GPR153 Antibody - BSA Free
Novus Biologicals, part of Bio-Techne | Catalog # NLS2032
Key Product Details
Species Reactivity
Validated:
Human, Mouse, Rat, Porcine, Bovine, Canine, Hamster, Monkey, Rabbit
Predicted:
Bat (94%), Primate (100%). Backed by our 100% Guarantee.
Applications
Immunohistochemistry, Immunohistochemistry-Paraffin
Label
Unconjugated
Antibody Source
Polyclonal Rabbit IgG
Format
BSA Free
Concentration
1.0 mg/ml
Product Specifications
Immunogen
Synthetic 17 amino acid peptide from 2nd extracellular domain of human GPR153.
Epitope
2nd extracellular domain
Reactivity Notes
Predicted cross-reactivity based on sequence identity: Gorilla (100%), Marmoset (100%), Equine (88%), Opossum (82%), Platypus (82%).
Specificity
Human GPR153. BLAST analysis of the peptide immunogen showed no homology with other human proteins, except GPR162 (53%).
Clonality
Polyclonal
Host
Rabbit
Isotype
IgG
Description
Product can be stored undiluted at 4C for up to 1 month.
Scientific Data Images for GPR153 Antibody - BSA Free
Immunohistochemistry-Paraffin: GPR153 Antibody - BSA Free [NLS2032]
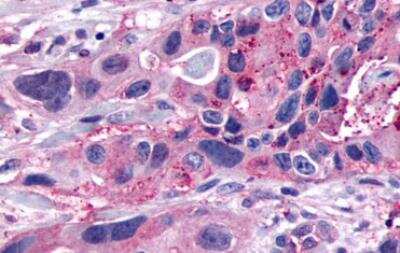
Immunohistochemistry-Paraffin: GPR153 Antibody [NLS2032] - Human Breast, Carcinoma. Formalin-fixed, paraffin-embedded tissue after heat-induced antigen retrieval.Immunohistochemistry-Paraffin: GPR153 Antibody - BSA Free [NLS2032]
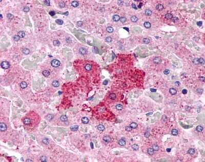
Immunohistochemistry-Paraffin: GPR153 Antibody [NLS2032] - Analysis of anti-GPR153 antibody with human liver, hepatocytes at 12 ug/ml.Immunohistochemistry-Paraffin: GPR153 Antibody - BSA Free [NLS2032]
Immunohistochemistry-Paraffin: GPR153 Antibody [NLS2032] - Human Pancreas, Carcinoma. Formalin-fixed, paraffin-embedded tissue after heat-induced antigen retrieval.Applications for GPR153 Antibody - BSA Free
Application
Recommended Usage
Immunohistochemistry-Paraffin
12 ug/ml
Application Notes
.
Formulation, Preparation, and Storage
Purification
Immunogen affinity purified
Formulation
PBS
Format
BSA Free
Preservative
0.1% Sodium Azide
Concentration
1.0 mg/ml
Shipping
The product is shipped with polar packs. Upon receipt, store it immediately at the temperature recommended below.
Stability & Storage
Keep as concentrated solution. Aliquot and store at -20C or below. Avoid multiple freeze-thaw cycles.
Background: GPR153
Alternate Names
PGR1
Gene Symbol
GPR153
Additional GPR153 Products
Product Documents for GPR153 Antibody - BSA Free
Product Specific Notices for GPR153 Antibody - BSA Free
This product is for research use only and is not approved for use in humans or in clinical diagnosis. Primary Antibodies are guaranteed for 1 year from date of receipt.
Loading...
Loading...
Loading...
Loading...