin

Label

Unconjugated

Antibody Source

Polyclonal Rabbit IgG

Format

BSA Free

Concentration

Concentrations vary lot to lot. See vial label for concentration. If unlisted please contact technical services.

Product Specifications

Immunogen

This antibody was developed against Recombinant Protein corresponding to amino acids: RTSDDTSGNRTKCFVDLPTRNVNLAQSV

Reactivity Notes

Immunogen displays the following percentage of sequence identity for non-tested species: Mouse (89%), Rat (89%)

Clonality

Polyclonal

Host

Rabbit

Isotype

IgG

Scientific Data Images for GPR174 Antibody - BSA Free

Immunohistochemistry-Paraffin: GPR174 Antibody [NBP1-84667]

Immunohistochemistry-Paraffin: GPR174 Antibody [NBP1-84667]

Immunohistochemistry-Paraffin: GPR174 Antibody [NBP1-84667] - Staining in human lymph node and cerebral cortex tissues using anti-GPR174 antibody. Corresponding GPR174 RNA-seq data are presented for the same tissues.
Immunohistochemistry-Paraffin: GPR174 Antibody [NBP1-84667]

Immunohistochemistry-Paraffin: GPR174 Antibody [NBP1-84667]

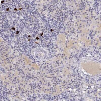
Immunohistochemistry-Paraffin: GPR174 Antibody [NBP1-84667] - Staining of human lymph node shows high expression.
Immunohistochemistry-Paraffin: GPR174 Antibody [NBP1-84667]

Immunohistochemistry-Paraffin: GPR174 Antibody [NBP1-84667]

Immunohistochemistry-Paraffin: GPR174 Antibody [NBP1-84667] - Staining of human cerebral cortex shows low expression as expected.

Applications for GPR174 Antibody - BSA Free

Application
Recommended Usage

Immunohistochemistry

1:500 - 1:1000

Immunohistochemistry-Paraffin

1:500 - 1:1000
Application Notes
For IHC-Paraffin, HIER pH 6 retrieval is recommended.

Formulation, Preparation, and Storage

Purification

Affinity purified

Formulation

PBS (pH 7.2) and 40% Glycerol

Format

BSA Free

Preservative

0.02% Sodium Azide

Concentration

Concentrations vary lot to lot. See vial label for concentration. If unlisted please contact technical services.

Shipping

The product is shipped with polar packs. Upon receipt, store it immediately at the temperature recommended below.

Stability & Storage

Store at 4C short term. Aliquot and store at -20C long term. Avoid freeze-thaw cycles.

Background: GPR174

JEG18 is an Orphan-A GPCR with an unknown ligand.

Long Name

G Protein-Coupled Receptor 174

Alternate Names

FKSG79, Gm376, Gpcr17, LYPSR3

Gene Symbol

GPR174

Additional GPR174 Products

Product Documents for GPR174 Antibody - BSA Free

Certificate of Analysis

To download a Certificate of Analysis, please enter a lot number in the search box below.

Product Specific Notices for GPR174 Antibody - BSA Free

This product is for research use only and is not approved for use in humans or in clinical diagnosis. Primary Antibodies are guaranteed for 1 year from date of receipt.

Loading...
Loading...
Loading...
Loading...