Skip to main content

GP2 Antibody - BSA Free

Novus Biologicals, part of Bio-Techne | Catalog # NBP1-86061

Novus Biologicals, part of Bio-Techne
Catalog #
Availability
Size / Price
Qty
Loading...
NBP1-86061-25ul
NBP1-86061

Key Product Details

Species Reactivity

Validated:

Human

Cited:

Human

Applications

Validated:

Immunohistochemistry, Immunohistochemistry-Paraffin, Immunocytochemistry/ Immunofluorescence

Cited:

IF/IHC

Label

Unconjugated

Antibody Source

Polyclonal Rabbit IgG

Format

BSA Free

Concentration

Concentrations vary lot to lot. See vial label for concentration. If unlisted please contact technical services.

Product Specifications

Immunogen

This antibody was developed against Recombinant Protein corresponding to amino acids: NPIEASSYGLDLDCGAPGTPEAHVCFDPCQNYTLLDEPFRSTENSAGSQGCDKNMSGWYRFVGEGGVRMSETCVQVHRCQTDAPMWLNGTHPALGDGITNHTACAHWSGNCCFWKTEVLVKACPGGYHVYRLEGTPWCNLRYCT

Clonality

Polyclonal

Host

Rabbit

Isotype

IgG

Scientific Data Images for GP2 Antibody - BSA Free

Immunocytochemistry/ Immunofluorescence: GP2 Antibody [NBP1-86061]

Immunocytochemistry/ Immunofluorescence: GP2 Antibody [NBP1-86061]

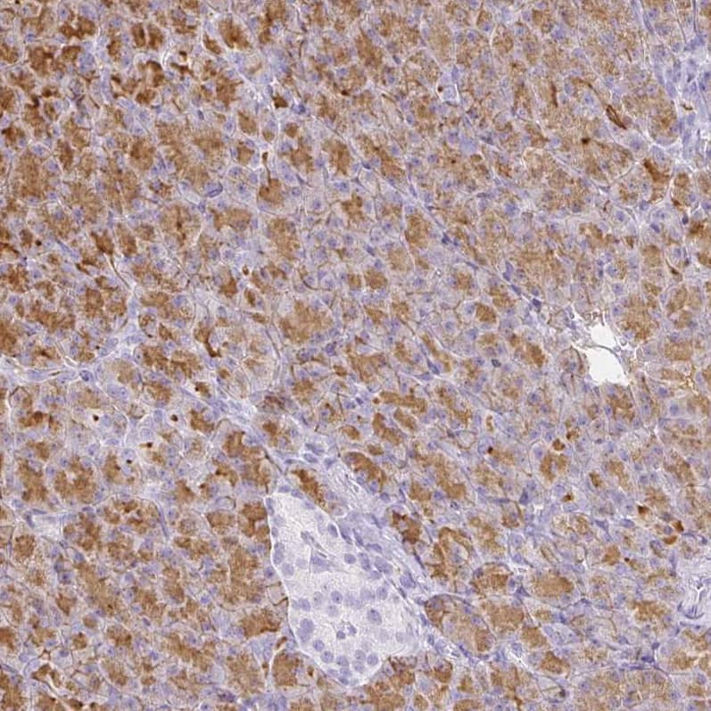
Immunocytochemistry/Immunofluorescence: GP2 Antibody [NBP1-86061] - Staining GP2 in frozen human pancreatic sections using anti-GP2 antibody. GP2 stains primarily exocrine tissue in human pancreas. Image from verified customer review.
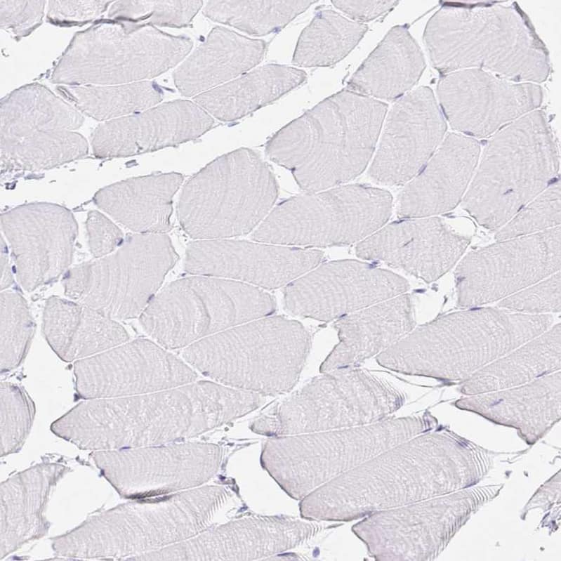
GP2 Antibody - BSA Free Immunohistochemistry-Paraffin: GP2 Antibody - BSA Free [NBP1-86061]

Immunohistochemistry-Paraffin: GP2 Antibody - BSA Free [NBP1-86061]

Staining of human skeletal muscle shows no positivity in myocytes as expected.
GP2 Antibody - BSA Free Immunohistochemistry-Paraffin: GP2 Antibody - BSA Free [NBP1-86061]

Immunohistochemistry-Paraffin: GP2 Antibody - BSA Free [NBP1-86061]

Staining of human tonsil shows no positivity in non-germinal center cells as expected.

Applications for GP2 Antibody - BSA Free

Application
Recommended Usage

Immunocytochemistry/ Immunofluorescence

Validated from a verified customer review

Immunohistochemistry

1:1000 - 1:2500

Immunohistochemistry-Paraffin

1:1000 - 1:2500
Application Notes
IHC-Paraffin, HIER pH 6 retrieval is recommended.

Reviewed Applications

Read 1 review rated 4 using NBP1-86061 in the following applications:

Formulation, Preparation, and Storage

Purification

Affinity purified

Formulation

PBS (pH 7.2) and 40% Glycerol

Format

BSA Free

Preservative

0.02% Sodium Azide

Concentration

Concentrations vary lot to lot. See vial label for concentration. If unlisted please contact technical services.

Shipping

The product is shipped with polar packs. Upon receipt, store it immediately at the temperature recommended below.

Stability & Storage

Store at 4C short term. Aliquot and store at -20C long term. Avoid freeze-thaw cycles.

Background: GP2/ZAP75

Long Name

Glycoprotein 2

Alternate Names

GP2, ZAP75

Gene Symbol

GP2

Additional GP2/ZAP75 Products

Product Documents for GP2 Antibody - BSA Free

Certificate of Analysis

To download a Certificate of Analysis, please enter a lot number in the search box below.

Product Specific Notices for GP2 Antibody - BSA Free

This product is for research use only and is not approved for use in humans or in clinical diagnosis. Primary Antibodies are guaranteed for 1 year from date of receipt.

Loading...
Loading...
Loading...
Loading...