Skip to main content

GPR108 Antibody - BSA Free

Novus Biologicals, part of Bio-Techne | Catalog # NBP1-82812

Novus Biologicals, part of Bio-Techne
Catalog #
Availability
Size / Price
Qty
Loading...
NBP1-82812
NBP1-82812-25ul

Key Product Details

Species Reactivity

Human

Applications

Immunohistochemistry, Immunohistochemistry-Paraffin, Immunocytochemistry/ Immunofluorescence

Label

Unconjugated

Antibody Source

Polyclonal Rabbit IgG

Format

BSA Free

Concentration

Concentrations vary lot to lot. See vial label for concentration. If unlisted please contact technical services.

Product Specifications

Immunogen

This antibody was developed against Recombinant Protein corresponding to amino acids: VGFSLSRVRSGRVRSYSTRDFQDCPLQKNSSSFLVLFLINTKDLQVQVRKYGEQKTLFIFPGLLPEAPSKPGLPKPQATVPRKVDG

Clonality

Polyclonal

Host

Rabbit

Isotype

IgG

Scientific Data Images for GPR108 Antibody - BSA Free

Immunocytochemistry/ Immunofluorescence: GPR108 Antibody [NBP1-82812]

Immunocytochemistry/ Immunofluorescence: GPR108 Antibody [NBP1-82812]

Immunocytochemistry/Immunofluorescence: GPR108 Antibody [NBP1-82812] - Staining of human cell line A-431 shows localization to the Golgi apparatus & vesicles. Antibody staining is shown in green.
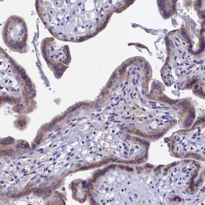
Immunohistochemistry-Paraffin: GPR108 Antibody [NBP1-82812]

Immunohistochemistry-Paraffin: GPR108 Antibody [NBP1-82812]

Immunohistochemistry-Paraffin: GPR108 Antibody [NBP1-82812] - Staining of human placenta shows cytoplasmic positivity in trophoblastic cells.

Applications for GPR108 Antibody - BSA Free

Application
Recommended Usage

Immunocytochemistry/ Immunofluorescence

0.25-2 ug/ml

Immunohistochemistry

1:50 - 1:200

Immunohistochemistry-Paraffin

1:50 - 1:200
Application Notes
For IHC-Paraffin, HIER pH 6 retrieval is recommended. ICC/IF Fixation Permeabilization: Use PFA/Triton X-100.

Formulation, Preparation, and Storage

Purification

Affinity purified

Formulation

PBS (pH 7.2) and 40% Glycerol

Format

BSA Free

Preservative

0.02% Sodium Azide

Concentration

Concentrations vary lot to lot. See vial label for concentration. If unlisted please contact technical services.

Shipping

The product is shipped with polar packs. Upon receipt, store it immediately at the temperature recommended below.

Stability & Storage

Store at 4C short term. Aliquot and store at -20C long term. Avoid freeze-thaw cycles.

Background: GPR108

LUSTR2 is an Orphan-U GPCR with an unknown ligand.

Long Name

G Protein-coupled Receptor 108

Alternate Names

LUSTR2

Gene Symbol

GPR108

Additional GPR108 Products

Product Documents for GPR108 Antibody - BSA Free

Certificate of Analysis

To download a Certificate of Analysis, please enter a lot number in the search box below.

Product Specific Notices for GPR108 Antibody - BSA Free

This product is for research use only and is not approved for use in humans or in clinical diagnosis. Primary Antibodies are guaranteed for 1 year from date of receipt.

Loading...
Loading...
Loading...
Loading...
Loading...